Articles by Houchang D. Modanlou, MD

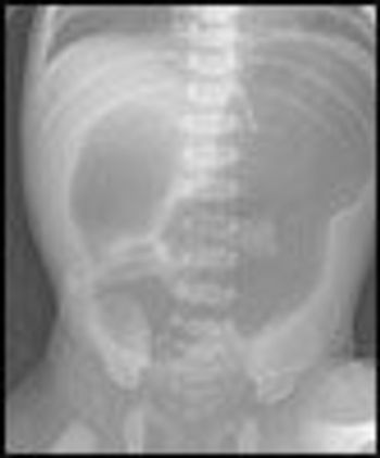
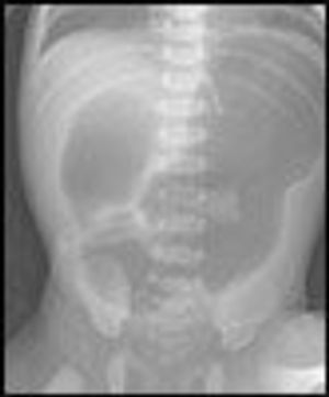
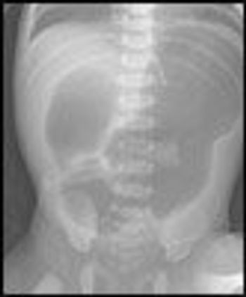
Twenty-two-month-old girl seen in the emergency department (ED) after several hours of abdominal pain associated with non-bloody, non-bilious emesis. Over past 2 months, has had 7 or 8 similar episodes of abdominal pain followed by emesis 1 to 2 hours later.

The patient is a female neonate who weighed 2210 g at birth. The mother is an 18-year-old Mexican American (gravida 1, para 0, rapid plasma reagin-nonreactive, rubella-immune, and hepatitis B surface antigen-negative) who has had no regular prenatal care. She was admitted via the emergency department to labor and delivery after spontaneous rupture of fetal membranes at home.