Knowing what signs and symptoms suggest intracranial pathology can help pediatricians approach the diagnosis of a brain tumor quickly and with confidence. As primary care physicians, they also play a key role in long-term management.

After reviewing this article the physician should be able to:
Seldom does a pediatrician have a more difficult message to deliver to a patient and his or her parents than the diagnosis of a brain tumor. The family's first reaction is shock. The pediatrician's is self-doubt. Should I have suspected a tumor sooner? Should I have done a more extensive (and expensive) work-up for that headache several weeks ago? Was the one episode of vomiting significant, even though the patient's two siblings had viral gastroenteritis? How will this diagnosis affect my approach to other children with headache?
By knowing what signs and symptoms suggest intracranial pathology, pediatricians can approach the diagnosis of brain tumors with confidence. A grasp of the forms brain tumors take, how they are managed, and expected outcomes allows the pediatrician to remain the child's primary caretaker, guiding the patient and family through the maze of subspecialty care.
Central nervous system (CNS) neoplasms are the second most common tumor of childhood, accounting for almost 21% of the total, and a leading cause of death in children younger than 15 years of age (Figure 1). In the United States, incidence has risen from approximately 2.4 to 3.3 new cases per 100,000 children each year, including 1,500 new pediatric brain tumors annually.1 Although incidence appears to be rising, CNS tumors may simply be diagnosed earlier than they used to be because of advances in neuroimaging techniques.1 During the past two decades, the mortality rate from pediatric brain cancer has declined from two per 100,000 children each year to fewer than 0.9 per 100,000, with a larger proportion of patients surviving into adulthood. Nonetheless, brain and spinal cord tumors currently cause more deaths in children than either leukemia or lymphoma. 2

The exact cause of pediatric brain tumors remains unknown. Primary CNS tumors have been associated with certain hereditary syndromes, including neurofibromatosis type I and type II, tuberous sclerosis, and von Hippel-Landau disease. Abnormalities in migration of primitive undifferentiated cell lines may lead to neuroectodermal tumors throughout the CNS, including the cerebellum, cerebrum, pineal gland, and spinal cord. Embryonic remnants that fail to differentiate can cause tumors; for example, craniopharyngiomas arise from the Rathke pouch, dermoid and epidermoid tumors and teratomas develop from congenital nests remaining after the neural tube has closed, and meningiomas arise from leptomeningeal rests.
Radiation therapy can cause tumors to develop. The increased incidence of meningiomas in patients who received radiation therapy for tinea capitis (before the use of griseofulvin) and in patients who had CNS prophylaxis for acute lymphocytic leukemia and lymphoma is an example of this effect.3 In addition, treatment of primary brain tumors with high-dose radiation has been associated with new neural malignancies, including meningiomas and astrocytomas (glioblastomas).4 Patients with immunodeficiency states such as Wiskott-Aldrich syndrome or AIDS are susceptible to CNS lymphomas. Variation in cancer rates in different regions suggests environmental causes, such as electromagnetic radiation, pesticides, and nitrosamine exposure,5 and possibly cell phones, but no clear link has been shown. Molecular biologic techniques, together with cytogenetic investigation, have provided insight into the changes that lead to brain tumors in childhood.
In general, children with brain tumors have a better prognosis than adults. When managed in a facility with an experienced multidisciplinary team, such as a pediatric cancer center or university, children with brain tumors have better outcomes than those treated with identical protocols in facilities with less experience, studies show.6,7 Furthermore, advances in diagnostic capabilities, surgical techniques, and combined radiation and chemotherapy have increased long-term survival rates. Nonetheless, the margin between eradication of tumor and possible damage to normal brain tissue is narrow. Management of brain tumors presents greater quality-of-life challenges than any other form of childhood cancer.
Brain tumors can be classified by histology and anatomic location. The upper part of the brain, the cerebrum, is divided from the lower part of the brain, the cerebellum, by a fibrous sheet called the tentorium. The region above the tentorium contains the cerebral hemispheres and midline structures such as the pituitary gland, hypothalamus, basal ganglia, and pineal region. The posterior fossa is below the tentorium and contains both the brain stem and the cerebellum. About 50% to 65% of childhood brain neoplasms arise in the posterior fossa. Masses that arise above the tentorium are called supratentorial and those located below it are referred to as infratentorial.
Supratentorial masses are usually gliomas, principally astrocytomas, but ependymomas and primitive neuroectodermal tumors (PNETs) can also arise here. Supratentorial tumors include the so-called midline tumors. Among these deep-seated tumors are chiasmal glioma, craniopharygioma, and pineal-region tumors (germ-cell tumors, PNETs, and pineocytomas); optic pathway/ hypothalamic tumors (gliomas); craniopharyngiomas; and suprasellar region germ-cell tumors. Figure 2 shows where various types of tumors most often are located in the brain and their relative frequency.

About 80% of brain tumors in children develop in the first decade of life. In children younger than 1 year of age, supratentorial tumors predominate. These are often gliomas, teratomas, medulloblastomas, or choroid plexus tumors. From ages 1 through 11, PNETs and other posterior fossa tumors are more common. Supratentorial and infratentorial tumors are equally common during late childhood and adolescence.
