The youngster's primary pediatrician found only some abdominal bloating thought to be related to the constipation. This morning new symptoms appeared: yellowish-green rhinorrhea and a cough, which resulted in one episode of vomiting. The abdominal pain has continued, and the youngster has been walking leaning forward.
The 3-year-old you saw two days ago has returned to the emergency departmentwith the same complaint, abdominal pain. The first visit was prompted bythe mother finding her daughter "balled-up" in her bed, lyingon her left side and refusing to move. By the time she was seen in the ED,she was able to walk and did not look ill. She had a low-grade fever (38.5°C) but no history of vomiting or preceding illness. Although her abdominaland rectal examinations were unremarkable, an acute appendicitis was firston the diagnostic list, and a CBC and abdominal X-rays were obtained. TheCBC revealed a WBC of 17,130/mL with a differential count of 2% bands, 50%segmented neutrophils, 10% eosinophils, 29% lymphocytes, and 8% monocytes.The abdominal films showed no evidence of obstruction or appendiceal fecalith,but the colon was filled with stool.
Given the negative abdominal examination and the amount of stool in thecolon, the youngster was given an enema and laxative suppository with goodresults. Her symptoms subsided, and she was discharged home with follow-upby her primary pediatrician.
Now she is back with the same symptoms, but worse. According to her mother,the youngster's primary pediatrician saw her yesterday and found only someabdominal bloating thought to be related to the constipation. This morningnew symptoms appeared: yellowish-green rhinorrhea and a cough, which resultedin one episode of vomiting. The abdominal pain has continued, and the youngsterhas been walking leaning forward. The mother denies knowledge of sick contacts.
As you ask more questions and begin your physical examination, you doubtthat constipation is the culprit here, especially since the enema and laxativeproduced such good results. The little girl's temperature is now 39.1°C, and she appears uncomfortable. Could this still be appendicitis? Yourabdominal examination is careful. There is no rebound tenderness and noguarding. Only mild discomfort to palpation is found in the right flankarea. The rectal examination is negative, with no tenderness, and only asmall amount of soft stool is present in the rectum. Perhaps the cough isa clue. Lower lobe pneumonia may present with abdominal pain. The lung examinationis completely clear. No other clues are forthcoming on the examination.
Although the chest examination is negative, you order a chest X-ray andrepeat the abdominal flat plate. Both radiographs are negative. Pyelonephritismust always be considered in a child with abdominal pain and fever; thepossibility is even higher here, with flank discomfort. Although a urineculture was obtained two days ago and is negative, a urinalysis is repeated.Except for a high specific gravity, 1.030, the urinalysis is unremarkable.
Other causes of abdominal pain, including pancreatitis and hepatitis,come to mind. You ask the laboratory to add a serum amylase, AST, ALT, andalkaline phosphatase to the tests ordered. Perhaps this is mesenteric adenitis.You order an abdominal ultrasound to help in deciding where to go next,but it too is unremarkable.
When your pursuit of diagnostic possibilities comes up short, it is bestto return to the history and physical examination. The re-examination ofthe abdomen is negative, with no new clues. You ask the child to pick upa toy from the floor. She seems to have some limitation of bending forward,but she is holding her abdomen. What about diskitis? You palpate along theentire spine and find no tenderness. The neurologic examination also appearsnormal.
Has there been a history of trauma? Although mother denied a historyof abdominal trauma, she now recalls that her daughter fell backward overa crate four days before the onset of symptoms. But the fall resulted inno pain, change in activity, or bruising, and she did not think it was amajor incident.
The laboratory tests are reported. The repeat CBC shows that the WBChas modestly increased, to 22,720/mL, and the differential count reveals71% segmented neutrophils, 9% eosinophils, 14% lymphocytes, and 6% monocytes.The erythrocyte sedimentation rate (ESR), nonspecific as it is, is worrisomeat 89 mm/hr, and the C-reactive protein (CRP) is a whopping 17.7 mg/dL(normal0 to 0.5)! The serum amylase and transaminases are normal.
Perhaps the fall backward over the crate was more meaningful than suspected?Given the elevated ESR and CRP, coupled with the history of fever, you wonderabout a vertebral injury or infection, possibly an osteomyelitis. Back problemsmay present with abdominal pain. Given the persistence of the symptoms andthe child's discomfort, arrangements are made for hospital admission, buton the way you are able to squeeze in a bone scan.
The bone scan is also reported as negative. Perhaps the back is not thesource of pain. Nevertheless, you are convinced that the problem is infectiousor inflammatory, and you feel that it must lie in the abdomen or back. Thephysical examination and history fail to provide any further clues. Consideringthe possibility of an occult intra-abdominal abscess or a spinal or paraspinalproblem, you order a CT scan of the abdomen. Later that afternoon your radiologistcolleague notes that there are abnormalities in the paraspinal muscles atL2 suggesting inflammation or hematoma and recommends an MRI scan for furtherdelineation.
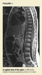
The MRI provides the long-awaited key to the diagnosis. An abnormal increasedsignal is found in the thecal space in the lumbar spine, suggesting a spinalepidural abscess or an infected hematoma (Figure 1). Hyperdense signalsare found at the level of the L2-L3 facets on the right and the surroundingsoft tissues (Figure 2).


