
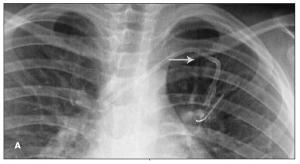
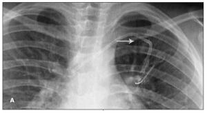
The imaging studies shown are from 2 children with cancer who underwent placement of 9.6 French left subclavian central venous catheters (CVCs) to facilitate treatment. Fracture of the catheters with subsequent embolization of the distal fragment to the pulmonary arteries was noted at about 18 months after placement. Findings suggestive of impending fracture were missed in previous radiographs. In both cases, an interventional radiologist removed the fragment via percutaneous catheterization of the right femoral vein.