Histologic classification of brain tumorsa controversial subjectis constantly updated. Brain tumors are classified according to the presumed cell of origin, which is often related to the anatomic location of the tumor and the morphologic features of its cells. Thus, astrocytomas are tumors derived from astrocytes, ependymomas derive from the ependymal cell lining of the ventricles and central canal of the spinal cord, and so on. PNET and medulloblastoma are histologically indistinguishable, but the term medulloblastoma implies that the tumor is located in the cerebellum. Brain tumors in children most often (40%) are classified histologically as astrocytomas.
Other histologic cell types include tumors of neuronal origin (neurocytomas and nerve sheath tumors), germ-cell tumors (teratomas and germinomas), choroid plexus tumors, meningiomas (derived from the meninges) and craniopharyngiomas (arising from rests of the Rathke pouch). In addition, mixed glial-neuronal tumors such as gangliogliomas, which often arise in the cerebral hemispheres and are associated with epilepsy, are seen mainly in older children. Oligodendrogliomas, which derive from oligodendrocytes (cells that produce myelin), are relatively uncommon in children.
The terms "benign" and "malignant" often are misleading when applied to brain tumors. Malignant tumors are usually aggressive neoplasms that have the capacity to disseminate within and occasionally outside of the nervous system, whereas benign tumors grow more indolently. Malignant tumors such as medulloblastomas may be curable in up to 80% of children who are older than 3 years if they are radically removed and were not disseminated at diagnosis. Conversely, some benign tumors can disseminate (up to 4% of cases in low-grade astrocytomas), and may be quite difficult to eradicate. It is best to describe tumors according to their specific cell type and location rather than to label them as benign or malignant.
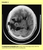
Signs and symptoms of brain tumors vary with the child's age and the location of the tumor. Sometimes symptoms are so vague that the pediatrician may think they reflect a common childhood illness, delaying the diagnosis. In other instances, findings may be so localized that the clinician can predict where the tumor is situated. Clinical manifestations may be caused by the tumor itself or by its secondary effects, which include peritumoral cerebral edema, hydrocephalus, increased intracranial pressure (ICP), or midline shifts caused by a combination of these effects (Figure 3). Clinical signs and symptoms depend on the tumor's location and size, and on whether it is obstructing the cerebrospinal fluid (CSF) pathway (Figure 4), which may lead to hydrocephalus and elevated ICP. In general, tumors that are growing aggressively are associated with severe symptoms, whereas initial signs and symptoms of slow-growing tumors are subtle.


Headaches in children with brain tumors result from either direct or transmitted pressure on cerebral arteries (particularly at the base of the brain), venous sinuses, dura, or cranial nerves, or from hydrocephalus; headaches are not caused by direct injury to the brain parenchyma. About 60% to 65% of patients with brain tumors have headaches, of which about half are diffuse.8 In most patients with tumor-related headaches, pain is severe enough to waken them and is most intense first thing in the morning. About 78% of these headache sufferers also have nausea and vomiting. In one study, about 94% of patients with a headache that was associated with a brain tumor had neurologic or ocular findings on physical exam; these signs and symptoms developed within two weeks after the headache began in 55% of patients and within four months in 88%. The mean time from presentation of headache to diagnosis of brain tumor was 26 weeks.9 All children complaining of headache merit close follow-up. Consider an imaging study for those whose headaches suggest increased intracranial pressure (Table 1).

Seizures. Only about 14% of children with brain tumors have seizures, which are more likely in children with supratentorial tumors than in those with infratentorial tumors. The rate of seizures is three times higher in adolescents than in infants. Children with tumor-associated seizures also usually have personality abnormalities; their speech is impaired, and their school performance deteriorates.
Elevated ICP. In children with tumors in the posterior fossa, ICP usually is elevated because the normal flow of CSF through the Aqueduct of Sylvius and the fourth ventricular outlets is obstructed. CSF is an ultrafiltrate of plasma that cushions the nerve roots, blood vessels, and delicate membranes from the full weight of the brain and provides the chemical environment needed for neurotransmission and removal of metabolic waste products
The cranial vault contains a fixed volume that includes the brain (80%), CSF (10%) and blood (10%), which are encased by the inelastic dura and semi-rigid cranium. These compartments maintain a pressure-volume equilibrium, so when one compartment expands, one of the others must be reduced a corresponding amount to maintain normal intracranial pressure. When an abnormality, such as a tumor, causes a rise in intracranial volume, ICP rises according to the intracranial compliance curve pictured in Figure 5. Clinical signs of increased ICP include headache, nausea, vomiting, diplopia, papilledema, cranial nerve abnormalities, and decreased sensorium; posturing (decorticate and decerebrate) may be seen in more severe cases. When the brain stem is affected, cranial nerve deficits may cause double vision, slurred speech, and swallowing and breathing disorders.

Children with increased ICP should be monitored closely in the hospital. Those who are alert and neurologically intact are given dexamethasone, which usually decreases tumor swelling and possibly CSF production within the first day of treatment. Patients with progressive neurologic dysfunction, such as increasing somnolence, downward eye deviation, and posturing, require immediate recognition and intervention, which includes prompt placement of a ventricular drain to allow the outflow of CSF if the tumor cannot be resectioned immediately.10,11 About one-third to one-half of patients with posterior fossa tumors need permanent ventriculoperitoneal shunts following surgical debulking.
