
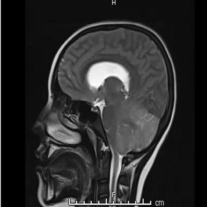
13-year-old female with altered mental status, headache and emesis. What is the diagnosis?
Dr. Eboh is an associate professor in the Department of Pediatrics at Texas Tech University Health Sciences Center, Lubbock, Texas.

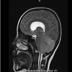
13-year-old female with altered mental status, headache and emesis. What is the diagnosis?

Can you diagnose this patient? Take our poll and find out! Then check back for the full case, differential diagnosis, and correct diagnosis.

A 2-month-old Hispanic girl is transferred by her pediatrician to the emergency department (ED) for evaluation of decreased oral intake, failure to thrive, and large bleeding facial hemangiomas.

Published: March 25th 2025 | Updated:

Published: March 26th 2025 | Updated:

Published: November 1st 2016 | Updated: