Fourteen-year-old JT is worried. During health class last week, he learned about the different sexually transmitted infections as well as about testicular self-examination. While practicing his monthly testicular examination in the shower, he noticed that he had a number of small growths on his penis. On further questioning, JT insists that he has never been sexually active with another person.

Fourteen-year-old JT is worried. During health class last week, he learned about the different sexually transmitted infections as well as about testicular self-examination. While practicing his monthly testicular examination in the shower, he noticed that he had a number of small growths on his penis that he thought could be genital warts. On further questioning, JT insists that he has never been sexually active with another person.
Approximately 15% of pubertal and postpubertal males have the normal finding of pink pearly penile papules.1 The practitioner usually notices these lesions on routine genital examination. Occasionally, however, a teen will notice them and mistake them for condylomata acuminata. These fleshy or whitish papules tend to be about 1 to 3 mm in diameter. They most frequently present in linear rows on the penile corona. Unlike genital warts, the pink pearly penile papules are of similar size and shape and their appearance does not change over time.
Patients like JT require little more than reassurance that this is a normal part of their anatomy and that no treatment is required.

Seventeen-year-old Felicia has an appointment to see you for "the flu." She denies any upper respiratory tract symptoms but she states that all her muscles hurt and she has had temperatures up to 39.2°C (102.5°F) over the past 2 days. It especially hurts her to walk because of pain in her knees. On physical examination, you note this rash on her hands.
The rash is typical of disseminated gonococcal infection (DGI). Further questioning reveals that Felicia has had a purulent vaginal discharge for the past few weeks. She did not want to have it evaluated because she was afraid her parents might find out that she was sexually active. A patient with DGI often presents with fevers, rigors, and arthralgias of the knees, elbows, wrists, and hands. The hemorrhagic pustules seen in DGI frequently occur over the affected joints.

Although DGI is most likely caused by gonococcal bacteremia, blood cultures are only somewhat sensitive in isolating an organism. However, culturing the initial site of inoculation (such as the genitals) often yields more accurate results.
Treatment consists of intravenous or intramuscular antibiotics (preferably ceftriaxone) for 48 hours, followed by a week of oral antibiotic therapy.
Jim, 20 years old, recently returned from spring break vacation in the Caribbean with his fraternity brothers. After telling you about the sun, the food, and the fun, he nervously states that he has "an issue" he needs to talk about. During a night of drunken debauchery, the students wandered down to the local red light district with the intention of paying a prostitute to "take Jim's virginity."
Unfortunately, they were successful. Three weeks later, Jim now is complaining of large, painful ulcers along his penis, as well as large lumps in the groin area. He is reasonably sure he contracted herpes and asks you to confirm the diagnosis.
Jim probably does not have herpes genitalis. Rather, these large, ragged ulcers are consistent with chancroid. Chancroid ulcers, caused by the bacterium Haemophilus ducreyi, tend to become necrotic and erode into the skin. In addition, large unilateral inguinal lymph nodes (on the affected side of the genitals) frequently accompany these ulcers.

Chancroid is uncommon in this country, except in localized outbreaks among prostitutes or populations at high risk for STD. It is more typically found in socioeconomically disadvantaged populations, such as those in Asia, Africa, and the Caribbean. Males are affected more often than females.
To make the diagnosis, one should have a high index of suspicion based on physical examination findings: large ulcers with unilateral tender (and occasionally suppurative) lymphadenopathy. Definitive diagnostic confirmation through polymerase chain reaction assay is quite reliable, but results may take days or even weeks to obtain.
Single-dose treatment with azithromycin, 1 g, or ceftriaxone, 250 mg, should sufficiently treat the infection. If the ulcers become secondarily infected, or if there is coinfection with another STD, then a more prolonged course of treatment may be required.
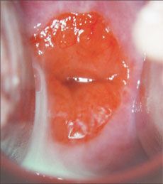
Fifteen-year-old Melanie comes to see your associate in the office for a "routine" pelvic examination. She has been sexually active with 1 partner for the past year. She swears that she always uses condoms during sexual intercourse and has never had any problems with a condom breaking. Melanie denies any symptoms of vaginal discharge, odor, or itching. On pelvic examination, your associate notices that Melanie's cervix appears erythematous and inflamed. She considers Chlamydia cervicitis, which causes cervical friability, as a possible diagnosis. Melanie restates that she has been asymptomatic and has taken every precaution to protect herself from getting an STD. She asks your associate to get a second opinion. At your associate's request, you take a look at Melanie's cervix.

This is
cervical ectropion
--a common, nonpathologic finding in adolescents. Remember that the normal female cervix typically consists of squamous epithelial cells on the exocervix with columnar epithelial cells lining the endocervix. The cervical transformation zone represents the area in which the squamous and columnar epithelial cells meet. In most mature women, this transformation zone occurs well within the cervical os. The cervix of young adolescents (and pregnant women) often demonstrates ectropion, in which the columnar cells and transformation zone actually extend onto the exocervix. These cells appear deep red in contrast with the pink squamous epithelial cells. While this can be a normal physical finding, the presence of the columnar cells on the exocervix places adolescents at higher risk for contracting infection with
N gonorrhoeae
or
Chlamydia.
Culture specimens are mandatory during a routine pelvic examination. However, many clinicians would not prescribe antibiotics unless the cultures demonstrated infectious growth.
Chris arrives at your office for his pre-college physical examination. He appears to be a fairly mature 18-year-old who will be attending an Ivy League university on a full scholarship. He denies any drug or alcohol use. While Chris states that he wants to postpone sexual intercourse until after marriage, he does admit to engaging in oral sexual activity with about 10 different girls in his school within the past year. You counsel him on the risks of this large number of partners, but he insists that "oral sex is safe sex." His physical examination proves him wrong. You point out an ulcer on the side of his penis.