Localized findings. Supratentorial masses, in contrast to infratentorial masses, present with more localized findings, such as hemiparesis and seizures. Children with tumors of the midline usually have endocrinopathies (diabetes insipidus, growth disorders), decreased vision, and visual field defects but rarely have hydrocephalus. Increased ICP, caused by hydrocephalus, and difficulties with upward gaze are characteristic of pineal-region tumors. Infants with brain neoplasms usually have nonspecific symptoms, including irritability, vomiting, lethargy, and failure to thrive. When a regular pediatric visit reveals excessive growth in head circumference, suspect either hydrocephalus or a brain tumor.
A neurologic examination that reveals signs of intracranial hypertension calls for a diagnostic evaluation with neuroimaging. The patient should be stabilized and transferred to an appropriate center that cares for pediatric patients for further evaluation. Tracheal intubation to maintain alveolar carbon dioxide tension (PaCO2) between 32 and 35 torr and to prevent hypoxia and possible aspiration may be required. An osmotic, such as mannitol, may be administered if the patient is not dehydrated. A spinal tap should not be performed in a patient with signs or symptoms of elevated intracranial pressure.
Neuroimaging is helpful in three ways:
Magnetic resonance imaging (MRI) and computerized tomography (CT). MRI has surpassed CT as the preferred diagnostic study for pediatric brain tumors.13 MRI offers superior resolution and easy manipulation of the image plane and doesn't use ionizing radiation. It is also sensitive to acute, subacute, and chronic presence of blood products within tissue. Use of contrast agents such as gadolinium, which crosses the blood-brain barrier, enhances the signal abnormalities. MRI also has disadvantages. Patients must remain motionless in a dark, noisy tunnel-like structure for up to an hour, and most young children require sedation or anesthesia. CT is a quicker and less-expensive test than the MRI. CT can be used in an emergency, for example when the patient's neurologic status changes suddenly, especially when intracranial bleeding or hydrocephalus is suspected.
Magnetic resonance angiography, which is noninvasive and allows visualization of brain pathways, has largely replaced angiography in assessing pediatric brain tumors. Occasionally, vascular malformations in the brain may be mistaken for tumors, and either magnetic resonance angiography or angiography can help clarify the diagnosis.
Other diagnostic studies. Children found to have brain tumors, especially those of the posterior fossa, may also require visualization of the spinal canal to reveal metastases. When possible, these tests should be performed before surgery to avoid confusion caused by the presence of blood products following surgery. Lumbar puncture, bone marrow aspirate, and bone scan may be performed after surgery to look for tumor dissemination in children with fast-growing brain tumors, such as medulloblastomas and ependymomas.
Although surgery is the mainstay of treatment for brain tumors, chemotherapy and radiation may also be required.
Surgery. The goals of neurosurgery are to establish a tissue diagnosis and to reduce overall tumor mass, relieving elevated ICP and other neurologic dysfunction. Gross total resection of both malignant and benign tumors has been correlated with prolonged survival rates.14 Some tumors, namely diffuse brain stem gliomas, are not amenable to surgery because their location makes the risk of neurologic deficits too great. In children, however, most glial tumors are benign and a gross total resection may effect a cure. Advanced neurosurgical methods have increased the efficacy of surgical procedures and reduced complication rates.
Radiation therapy diminishes the ability of cells to continue dividing by damaging DNA strands. Many pediatric brain tumors are radiosensitive, but because of radiation's toxicity to the developing brain, delivery methods have been modified to target the area treated more precisely and, when possible, to decrease the total volume of the brain that is irradiated. Volume and radiation dosage vary with different histologic diagnoses. Children with medulloblastomas, for example, receive radiation to the entire brain and spine, with a boost dose to the original tumor area, whereas children with brain stem gliomas receive radiation only to the tumor area. Strong efforts are made to defer radiation in young children and infants by using chemotherapy because the long-term effects of radiation on the undeveloped brain, such as substantial cognitive impairment, are unacceptable. The side effects of radiation therapy decrease as the child becomes older. Long-term effects are described even in adults, however.15
Chemotherapy is increasingly being used to treat both malignant and benign tumors, especially in infants, where it has replaced radiation therapy in the postoperative period. The addition of chemotherapy to the treatment regimen has increased median survival rates for high-risk medulloblastoma and high-grade astrocytoma. The use of low-intensity chemotherapy for low-grade gliomas (optic/hypothalamic gliomas) has shrunk or stabilized tumors in up to 70% of patients.16
Recent advances in chemotherapy include primarily supportive-care measures such as the use of hematopoietic growth factors and autologous stem-cell harvesting and reinfusion. Hematopoietic growth factors, such as granulocyte colony-stimulating factor, shorten the duration of myelosuppression, allowing administration of higher and more frequent doses of chemotherapy. Stem cells, which recently have been obtained with blood-cell separation equipment, are used after very high doses of chemotherapy to replenish the depleted bone marrow. It is hoped that this technique will allow further escalations of chemotherapy doses that will improve the cure rates of certain malignant tumors, such as malignant astrocytomas and disseminated medulloblastomas.
