
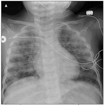
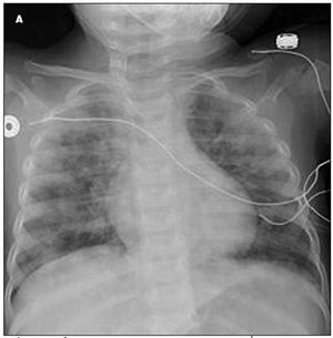
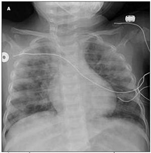
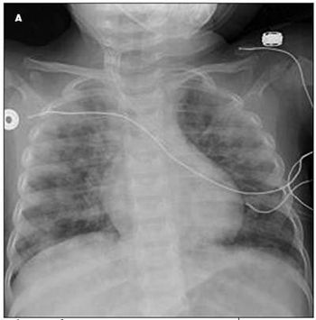
A 16-month-old girl was initially brought to her primary care physician because of persistent nonproductive cough of 1 to 2 weeks’ duration, with lethargy, poor feeding, and worsening cough for the past 36 hours. She had been afebrile. The patient was noted to be pale and had a decreased level of interaction. She was promptly sent to the local emergency department. Laboratory studies showed a hemoglobin level of 3.8 g/dL and hypochromic microcytic anemia. The patient was subsequently transferred to the pediatric ICU for evaluation.