Chris is shocked because he never even felt any discomfort. The presence of a small, painless genital ulcer suggests that this is the chancre seen in primary syphilis. While the ulcer may appear herpetic, the herpes lesions tend to be acutely painful. In fact, many patients with syphilis never notice the chancre and are unaware of their infection until they present with rashes consistent with secondary syphilis.
The diagnosis should be confirmed by sending a smear from the lesion for dark-field microscopy or direct fluorescent antibody testing. Rapid plasma reagin (RPR) or VDRL antigen testing of the blood may also be used if those tests are not available.
Treatment consists of intramuscular penicillin G (weekly for 3 weeks) or ceftriaxone (daily for 2 weeks).
Jackson, a gay 17-year-old with HIV infection, has been your patient since he was 8 years old. Since his diagnosis of HIV 2 years ago, you have provided his medical care in conjunction with the regional tertiary care center's infectious disease clinic. One month ago his CD4+ cell count was 504/µL. Today Jackson complains of blood in his stools. He denies diarrhea or any systemic symptoms. He vehemently denies any anal sexual contact since his HIV diagnosis 2 years ago. Further questioning reveals that his stools are frequently painful and difficult to pass. Jackson has already searched the Internet and is concerned that he might have hemorrhoids.

Physical examination reveals large
anal warts
--also known as Buschke-Lowenstein tumors. These lesions are most frequently seen in persons who may be immunosuppressed. They are usually caused by HPV types 6 and 11. Patients complain about pain on defecation or bright red blood in their stools caused by trauma to the warts during defecation. Because of the bulkiness of these warts, topical treatments frequently fail to resolve the lesions and the patients may have to be referred to an anorectal surgeon for surgical removal.
Even though the lesions are called Buschke-Lowenstein "tumors," they do not carry malignant potential. Remember that HPV types 6 and 11 are considered lower-risk for anorectal cancer. However, immunocompromised patients are at increased risk for neoplastic changes when infected with these (or for that matter any) subtypes of anogenital HPV. Furthermore, the possibility of coinfection with higher-risk HPV types (such as types 16 and 18) clearly places these patients at increased risk for anorectal cancer.
While moonlighting in the local university's student health service, you meet Antonio, a 19-year-old Central American male complaining of "groin pain." He states that he has found a lump in his inguinal area and he is worried that he may have a hernia. Antonio denies any recent strenuous exercising or lifting of heavy objects. Over the past few days he thinks that he may have had some chills and fever, but he has not taken his temperature. He is now afebrile.

Physical examination reveals a large, inflamed-appearing lymph node. This finding is a hallmark of
lymphogranuloma venereum (LGV)
. This disease, caused by
Chlamydia trachomatis
(serovars L1, L2, and L3), is uncommon in the United States and Europe and is usually found in the Caribbean, Africa, India, and Central America. The bacterium infects the person through breaks in the skin or mucous membranes incurred during sexual activity.
Male patients may initially recall a small, nontender herpetic-appearing lesion in the genital area that quickly self-resolves. Two to 6 weeks later, large, tender unilateral inguinal lymphadenopathy develops and further enlarges to form the buboes pictured above. Occasionally, the patient will present with a "groove sign": lymphadenopathy above and below the inguinal ligament. The buboes ulcerate and drain.
In females, the primary lesion is often inside of the vagina. Those affected are often unaware of its presence. As the disease progresses, the deep iliac or perirectal nodes usually enlarge rather than the inguinal nodes. Therefore, pelvic or back pain is typically the presenting sign instead of inguinal pain. The lack of external physical findings makes it more difficult to diagnose this disease in women.
Persons of both sexes can see progression of the lymphadenopathy to form fistulas, abscesses, strictures, and proctocolitis. Occasionally, lymph tract fibrosis can lead to genital elephantiasis. Complications of systemic spread can include arthritis, hepatitis, meningitis, carditis, and occasional pulmonary involvement.
Diagnosis is primarily based on history and physical findings. Nucleic acid amplification tests on a bubo aspirant provide reliable sensitivity and specificity for determining the Chlamydia serovars that cause LVG. Complement fixation tests are also useful in establishing a diagnosis, but Chlamydia cultures do not have sufficient sensitivity to be routinely employed.
Treatment consists of 21-day courses of doxycycline or erythromycin. Surgical intervention may be required to drain the larger buboes and/or to treat fistula formation.
REFERENCE:
1.
Neinstein LS, Goldenring J. Pink pearly papules: an epidemiologic study.
J Pediatr.
1984;105:594-595.
FOR MORE INFORMATION:
•Workowski KA, Levine WC. Sexually transmitted diseases treatment guidelines--2002.
MMWR.
2002;51:RR06:1-80. Available at:
http://www.cdc.gov/mmwr/preview/mmwrhtml/rr5106a1.htm
. Accessed June 14, 2006.
Access practical, evidence-based guidance to support better care for our youngest patients. Join our email list for the latest clinical updates.