Commonly used chemotherapeutic agents include the alkylators, such as cyclophosphamide, ifosfamide, and the nitrosoureas (lomustine); mitotic inhibitors such as vincristine and epipodophyllotoxins (VP-16); platinum compounds (cisplatin and carboplatin); and, occasionally, antifolate agents such as methotrexate. All these agents disrupt some aspect of cell growth or division. The alkylators cause cross-linkage of DNA strands and interfere with cell replication. Acute side effects of these compounds include severe nausea and vomiting, hemorrhagic cystitis (cyclophosphamide and ifosfamide), and possible renal and liver damage. In addition, all of the alkylators are toxic to bone marrow, leading to neutropenia, thrombocytopenia, and anemia.
The vinca alkaloids or mitotic inhibitors interfere with microtubule formation, which is required for spindle formation during mitosis. Common acute side effects include jaw pain, abdominal discomfort, and fever. Chronic side effects result from damage to peripheral nerves, leading to weakness, sensory changes (pins and needles and cramps), and constipation. The platinum compounds damage the DNA strands. Renal failure is a known toxic side effect of chemotherapeutic agents, and patients require vigorous hydration. Nausea and vomiting are also prominent. Chronic side effects include damage to the organs of hearing and balance (ototoxicity) and chronic renal failure with a Fanconi-like syndrome. During infusion, VP-16 can cause blood pressure changes, nausea, and vomiting. It also produces substantial bone marrow toxicity. Hair loss is a common complication after administration of most chemotherapeutic agents.
Management of nausea and vomiting has improved dramatically since serotonin antagonist agents, such as ondansetron and granisetron, were introduced. Older agents, such as metoclopramide, antihistamines, chlorpromazine, and benzodiazepines, are also effective adjuncts.
Specific treatments and outcomes vary with the type of tumor (Figure 6) and the age of the child.

Gliomas. Most of these tumors (80%) are slow growing or low grade; the remaining 20% are malignant (anaplastic astrocytomas or glioblastomas). For cerebral and cerebellar low-grade gliomas, the treatment goal is a complete surgical resection. Among those who undergo this procedure, 10-year survival rates exceed 80% for cerebral lesions and 90% for cerebellar lesions.17 Radiation is used for an incompletely resected low-grade glioma only when disease progression is evident; in these instances the 10-year survival rate is more than 80%.
Deep-seated low-grade gliomas of the optic pathways and hypothalamus are rarely amenable to radical surgical resection and must be treated when they progress. Young children benefit from low-intensity chemotherapy and deferral of radiation. The tumor or its treatment often cause endocrine, visual, memory, personality, and cognitive problems.
For high-grade gliomas, maximal resection followed by involved field radiation is the usual treatment. Chemotherapy has been shown to prolong survival in several clinical trials.18
Medulloblastomas and PNETs. Maximal surgical resection is advisable for these tumors as well, except when there is evidence of dissemination at diagnosis. A combination of chemotherapy and craniospinal radiation therapy is the standard of care. Currently, several protocols are exploring various regimens. Doses of radiation and chemotherapy are set according to risk categories. Age younger than 3 years, evidence of tumor dissemination, and large postoperative residual tumor bulk indicate high risk. Children under age 3 are usually given intensive chemotherapy followed by high-dose chemotherapy (myeloablative) and bone marrow rescue with stem cells to avoid or defer radiation. Standard-risk patients have fivc-year median survival rates of up to 80%, whereas in children with high risk disease, the five-year median survival rate is 30% to 40%.19,20
Ependymoma. After complete resection, 60% to 80% five-year survival rates are possible. Complete resection is not always feasible, however, because the tumor sometimes infiltrates vital structures. In 3% to 15% of cases ependymomas seed the spinal column. Patients with residual or recurrent disease are treated with radiotherapy. Chemotherapy has been tried in several clinical trials for both newly diagnosed and recurrent disease, but its effectiveness is questionable.
Craniopharyngioma and hypothalamic tumors. These tumors present a formidable surgical challenge because they are close to the optic nerves, the hypothalamus, and vessels in the circle of Willis. Most pediatric neurosurgeons favor complete microsurgical resection for newly diagnosed craniopharyngioma, and 70% to 90% of tumors are amenable to this approach. Following radiographically confirmed total resection, no adjuvant therapy is necessary. Recurrences range from 0% to 20%. The overall outcome varies, and endocrine problems, including panhypopituitarism; visual field deficits; and even cognitive deficits, are not uncommon. Radiation is usually reserved for residual or recurrent tumors.
Brain stem gliomas are diffuse, focal, cystic, and exophyticmeaning they proliferate on the exterior surface of the organ. Brain stem gliomas that appear as diffuse, infiltrative, intrinsic tumors of the pons on MRI scans usually behave very aggressively, so surgical resection or biopsy is discouraged. The standard treatment is involved field radiotherapy. The prognosis is extremely poor; fewer than 20% of children survive two years after diagnosis.
Focal brain stem lesions of the medulla and cervicomedullary junction, as well as dorsally exophytic tumors, are generally low grade and may be amenable to debulking. Adjuvant therapy is required only when disease progresses after surgery. Aggressive surgery may lead to further problems, and children may require tracheostomy, ventilatory support, and a gastrostomy.
