A 5-week-old female infant born at 38 weeks presents to her pediatrician with abnormal eye movements. What’s the diagnosis?
Hypothermia and abnormal eye movements in a 5-week-old infant | Image Credit: © Bostan Natalia- © Bostan Natalia - stock.adobe.com.

A 5-week-old female infant born at 38 weeks presents to her pediatrician with abnormal eye movements. One week prior to presentation, her mother noticed anisocoria and an episode of right-sided eye deviation. Two days prior to presentation, she had an episode of left eye and left lip twitching, which occurred 2 more times the day prior to her pediatrician visit. At the pediatrician’s office, rectal temperature is 86 °F (30 °C), which is confirmed twice. Given this profound hypothermia, she is taken to an outside hospital emergency department (ED). En route to the hospital, the patient has right eye deviation concerning for seizure activity. In the ED, blood glucose is 68 mg/dL (reference range, 60-99 mg/dL). A phenobarbital load of 20 mg/kg is given because of concern for seizure-like activity. In addition, she is given a 20 ml/kg normal saline bolus and is empirically started on ampicillin and gentamicin after blood and urine specimens are drawn for culture. Further blood work is obtained. C-reactive protein (CRP) is reassuring at 0.19 mg/dL (reference range < 1.00 mg/dL). Basic metabolic profile (BMP) is relatively unremarkable. She has transaminitis with ALT 100 U/L (reference range, 3-35 U/L) and AST 130 U/L (reference range, 15-61 U/L) and mild hyperbilirubinemia with total bilirubin of 3.2 mg/dL (reference range, 0.0-0.7 mg/dL). Blood count shows leukopenia of 3.9 (reference range, 5-19.5 x 10E9/L), anemia with hemoglobin of 8.8 g/dL (reference range, 9-14 g/dL), and thrombocytopenia of 52 (reference range, 150-400 x 100E9/L). Urinalysis is negative.
Further history reveals that she was born by precipitous vaginal delivery with negative maternal prenatal screens and unremarkable prenatal course other than a prenatal ultrasound that showed polyhydramnios. The mother recalls a transient flu-like illness during her early second trimester of pregnancy without any rash. An isolated possible exposure to stray cats in their neighborhood was reported around first trimester of pregnancy although the mother denies direct interaction with cats. The infant did have facial bruising postdelivery that required phototherapy for hyperbilirubinemia that has since resolved. Compared with her older brother at this age, she has been noted to sleep significantly more than usual. In addition, she has felt intermittently cold to parents, prompting them often to use heating pads to keep her warm but they did not seek further care. Reported temperatures at home, however, have been appropriate, 97-98 °F (36-36.5 °C). Parents report no fevers, difficulty breathing, nasal congestion, vomiting, diarrhea, or rashes. She has been bottle-feeding normally with appropriate urine and stool output. Parents deny any history of trauma. She does not go to day care. There is family history of febrile seizure in paternal aunt and epilepsy in paternal grandmother.
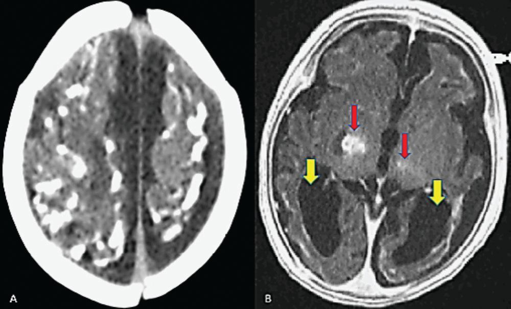
Cranial computed tomography done at the outside hospital shows diffuse cerebral calcifications. (Figure A) Cranial magnetic resonance imaging shows generalized parenchymal atrophy and dilation of the bilateral lateral ventricles with patent basal cisterns and coarse supratentorial calcifications involving the cortex, bilateral basal ganglia, and the vermis. (Figure B) She is intubated for airway protection and subsequently transferred to the pediatric intensive care unit for further evaluation and management.
