Abdominal pain in children and adolescents may be due to swallowing powerful small magnets sold as toys for adults. The consequences can be deadly. Here's what you can do to detect-and prevent-this kind of injury.
In diagnosing abdominal pain among children and adolescents, it is imperative to consider the possibility of ingestion of powerful small magnets. Besides the magnets inside many small toys, neodymium magnets the size of ball bearings (5 mm in diameter), marketed as adult toys by the name Buckyballs, have found their way into the hands and later the digestive systems of small children and adolescents. Preteens use them as “pretend” tongue piercings.

On July 25, the US Consumer Product Safety Commission issued a lawsuit against the manufacturer of Buckyballs seeking a ban, after the manufacturer failed to initiate a voluntary recall. Nonetheless, these magnets will remain in circulation.
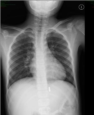
In the digestive tract, the magnets can aggregate and cause sequelae as grave as intestinal torsion and blood poisoning. The images at left show a radiograph demonstrating multiple magnets connected in the stomach (left), which on an endoscopic retroflex view of the stomach cardia and gastroesophageal junction (below) were pinching mucosa and causing pressure ulceration. Forceps are visible trying to dislodge the magnets.
Surgery may be required to remove the magnets. At least one small child has died as a result of ingestion.
How can you be alert to this risk?

Pediatric gastroenterologist Benjamin Enav, who has treated several patients at Inova Fairfax General Hospital in Virginia and has been active in helping the North American Society of Pediatric Gastroenterology, Hepatology and Nutrition (NASPGHAN) respond to the hazard, offers guidance here. In private practice in Fairfax, Dr Enav is also an assistant professor of pediatrics at Virginia Commonwealth University and a medical advisor to the American Partnership for Eosinophilic Disorders.
What symptoms should lead a pediatrician to be concerned about the possibility that a patient has swallowed these small magnets?
Unfortunately, many magnet ingestions occur without parental knowledge and can be asymptomatic. As we well know, toddlers often investigate new objects by putting them in their mouths. If this goes unwitnessed, there may be no immediate symptom of ingestion.
Older children-pre-teens and teenagers-have used these magnets to mimic jewelry, such as tongue and ear piercings. Teenagers are notorious for being poor historians and forgetting to tell their parents or often not disclosing information. They may swallow the magnets and parents would have no knowledge of the event.
The initial period after ingestion is most often asymptomatic. There can be a broad spectrum of symptoms over time. Mild intermittent abdominal pain, vomiting, or diarrhea may be seen. This can easily be misinterpreted as infectious in origin. If symptoms persist or worsen gradually in the absence of fever or sick contacts, further investigation is warranted.
Some patients have presented with malaise or lethargy, very nonspecific symptoms. These symptoms can be the prelude to a volvulus, perforation, sepsis, and risk of death. So, it is critical to probe the family about the possible ingestion of magnets and whether they exist in the household.
What questions should the doctor ask the parents to clarify the diagnosis?
When a patient presents to the pediatrician for concern of magnet ingestion, some of the first questions may focus on whether the child had access to these powerful neodymium magnets. Do these magnets exist in the household (and a toddler could have gotten hold of them)? Are there other kids at school with these magnets? Neodymium magnets are often sold in large numbers, so it is difficult to account for all of them.
What outcome can be anticipated when a patient has swallowed these magnets?
Outcomes from magnet ingestions have been quite variable. In the best-case scenario, the magnet(s) will travel through the intestinal tract and pass with an uneventful bowel movement. Often, if just a single magnet is ingested there are no significant sequelae. However, in light of the nature of these very powerful magnets, if more than one is ingested they can connect in the intestinal tract and pinch bowel wall, leading to ischemic necrosis and perforation or obstruction.
An abdominal radiograph should be obtained in any case of suspected ingestion. It is also recommended to obtain 2 views to clarify if there is more than 1 magnet involved.
Single magnet ingestions can be monitored according to a management algorithm proposed NASPGHAN, but they still pose a potential problem if there is external metal from a belt buckle or belly button ring. Multiple magnet ingestions require a higher level of monitoring and endoscopic evaluation, as suggested in the algorithm.
How can a pediatrician help prevent this problem from arising in the first place?
The pediatrician’s role in preventing magnet ingestion should be part of routine well-child care and whenever the opportunity arises during sick visits. If there has been any suspicion or occurrence of any type of foreign-body ingestion in the past, clear warnings of magnet ingestion should be discussed with the family. NASPGHAN has developed a handout that can be given to families and posted in waiting rooms.
Images courtesy of Jeremy Screws, MD.Further information:
NASPGHAN Rare Earth Magnet Ingestion AlgorithmWarning! SWALLOWED MAGNETS ARE DANGEROUS
Printable patient handout issued by NASPGHAN
Magnet Ingestion in Children and Teenagers: An Emergine Health Concern for Pediatricians and Pediatric SubspecialistsJournal of Pediatric Gastroenterology and Nutrition, June 2012
Magnet ingestion in children--a potentially sticky issue?The Lancet, 23 June 2012
Access practical, evidence-based guidance to support better care for our youngest patients. Join our email list for the latest clinical updates.