Tumors of the midbrain usually cause obstructive hydrocephalus, and the only available treatment is to place a ventriculoperitoneal shunt or to perform a third ventriculostomy, which allows CSF to drain into the cisterns. In general, no oncologic therapy is required unless the tumor grows markedly. Children with midbrain tumors have a high survival rate, and chronic problems are related primarily to the site of the tumor and the effects of surgery.
Although the pediatrician does not care for the patient in the immediate postoperative period, she should be prepared to perform the preoperative medical clearance and be familiar with the major postoperative problems. They include pain, postoperative nausea and vomiting, respiratory and cardiovascular instability, hypothermia, fluid and electrolyte abnormalities, coagulopathy, hemorrhage, infection, seizure, hydrocephalus, cerebral edema, elevated ICP, transient worsening of preoperative neurologic deficits, and delayed emergence from anesthesia. In addition to the neurosurgical and neurologic consults, other appropriate consultations include neuro-ophthalmology and endocrinology, depending on the location of the tumor. Anticonvulsants may be administered to patients with suprasellar tumors, and dexamethasone may be used to decrease preoperative peritumoral edema.
Chemotherapy and radiation therapy, as well as surgery, often cause other side effects. As the patient's primary caretaker, the pediatrican frequently is called on to manage these problems.
Fever and neutropenia. Bone marrow suppression caused by chemotherapy leads to a decrease in white blood cells, including neutrophils and neutropenia (<1,000 granulocytes/mL) usually develops eight to 12 days after these drugs are administered. When the neutropenic patient develops a fever (>38.5o C at one recording or 38.0o C at two recordings two hours apart), the likelihood that he has an infection is at least 60%.21 Since fever may be the only sign of infection, pediatricians need to evaluate patients with fever and neutropenia and institute empiric antibiotic therapy.21 Common pathogens include gram-negative bacilli (arising from the gastrointestinal tract) such as Escherichia. coli, Klebsiella, and Pseudomonas aeruginosa, and, most commonly, gram-positive organisms (from the skin) such as Staphylococcus epidermidis, Staphylococcus aureus, and b hemolytic streptococcus. Patients who have indwelling venous catheters are most likely to be infected by gram-positive organisms.
The combination of an antipseudomonal penicillin (ticarcillin clavulanate, carbenicillin, or piperacillin) or a cephalosporin with antipseudomonal activity (ceftazidime or cefoperazone) and an aminoglycoside (gentamicin, tobramycin, or amikacin) is well established for treating infection.22,23 The addition of vancomycin is controversial. If no organism is identified within 72 hours of treatment and the patient's fever disappears, the standard approach is to continue therapy until the granulocytopenia resolves.23 Consider adjusting the initial regimen when the fever persists for more than three days or when the infection appears to be progressing.
The best way for patients to prevent or minimize infection is to wash their hands frequently, avoid people with colds, and have a fever evaluated immediately; most isolated organisms are endogenous, however. Children under treatment who have febrile neutropenia do not benefit from being isolated or using masks.
Anemia and thrombocytopenia. Patients may also require blood products after undergoing chemotherapy. Platelet counts below 50,000 are associated with an increased risk of bleeding; below 20,000 the risk of spontaneous bleeding increases, and below 10,000 spontaneous bleeding into the CNS and gastrointestinal tract may occur. Administration of red blood cells should be considered in patients with a falling hemoglobin count and signs of fatigue, shortness of breath, and tachycardia. The usual parameters for transfusion of packed red blood cells are a hemoglobin of less than
8 g/dL. Blood transfusion must be used with caution, not only because of the risk of infection (1/50,000 for hepatitis and 1/1,000,000 for HIV) but also because of the risk of graft vs. host disease. Immunosuppressed patients are susceptible to engraftment of foreign white blood cells, which must be depleted from blood products by irradiation and special filters for leukocytes.
Problems with a cerebrospinal shunt. Obstruction is the most common cause of shunt malfunction. The obstruction is most often at the portion of the shunt in the ventricle (the proximal end), but it can develop at the distal end, which is usually located in the abdomen, or at the interposed valve. The tip of the catheter becomes occluded with choroid plexus, ependymal cells, glial tissue, brain debris, fibrin, and blood. The other major concern is infection, which occurs in about 5% to 8% of patients with shunts. Organisms most frequently implicated are S epidermidis (40%) and S aureus (20%); the remainder are streptococci, enterococci, gram-negative rods, and yeast. Table 2 summarizes the symptoms of shunt malfunction.

