
Full case: 18-day-old female with reported apnea, cyanosis, and decreased feeding
On physical examination, the patient appeared to be in significant respiratory distress. Her oxygen saturation was 96% on high-flow nasal cannula.
The Case
An 18-day-old female presented to the Emergency Department (ED) with concerns of apnea, cyanosis, and decreased feeding. The mother reported intermittent cyanosis of the lips, pale-appearing skin, and suspected apnea episodes. Since birth, Mom states patients had retractions since birth, which the primary care provider (PCP) reassured her was normal periodic breathing. She had nasal flaring and grunting a couple of days after discharge from the nursery. Mom has noticed she breathes quickly, in the 60s or 70s at times.
Initial vitals in the ED showed hypoxemia, tachypnea, and fluctuating oxygen saturations were between 65-100% on room air. A chest X-ray is shown (Figure 1).
Evaluation
On physical examination, the patient appeared to be in significant respiratory distress. Her oxygen saturation was 96% on high flow nasal cannula. She had severely decreased air entry bilaterally with subcostal retractions. A complete blood count and metabolic panel were within normal limits. A venous blood gas showed the following: 7.24/74/51/35.
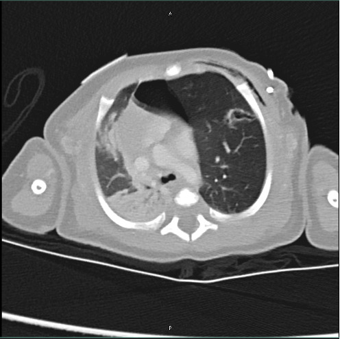
Due to an x-ray obtained while the patient was on the pediatrics floor, there were concerns for an underlying tension pneumothorax. The patient was transported to the PICU, where upon admission an urgent needle decompression was performed. However, upon performing the same, there was no change in the patient's vitals, nor was there a gush of air emitted from the needle that was placed. To further delineate the cause of the findings seen on the x-ray, a CT chest with IV contrast was performed (Figure 2). This image study confirmed the diagnosis of left upper lobe congenital emphysema. Her condition was managed with surgical resection of the left upper lobe emphysematous lobe. Her respiratory status improved after surgical resection with her breathing without any distress.
Management
The patient’s condition improved with surgical resection of the overinflated left upper lobe.
Discussion
Congenital lobar emphysema (CLE) or congenital alveolar overdistension is a rare pulmonary disorder that primarily affects neonates, characterized by hyperinflation of one or more lobes of the lung, most commonly the left upper lobe.1 The condition is caused by a defect in the airway cartilage that leads to partial obstruction of airflow, resulting in air trapping and over-distention of the affected lobe. This can cause compression of the surrounding lung tissue and mediastinal structures, leading to respiratory distress, as was observed in this case.
The diagnosis of CLE can be challenging as it may mimic other conditions such as tension pneumothorax or pulmonary interstitial emphysema.2 Chest X-rays and CT scans are the imaging modalities of choice to confirm the diagnosis. In this patient, the initial X-ray raised suspicion for CLE, which was later confirmed by a CT scan showing hyperinflation of the left upper lobe and atelectasis of the left lower lobe.
Management of CLE often begins with supportive care, such as oxygen supplementation or mechanical ventilation if necessary. However, the definitive treatment is typically surgical resection of the affected lobe, known as lobectomy. Surgical intervention is usually recommended when hyperinflation leads to significant respiratory compromise or when conservative management fails. In this case, the patient’s left upper lobe was resected.3
This case emphasizes the importance of early recognition and intervention in neonates presenting severe respiratory distress. Timely surgical intervention, typically lobectomy, can be lifesaving and prevent long-term complications associated with untreated CLE.
References:
1. Mukhtar, S., Sharma, S., & Trovela, D. a. V. (2024, July 19). Congenital lobar emphysema. StatPearls - NCBI Bookshelf. https://www.ncbi.nlm.nih.gov/books/NBK560602/
2. Benbouziane N, Larda L, Pongo C, Alaoui-Inboui FZ, Slaoui B. Congenital Lobar Emphysema in Children: Case Series. Cureus. 2023;15(11):e49416. Published 2023 Nov 26. doi:10.7759/cureus.49416
3. Demir OF, Hangul M, Kose M. Congenital lobar emphysema: diagnosis and treatment options. Int J Chron Obstruct Pulmon Dis. 2019;14:921-928. Published 2019 May 1. doi:10.2147/COPD.S170581
Newsletter
Access practical, evidence-based guidance to support better care for our youngest patients. Join our email list for the latest clinical updates.