Your neurosurgical consult schedules a laminectomy and drainage of thelesion with haste. Pus and granulation tissue are removed, which subsequentlygrow Staphylococcus aureus. Parenteral antibiotics are administered fortwo weeks followed by four weeks of high-dose oral therapy. Fortunately,the youngster does well with no sequalae of this serious infection.
Spinal epidural abscesses are rare in children. Fifty-eight cases havebeen reported in children less than 18 years old.1,2 The incidenceis slightly greater in girls than boys. The combination of the rarity ofthe disorder and the nonspecific nature of symptoms commonly creates a delayin diagnosis until neurologic symptoms, a consequence of this infection,appear.1,3 The delay results in a higher morbidity and mortalityin children with spinal epidural abscesses than in adults.
Hematogenous spread of bacteria appears to be the most common sourceof infection in spinal epidural abscesses, followed by direct extensionfrom a primary infection site, nonpenetrating spinal trauma with infectionof a hematoma (suspected to be the mechanism in this case), and iatrogenic,following surgery.14 The unique network of veins that connectsthe spinal epidural space with veins external to the spinal column and theinferior vena cava, Batson plexus, increase the chances of a hematoma becominginfected.
Since the consequences of failure to diagnose and manage spinal epiduralabscesses are so great, it is incumbent upon us to remember that early signsand symptoms may be nonspecific, and to consider this diagnosis in any childwith fever and back pain. The most common predominant symptom in the casesreported in the literature was limb weakness (78%); almost half of the childrenhad paraplegia and almost as many, paraparesis. Fever and back pain werepresent in 64% and 54% of the children reported. Other signs and symptoms,present in one-fifth to two-fifths of children, included sphincter disturbances,spinal tenderness, sensory levels, and radicular pain.1 Abdominalpain is an uncommon presentation of this infection, but we must always keepin mind that back problems may refer pain to other areas, particularly theextremities but also the abdomen. Ileus, colicky abdominal pain, and boweldistention may be caused by spinal epidural abscesses.2
These abscesses are most common in the posterior aspect of the epiduralspace. They occur most often in the thoracolumbar and lumbosacral levelsowing to the wider space and the presence of the large areolar tissue withthe rich extradural venous plexus.2,3,5S aureusis the bacteriamost likely to be responsible for this infection (almost 80% of the time).1Other culprits include Streptococcus pneumoniae, Streptococcus pyogenes,Proteus, Mycobacterium tuberculosis, and anaerobes.
MRI is the preferred imaging technique to uncover the possibility ofa spinal epidural abscess. CT scans with contrast may be helpful, but bonescans and plain radiographs are usually negative unless there is an associatedosteomyelitis.2 The management of this abscess in children isimmediate surgical drainage with laminectomy, and parenteral antibiotics.
The prognosis of children with spinal epidural abscesses depends on neurologicfunction at the time of diagnosis. Early diagnosis and treatment offer anexcellent chance of full recovery, while the consequences of delay includeparaplegia or death. Of 53 children reported with this abscess, 60% achieveda normal neurologic outcome, 17% died, 13% remained paralyzed, and 9% hadresidual weakness. Although 90% of the children without neurologic signsat presentation fully recovered, almost two-thirds of those who were admittedwith paralysis either remained paralyzed or died. Of the 16 children onwhom data was collected, the time to progression of neurologic deteriorationvaried from a few hours to two weeks, with an average time of eight days.1Time is of the essence.
Spinal epidural abscess is a frightening disorder. Thankfully, it isan uncommon one in children. Back pain is not something to take lightlyin children; the consequences are abominable if diagnosis is delayed. Notime to get snowed by the diagnosis (Yeti, Yeti, Yeti)!
DR. GEREIGE is Clinical Assistant Professor of Pediatrics,Division of General Pediatrics, University of South Florida, and All Children'sHospital, St. Petersburg, FL.
DR. TUNNESSEN, who serves as Section Editor for PediatricPuzzler, is Senior Vice President, American Board of Pediatrics, ChapelHill, NC, and a member of the Contemporary Pediatrics Editorial Board.

REFERENCES
1. Rubin G, Michowiz SD, Ashkenasi A, et al: Spinal epidural abscessin the pediatric age group: Case report and review of the literature. PediatrInfect Dis J 1993; 12:1007
2. Jacobsen FS, Sullivan B: Spinal epidural abscesses in children. Orthopedics1994;17:1131
3. Schweich PJ, Hurt TL: Spinal epidural abscess in children: Two illustrativecases. Pediatr Emerg Care 1992;8:84
4. Calderone RR, Larsen JM: Overview and classification of spinal infections.Orthop Clin North Am 1996;27:1
5. Tacconi L, Johnston FG, Symon L: Spinal epidural abscess: Review of10 cases. Acta Neurochirurgica 1996;138:520
PEDIATRIC PUZZLER.
Contemporary Pediatrics
1999;0:033.
Access practical, evidence-based guidance to support better care for our youngest patients. Join our email list for the latest clinical updates.