Endocrinopathy. Endocrine dysfunction may develop after a midline tumor is resectioned or after craniospinal radiation. Dabetes insipidus is common after resection of a craniopharyngioma, a germ-cell tumor, or a hypothalamic glioma. CNS radiation is associated with hypothalamic failure, which may show up as pituitary hypoactivity. Signs and symptoms include fatigue and cold intolerance (caused by hypothyroidism), amenorrhea, decreased libido, hypotension and coma (Addisonian crisis), and retarded bone age. The most common hormonal deficiency is growth hormone. Thus, children may require cortisol, thyroid hormone, and growth hormone replacement. Decreased growth velocity has been noted in between 30% to 100% of children treated with cranial irradiation. Radiation to the spine may damage the vertebral growth plate and also injure the thyroid gland. Both growth hormone deficiency and spinal growth dysfunction lead to short stature. Because growth hormone stimulates limb growth, which is nearly complete by the beginning of puberty, younger children are more susceptible to these shortening effects than those who are older. Chemotherapy in itself can cause growth retardation, although catch-up growth is common after therapy has stopped. Several chemotherapeutic agents, for example, cyclophosphamide, may cause gonadal dysfunction and later sterility. On rare occasions, radiation therapy causes gonadal dysfunction.24
Complications from radiation. Although the goal of radiation therapy is to prevent growth of abnormal tissue, normal tissue may be affected as well. In caring for a child who is receiving radiation therapy, the pediatrician should keep the following in mind:
The pediatrician should be familiar with three syndromes associated with radiation therapy. The somnolence syndrome appears about one to three months after therapy is completed. Symptoms, which may persist for two to four weeks, include lethargy, apathy, anorexia, and a mild generalized headache. Head CT is usually normal. The syndrome is thought to occur by a transient interruption of the myelin sheath and altered capillary permeability. Symptoms may be treated with dexamethasone, and some physicians maintain the patient on low-dose dexamethasone during radiation therapy. Radiation encephalopathy is a diffuse white-matter injury most commonly seen with whole-brain irradiation. It develops two or more years after radiation therapy and is believed to be caused by microvascular changes of the vessels of the brain. Finally, radiation necrosis is caused by damage to normal brain tissue. The necrosis occurs in the area receiving the highest dosage of radiation and is usually located in the white matter. Symptoms may include focal deficits, headache, changes in mental status, and changes related to increased intracranial pressure. Prevention is very important; however, treatment with dexamethasone and, at times, surgical debridement of the necrotic tissue are required.
Radiation therapy and chemotherapeutic agents have been associated with oncogenesis. Meningioma is the most common secondary neoplasm to develop after CNS radiation, but sarcomas and high-grade gliomas also arise. The risk of secondary tumors seems to be cumulative, reaching 10% 20 years after radiation therapy.25 Secondary leukemia and lymphomas have developed in children receiving chemotherapy for brain tumors, especially after high doses of VP-16, but this is quite unusual.26
Behavioral and educational issues. The immature brains of infants and young children are more susceptible to ionizing radiation than the more developed brains of older children. Axonal growth, myelin formation, dendritic arborization, and synaptogenesis are occurring rapidly, and damage to these processes can impair cognitive function. Children who survive brain tumors have a high incidence of intellectual impairment as well as emotional and behavioral difficulties. Cognitive deficits may include distractibility, memory impairment, confusion, personality changes, and lowered IQ. The causes for these deficits are likely a combination of prolonged hydrocephalus and direct tumor damage, surgical morbidity, and whole brain irradiation. The younger the child, the greater the effects of these treatments are likely to be.27 The more-affected children often require special education and supportive services, such as physical and occupational therapy, speech therapy, and psychologic counseling. Furthermore, children who receive cisplatin and radiation may have substantial hearing losses and require hearing devices.
Posterior fossa syndrome (cerebellar mutism). This unusual entity, whose cause is unknown, can follow posterior fossa surgery. The child is mute, apraxic, unable to execute complex motor commands, and emotionally labile, has trouble swallowing, and drools. Most children who have the syndrome lose their speech 12 to 72 hours after surgery; parents can be reassured that neurologic function and speech generally return in from two to 20 weeks.28,29 Cranial nerve abnormalities are not usually apparent.
Progress in treating brain tumors creates a challenge: As more and more children survive longer, the quality of life after treatment becomes an increasingly important issue. The late effects of brain tumor therapy include neurologic and neuropsychologic problems, endocrinopathies, and, rarely, secondary neoplasms. These conditions create a lasting medical, emotional, and financial burden, which has a significant impact on the patient, his family, and society.
Our goal is to continue to improve cure rates and lower death rates. We also seek to reduce the long-term side effects of therapeutic interventions. Technical advances in surgical procedures will allow for safer tumor resections, and new targeting techniques will permit safer irradiation. Increased delivery of chemotherapeutic agents by disruption of the blood-brain barrier also is being studied. The future of oncologic therapy probably lies in a better understanding of the basic mechanisms of oncogenesis, however, allowing for more specific and less toxic medications. The combination of immunology and cytogenetics, including antitumor gene therapy and monoclonal antibodies, are promising alternatives to standard oncologic therapy.30
During the past two decades, the survival rates for some forms of pediatric brain tumors have improved dramatically. To make the most of these advances, the general pediatrician must institute a rapid work-up as soon as he suspects a brain tumor and refer the patient to a pediatric neurologist or neurosurgeon who is associated with a center of excellence. In addition to doing the initial assessment, the pediatrician is in an excellent position to become an indispensable member of the multdisciplinary team responsible for managing children with brain tumors, not only in the acute phases of treatment but during long-term follow-up and care. An aggressive approach to supportive care has been instrumental in decreasing perioperative morbidity and mortality in children with brain tumors, and pediatricians can play a crucial role in perioperative care, appropriate management of infection, nutrition, and overall health maintenance.