A. Axial cranial CT of case patient showing generalized cortical calcifications with dilation of bilateral lateral ventricles. B. Axial cranial MRI of case patient showing generalized parenchymal atrophy and dilation of the bilateral lateral ventricles (yellow arrows) with patent basal cisterns and coarse supratentorial calcifications involving the cortex (red arrows), basal ganglia bilaterally, and the vermis. No midline shift was noted.

DISCUSSION

The differential diagnosis for this case was rather broad as seen in this Table and discussed in detail subsequently.
Hypothermia and seizure-like activity in a 5-week-old infant implicates a long list of differential diagnoses. Late-onset neonatal sepsis (LOS) should be ruled out promptly as timely intervention is key to optimal outcome. LOS is usually associated with etiologic agents including coagulase-negative Staphylococci, Staphylococcus aureus, Gram-negative bacilli, and group B Streptococcus (GBS).1,2 Bacterial meningitis is an important complication of LOS that can present with seizures. It occurs in about 23% of bacteremic infants, while about 38% of infants with an isolated pathogen from cerebrospinal fluid (CSF) may not show any pathogen in the blood.3 The patient’s blood, urine, and CSF cultures did not yield any growth.
Pediatric strokes can present in a myriad of clinical pictures depending on age, anatomic involvement, and baseline risk factors. The area of involvement is usually suggested by the mechanism of injury, the degree of injury, and the timing of insult. Cranial imaging findings may demonstrate changes reflecting the mechanism of injury.4 Focal seizures and lethargy are common clinical presentations of perinatal stroke, although they may not be apparent until weeks or months after the vascular injury.4,5 Other nonspecific symptoms include irritability, feeding difficulty, apnea, vomiting, and a sepsis-like picture with cold extremities.4-6 In about 25% of pediatric strokes, multiple risk factors have been identified ranging from cardiac anomalies, vascular malformations, vasculitis, oncologic processes, bleeding disorders, and metabolic disorders.4,7
Hypoglycemia is a common condition in neonates that may also present with a sepsis-like picture and seizures.8 The patient’s serum glucose was normal during her presentation.
Abusive head trauma (AHT) can present with irritability, vomiting, apnea, lethargy, and coma.9 Brain injuries in AHT can account for as high as 80% of cases that can include subdural hemorrhage, cerebral edema, and less often parenchymal damage that frequently evolves into a clinical picture compatible with hypoxic-ischemic encephalopathy. Retinal injuries may also be seen in about 80% of AHT. Hemorrhagic retinopathy, a very specific finding in AHT, is multilayered retinal injury that involves multiple areas of the retina that extends to the ora serrata not demonstrated in her ophthalmologic exam.9 The patient’s skeletal survey was negative and cranial imaging did not show any bleeding.
About 5% of infants with intracranial tumor or neoplasm, especially supratentorial tumors, present with seizures.10 Some other presentations may include hydrocephalus, failure to thrive, or focal neurologic deficit or can be as subtle as increasing head circumference.11 The most common intracranial tumors found in infants are retinoblastoma, neuroblastoma, and rhabdomyosarcoma.12 Imaging findings were not compatible with any intracranial mass.
Congenital toxoplasmosis is part of the TORCH syndrome: toxoplasmosis, other agents, rubella, cytomegalovirus (CMV) and herpes simplex virus (HSV). These congenital infections have very similar clinical presentations with some subtle differences. The triad of chorioretinitis, cerebral calcifications, and hydrocephalus is the classic presentation of congenital toxoplasmosis resulting from an untreated infection during pregnancy; albeit most patients affected do not manifest all three.13-17 Up to half of infected patients do not have reported history of exposure or risk factors, making the diagnosis a clinical challenge. The mother was rubella immune and rapid plasma reagin nonreactive, making syphilis and rubella unlikely. HSV test was negative. CMV was less likely given that calcifications are usually periventricular. CMV saliva polymerase chain reaction (PCR) was negative.
Serum toxoplasma IgG (dye test) was strongly positive, 1:4096 (reference range, negative). Toxoplasma serum IgM was 24.1 AU/mL (reference range, < 7.5 AU/mL). Ophthalmologic exam revealed right chorioretinal infiltration and left retinal detachment. CSF Toxoplasma PCR resulted positive.
