Sixteen-year-old African American girl with pruritic, painful lesions on both thighs that progressively worsened over 2 weeks and later spread to the trunk and upper and lower extremities.

Figure

Figure
>HISTORY
Sixteen-year-old African American girl with pruritic, painful lesions on both thighs that progressively worsened over 2 weeks and later spread to the trunk and upper and lower extremities. Over-the-counter 1% hydrocortisone cream and oral diphenhydramine (25 mg) provided no relief. Patient denied change in clothes, lotions, detergents, or soaps; and recent shaving, swimming, hot tub use, new medications, or sick contacts. No fever, chills, malaise, arthralgia, myalgia, cough, coryza, congestion, or recent illness.
Patient had type 2 diabetes mellitus, hypertension, hyperlipidemia, and hypothyroidism. Medications included metformin, 1000 mg bid; glipizide, 5 mg/d; glargine, 40 units/d; rosiglitazone, 4 mg/d; simvastatin, 20 mg/d; fenofibrate, 48 mg/d, and lisinopril 2.5 mg bid. No family history of hyperlipidemia.
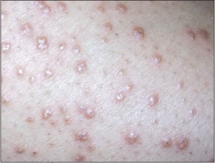
Severely obese patient (body weight, 112 kg [247 lb]; body mass index, 38.5) with diffuse, 1- to 2-mm, discrete, tender papules with a yellow hue on the trunk and bilateral upper and lower extremities, mainly on the extensor surfaces. No erythema, drainage, or induration.
Eruptive xanthoma is a cutaneous eruption in patients with grossly elevated triglyceride levels. This patient's laboratory results included the following levels:
A punch biopsy of the lesions showed foamy histiocytic infiltrates in the dermis, consistent with eruptive xanthoma.
Xanthoma pathophysiology is similar to that of atherosclerosis formation in blood vessels.1 No specific triglyceride level is associated with the development of eruptive xanthoma.2-6 This patient's eruptive xanthoma was likely caused by uncontrolled type 2 diabetes mellitus, obesity, and hypothyroidism, in addition to the hypertriglyceridemia. Other secondary causes of eruptive xanthoma include familial hyperlipidemia (Fredrickson types I, IV, and V), metabolic diseases (lysosomal storage diseases and type I glycogen storage disease, or von Gierke disease), alcohol ingestion, chronic renal failure, nephrotic syndrome, pancreatitis, and biliary cirrhosis.7 Eruptive xanthoma may result from medications that elevate lipid levels, such as estrogens, corticosteroids, miconazole, isotretinoin, and etretinate. 7 The lesions may also develop despite normal lipid levels in pregnant patients and in patients with altered lipoprotein content or structure, paraproteinaemia, hematopoietic diseases (such as histiocytosis and myeloma), edema, acquired lipodystrophy, and local trauma.7
Despite the lack of a family history of hyperlipidemia, familial hyperlipidemia must be considered in patients with such high lipid levels. Diagnosis of familial hypercholesterolemia can be made in patients with a serum total cholesterol level of greater than 259 mg/dL and/or a lowdensity lipoprotein (LDL) level of 193 to 232 mg/dL who have xanthomas, or in patients with an LDL level of greater than 232 mg/dL alone.8 However, secondary causes must be ruled out. (This patient did not meet these criteria because of her history of type 2 diabetes mellitus, obesity, and hypothyroidism.) Familial-associated xanthoma formation is most often consistent with Fredrickson types I and V familial hyperlipidemia.9
The following conditions may be considered in the differential diagnosis of eruptive xanthoma:
Although the duration of eruptive xanthoma varies widely, the rash typically resolves as the triglyceride levels decrease.2-6 Treatment includes rapid control of the blood sugar and triglyceride levels. Blood sugar can be controlled acutely with the initiation of insulin or the adjustment to an existing insulin regimen with close follow-up. Hypertriglyceridemia can be managed with initiation or titration of existing fenofibrates. The underlying medical conditions of hypothyroidism, diabetes, and hyperlipidemia also need to be addressed.
This patient has been nonadherent to her medication regimen, dietary changes, and follow-up appointments despite multiple phone and mail reminders. At her last visit, 6 months after presentation, the xanthomas were still present.
Access practical, evidence-based guidance to support better care for our youngest patients. Join our email list for the latest clinical updates.