REFERENCES
1. Young JL Jr, Ries LG, Silverberg E, et al: Cancer incidence, survival, and mortality for children younger than age 15 years. Cancer 1986:58:598
2. Davis FG, Malinski N, Haenszel W, et al: Primary Brain Tumor Incidence Rate in Four United States Regions, 19851989: A Pilot Study. Neuroepidemiology 1996;15:103
3. Ron E, Modan B, Boice JD, et al: Tumors of the brain and nervous system after radiotherapy in childhood. N Engl J Med 1988;319:1033
4. Tomita T: Long-term effects of treatment for childhood brain tumors. Neurosurgery Clinics of NA. 1992; 3(4):959
5. Allen JC, Siffert J: Contemporary issues in the management of childhood brain tumors. Curr Opin Neurol 1997;10(2):137
6. Bailey C, Gnekow A, Wellk S, et al: Prospective randomized trial of chemotherapy given before radiotherapy in childhood medulloblastoma. International Society of Pediatric Oncology (SIOP) and the (German) Society of Pediatric Oncology (GPO): SIOP II. Medical and Pediatric Oncology 1995;25(3):166
7. Cohen ME, Duffner PK, Kun LE, et al: The argument for a combined consortium research database. Cancer 1985;56:1897
8. Honig PJ, Charney EB: Children with brain tumor headaches. Am J Dis Child 1982;136:121
9. Flores LE, Williams DL, Bella BA, et al: Delay in the diagnosis of pediatric brain tumors. Am J Dis Child 1986:140;684
10. Shiminski-Maher T, Disabato J: Current trends in the diagnosis and management of hydrocephalus in children. J Pediatr Nurs 1994;9:74
11. Drake J: Ventriculostomy for treatment of hydrocephalus. Neurosurg Clin North Am 1993;4:657
12. Zimmerman RA, Gusnard DA, Bilanick LT: Gadolinium DTPA enhanced MI evaluation of pediatric brain tumors, in Packer R, Bleyer A, and Pochedly C (eds): Pediatric Neuro-Oncology:New Trends in Clinical Research. Gordon and Breach Publishing Group, Newark NJ, 1992
13. Davis PD: Tumors of the brain, in Cohen MD, Edwards MK (eds): Magnetic Resonance Imaging of Children. Philadelphia, PA, BC Decker, 1990
14. Albright L, Wisoff J, Zelter P, et al: Current neurosurgical treatment of medulloblastoma in children. Pediatric Neuroscience 1989;15:276
15. Jenkin D, Greenberg M, Hoffman H, et al: Brain tumors in children: long term survival after radiation treatment. International Journal of Radiation Oncology Biology Physics 1995;31:445
16. Packer R, Lanbe B, Ater J, et al: Carboplatin and Vincristine for Recurrent and Newly Diagnosed Low-Grade Gliomas of Childhood. Journal of Clinical Oncology 1993;11:850
17. Pollack IF: Brain Tumors in Children. New Engl J of Med. 1994;331(22):1500
18. Sposto R, Ertel IJ, Jenkin RDT, et al: The effectiveness of chemotherapy for treatment of high grade astrocytoma in children: Results of a randomized trial: A report from the Childrens Cancer Study Group. J. Neurooncol 1989;7:165
19. Bruce DA, Elterman RD: The continued surveillance for recurrent medulloblastoma/primitive neuroectodermal tumor. Pediatr Neurosurg 1995;19:322 (A)
20. Torres CF, Rebsamen S, Silver JH, et al: Surveillance for recurrent medulloblastomas/primitive neuroectodermal tumor. N Engl J Med 1994;330:892
21. Giamarellon H: Empiric therapy for infections in the febrile, neutropenic, compromised host. Med Clinics NA 1995;79(3):559
22. Hathorn JW, Lyke K: Empirical treatment of febrile, neutropenia: Evolution of current therapeutic approaches. Clinical Infect Dis 1997;24 (Suppl 2):S256
23. Hughes WT, Armstrong D, Bodey GP, et al: From the Working Committee, Infectious Diseases Society of America. Guidelines for the use of antimicrobial agents in neutropenic patients with unexplained fever. J Infect Dis 1990;161:381
24. Stewart-Amidei C: Delayed effects of therapeutic brain irradiation. Crit Care Nursing Clinics NA. 1995; 7(1):125
25. Jenkins D, Greenberg M, Hoffman H, et al: Brain tumors in children: Long-term survival after radiation treatment. International Journal of Radiation Oncology Biology Physics 1995;31:445
26. Boyko OB: Neuroimaging of radiation injury to the central nervous system. Neuroimaging Clinics of North America 1993;3(4):803
27. Chapman C, Waber D, Bernstein J, et al: Neurobehavioral and neurologic outcome in long-term survivors of posterior fossa brain tumors: Role of age and perioperative factors. Journal of Child Neurology 1995;10(3):209
28. Dailey AT, McKhann GM, Berger M: The pathophysiology of oral pharyngeal apraxia and mutism following posterior fossa tumor resection in children. J Neurosurg 1995;83:467
29. Ersahin Y, Mutler S, Cagli S, et al: Cerebellar mutism: Report of seven cases and review of the literature. Neurosurgery 1996;38(1):60
30. Sipos EP, Brem H: New delivery systems for brain tumor therapy. Neurologic Clinics 1995;13(4):813

This activity has been planned and implemented in accordance with the Essentials and Standards of the Accreditation Council for Continuing Medical Education through the joint sponsorship of Jefferson Medical College and Medical Economics, Inc.