The condition
Congenital toxoplasmosis results from infection of the fetus by an obligate intracellular parasite, Toxoplasma gondii, during pregnancy. The feline family is the definitive host, and it is acquired via ingestion of tissue oocysts in undercooked meats or exposure to cats from inadvertently ingesting oocytes in organic matter or water. Outdoor cats pose a higher risk as they are more likely to consume mice that may harbor T gondii. The risk in acquiring congenital toxoplasmosis is highest during the third trimester; however, severity of disease is higher the earlier it is developed in pregnancy. The incidence of acute primary infection in pregnancy is estimated to be 0.2-1.1/1000 pregnant women in the United States.1 The estimated incidence of congenital toxoplasmosis in the United States is 0.5-0.82 cases per 10,000.1
About 12% of patients are born without definite clinical findings although visual, auditory, and learning disabilities become apparent later in life in subclinical infections. Symptomatic patients can have microcephaly, hydrocephalus, seizures, hearing loss, rash, hepatosplenomegaly, jaundice, petechiae, anemia, lymphadenopathy, and thrombocytopenia during the neonatal period.15,16,17
Treatment/management
A prolonged course of pyrimethamine, sulfadiazine, and folinic acid is the cornerstone of treatment for congenital toxoplasmosis. A short dose of steroid is recommended for any newborn with severe chorioretinitis, or CSF protein >/= 1 g/dL initiated 72 hours after anti-toxoplasma therapy is started.13 Alternative agents such as clindamycin, dapsone, and trimethoprim-sulfamethoxazole have been explored but evidence on outcome is lacking. Since most patients have subclinical findings at birth, meticulous follow-up is needed to address issues as soon as they become apparent. Untreated subclinical infection can result in deleterious complications later in life, particularly manifesting as cognitive impairment, hearing deficit, or recurrent retinal disease. Treatment of prenatal infection is critical to outcome, although adequate treatment during pregnancy does not guarantee absence of complications, especially chorioretinitis.13 Close follow-up with neurology is recommended as patients are prone to develop seizures.13,15-17 Treatment does not eliminate the tissue oocysts, which can persist in eye tissue ,requiring lifelong ophthalmologic monitoring. Prenatal sonographic imaging could detect nonspecific findings suggestive of congenital toxoplasmosis especially if there is involvement of the central nervous system.18
Patient course
The patient was started on pyrimethamine, sulfadiazine, and folinic acid. She was also given a brief course of steroids shortly after initiation of combination therapy. Over the following months she was readmitted for temperature instability and eventually required a ventriculo-peritoneal shunt for hydrocephalus. She developed significant skin lesions concerning for hypersensitivity to sulfadiazine at the 5th month of therapy so she was switched to clindamycin and azithromycin for the rest of her course.
Lessons for the clinician
Congenital toxoplasmosis should be considered in the differential diagnosis for an infant who presents with hypothermia and abnormal movements in the setting of cranial imaging that shows multiple cerebral calcifications.
The classic triad for congenital toxoplasmosis includes chorioretinitis, cerebral calcifications, and hydrocephalus, which may not be demonstrated at birth.
Patients without sign of increased intracranial pressure on sentinel imaging need to be closely followed as the potential risk to develop hydrocephalus warranting surgical intervention is apparent.
Treatment for congenital toxoplasmosis is prolonged triple therapy with pyrimethamine, sulfadiazine, and folinic acid but an alternative regimen needs to be considered if significant reaction to primary regimen ensues.
