Is it high time to retire of concept of non-intervention for molluscum?


A matter of relief


Other interventions to relieve dermatitis symptoms can be problematic. Large studies of topical calcineurin inhibitors such as tacrolimus suggest an increase in herpetic infections, which may mean that this agent impairs viral immune processing.5 Furthermore, topical calcineurin inhibitors bear a black-box warning against use in children under the age of 2. These agents are not FDA approved for the treatment of molluscum dermatitis, although they are indicated in the treatment of corticosteroid-resistant atopic dermatitis.6,7
Superinfection
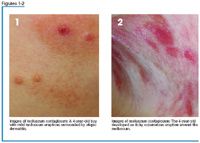
The issue of superinfection is controversial but real. For uncomplicated infections, active non-intervention and the use of emollients is still the best therapy. However, molluscum patients can develop lesions with features of, or which truly are, abscesses.8-10 Histology of MCV shows abscess formation microscopically in about 11% of lesions.11 This can be due to bacterial superinfection, but is more likely to be a neutrophilic response to MCV, rendered inadequate by host resistance factors that prevent the oxidative burst.12
Access practical, evidence-based guidance to support better care for our youngest patients. Join our email list for the latest clinical updates.