Jefferson Medical College of Thomas Jefferson University, as a member of the Consortium for Academic Continuing Medical Education, is accredited by the Accreditation Council for Continuing Medical Education to sponsor continuing medical education for physicians. All faculty/authors participating in continuing medical education activities sponsored by Jefferson Medical College are expected to disclose to the activity audience any real or apparent conflict(s) of interest related to the content of their article(s). Full disclosure of these relationships, if any, appears with the author affiliations on page 1 of the article.
This CME activity is designed for practicing pediatricians and other health-care professionals as a review of the latest information in the field. Its goal is to increase participants' ability to prevent, diagnose, and treat important pediatric problems.
Jefferson Medical College designates this continuing medical educational activity for a maximum of one hour of Category 1 credit towards the Physician's Recognition Award (PRA) of the American Medical Association. Each physician should claim only those hours of credit that he/she actually spent in the educational activity.
This credit is available for the period of November 15, 1999, to November 15, 2000. Forms received after November 15, 2000, cannot be processed.
Although forms will be processed when received, certificates for CME credits will be issued every four months, in March, July, and November. Interim requests for certificates can be made by contacting the Jefferson Office of Continuing Medical Education at 215-955-6992.
1. Each CME article is prefaced by learning objectives for participants to use to determine if the article relates to their individual learning needs.
2. Read the article carefully, paying particular attention to the tables and other illustrative materials.
3. Complete the CME Registration and Evaluation Form below. Type or print your full name and address in the space provided, and provide an evaluation of the activity as requested. In order for the form to be processed, all information must be complete and legible.
4. Send the completed form, with $20 payment if required (see "Payment" section), to:
Office of Continuing Medical Education/JMC
Jefferson Alumni Hall
1020 Locust Street, Suite M32
Philadelphia, PA 19107-6799
5. Be sure to mail the Registration and Evaluation Form on or before November 15, 2000. After that date, this article will no longer be designated for credit and forms cannot be processed.
Jefferson Medical College, in accordance with accreditation requirements, asks the authors of CME articles to disclose any affiliations or financial interests they may have in any organization that may have an interest in any part of their article. The following information was received from the authors of ÓDiagnosing and managing brain tumors: The pediatricianØs role.Ô
Edward E. Conway, Jr., MD, has no information to disclose
Arsenia Asuncion, MD, has no information to disclose.
Robert DaRosso, MD, has no information to disclose.
Date of publication: November 1999
Title: ÓDiagnosing and managing brain tumors: The pediatricianØs roleÔ
Author: Edward E. Conway, Jr., MD, Arsenia Asuncion, MD, and Robert DaRosso, MD
MP Code: CP1199
Name:
Degree:
Street address:
Institutional affiliation:
City: _________________________________________ State: ________ ZIP: ____________ Telephone ________________________
Specialty: [ ] Pediatrics [ ] Other __________________________________ Years in practice: ___________ Resident?__________
Time needed to complete this CME activity: [ ] <1 hr [ ] 1 hr [ ] 1.5 hr [ ] 2 hr
Certification: I attest to having completed this CME activity.
Signature (required):
1. Rate the overall effectiveness of this CME activity. 5 (very effective) 4 3 2 1 (not at all effective)
2. Circle "Yes" or "No"
Yes / No [A]. The learning objectives were useful to me in determining whether performing this CME activity would be a worthwhile educational experience for me.
Yes / No [B]. The objectives accurately described the content and potential learning value of this article.
Yes / No [C]. This activity will influence how I practice medicine.
Yes / No [D]. The activity was free from commercial bias.
Yes / No [E]. I learned something new that was important from the article.
3. Which of the following best describes a change you might consider making in your practice as a result of something you learned from this activity? (Please circle only one response.)
[A]. Slightly modify what I currently do.
[B]. Make a major change in what I currently do.
[C]. Follow a procedure, use a technique/technology that is completely new to me.
[D]. Follow a procedure, use a technique/technology that I currently use but for a different purpose.
[E]. None of the above, but some change.
[F]. Not considering any changes.
4. Please describe any change(s) you plan to make in your practice as a result of this activity:
5. How committed are you to making these changes? 5 (very committed) 4 3 2 1 (not at all committed)
6. Other comments
Circle A, B, or C, and enclose payment if required.
A. I am a paid subscriber to Contemporary Pediatrics, so no payment is due.
The expiration date above my name on the mailing label is: ___ ___ ___ ___ ___ (Example: D E C 9 9 ).
B. I have ordered a paid subscription, so no payment is due, but I do not have an expiration date yet.
C. I receive Contemporary Pediatrics without charge, so I must pay $20 to cover the cost of processing my CME application.
[ ] I am enclosing a check (payable to JMC/CME).
[ ] Please charge my Mastercard or Visa (circle type of card),
account number: ___ ___ ___ ______ ___ ___ ______ ___ ___ ______ ___ ___ ___ , expiration date: ___ ___ /___ ___
Signature (required)
Send the completed form to:
Office of Continuing Medical Education/JMC, Jefferson Alumni Hall, 1020 Locust Street, Suite M32, Philadelphia, PA 19107-6799.
Edward Conway. Diagnosing and managing brain tumors: The pediatrician's role.
Contemporary Pediatrics
1999;11:84.
Access practical, evidence-based guidance to support better care for our youngest patients. Join our email list for the latest clinical updates.