References:
1. Dong Y, Speer CP. Late-onset neonatal sepsis: recent developments. Arch Dis Child Fetal Neonatal Ed. 2015;100(3):F257-F263. doi:10.1136/archdischild-2014-306213
2. Puopolo KM, Lynfield R, Cummings JJ; Committee on Fetus and Newborn; Committee on Infectious Diseases. Management of infants at risk for group B streptococcal disease. Pediatrics. 2019;144(2):e20191881. doi:10.1542/peds.2019-1881
3. Shane AL, Stoll BJ. Recent developments and current issues in the epidemiology, diagnosis, and management of bacterial and fungal neonatal sepsis. American J Perinatol. 2013;30(02):131-142. doi:10.1055/s-0032-1333413
4. deVeber G, Roach ES, Riela AR, Wiznitzer M. Stroke in children: recognition, treatment, and future directions. Semin Pediatr Neurol. 2000;7(4):309-317. doi:10.1053/spen.2000.20074
5. Bouza H, Rutherford M, Acolet D, Pennock JM, Dubowitz LM. Evolution of early hemiplegic signs in full-term infants with unilateral brain lesions in the neonatal period: a prospective study. Neuropediatrics. 1994;25(4):201-207. doi:10.1055/s-2008-1073022
6. Gabis LV, Yangala R, Lenn NJ. Time lag to diagnosis of stroke in children. Pediatrics. 2002;110(5);924-928. doi:10.1542/peds.110.5.924
7. Ganesan V, Prengler M, McShane MA, Wade AM, Kirkham FJ. Investigation of risk factors in children with arterial ischemic stroke. Ann Neurol. 2003;53(2):167-173. doi:10.1002/ana.10423
8. Thompson-Branch A, Havranek T.Neonatal hypoglycemia. Pediatr Rev. 2017;38(4): 147-157. doi:10.1542/pir.2016-0063
9. Glick JC, Lorand MA, Bilka KR. Physical abuse of children. Pediatr Rev. 2016;37(4):146-156. doi:10.1542/pir.2015-0012
10. Shamji MF, Vassilyadi M, Lam CH, Montes JL, Farmer JP. Congenital tumors of the central nervous system: the MCH experience. Pediatric Neurosurg. 2009;45(5):368-374. doi:10.1159/000257526
11. Ghodsi SM, Habibi Z, Hanaei S, Moradi E, Nejat F. Brain tumors in infants. J Pediatr Neurosci. 2015;10(4):335-340. doi:10.4103/1817-1745.174454
12. Allen-Rhoades W, Whittle SB, Rainusso N. Pediatric solid tumors of infancy: an overview. Pediatr Rev. 2018;39(2):57-67. doi:10.1542/pir.2017-0057
13. Committee on Infectious Diseases, American Academy of Pediatrics, Kimberlin DW, Barnett ED, Lynfield R, Sawyer MH. Section 3 summaries of infectious diseases, toxoplasma gondii infections. I:; Red Book: 2021-2024 Report of the Committee on Infectious Diseases. 32nd ed. American Academy of Pediatrics; 2021.
14. McLeod R, Lykins J, Gwendolyn Noble A, et al. Management of congenital toxoplasmosis. Curr Pediatr Rep. 2014;2(3):166-194. Doi:10.1007/s40124-014-0055-7
15. McLeod R, Boyer K, Karrison T. Outcome of treatment for congenital toxoplasmosis, 1981-2004: the National Collaborative Chicago-based, Congenital Toxoplasmosis Study. Clin Infect Dis. 2006;42(10):1383-1394. doi:10.1086/501360
16. McLone D, Frim D, Penn R, et al. Outcomes of hydrocephalus secondary to congenital toxoplasmosis. J Neurosurg Pediatr. 2019;1-8. doi:10.3171/2019.6.PEDS18684
17. Hutson SL, Wheeler KM, McLone D, et al. Patterns of hydrocephalus caused by congenital toxoplasma gondii infection associate with parasite genetics. Clin Infect Dis. 2015;61(12):1831-1834. doi:10.1093/cid/civ720
18. Codaccioni C, Picone O, Lambert V, et al. Ultrasound features of fetal toxoplasmosis: a contemporary multicenter survey in 88 fetuses. Prenat Diagn. 2020;40(13):1741-1752. doi:10.1002/pd.5756
For more from the July, 2023 issue of Contemporary Pediatrics®, click here.

Access practical, evidence-based guidance to support better care for our youngest patients. Join our email list for the latest clinical updates.