
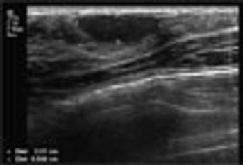
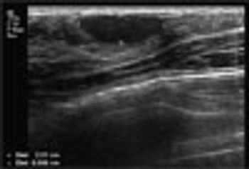
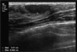
A 16-year-old girl has had a left breast lump for 6 months that recently became tender. Except for several small nodules in both breasts and tenderness of the lateral left breast, physical findings are normal and the patient is otherwise healthy.

Published: April 30th 2010 | Updated: