
Digital extension; joint hypermobility; skin elasticity with keloid scars; pectus and scoliosis from skeletal flexibility and deformation; these disparate symptoms and findings point to what diagnosis?

Digital extension; joint hypermobility; skin elasticity with keloid scars; pectus and scoliosis from skeletal flexibility and deformation; these disparate symptoms and findings point to what diagnosis?

Low muscle tone, delayed motor milestones, and failure to gain weight. The mother was 38 at the time of delivery, but nothing else is noteworthy about this 9-month-old.

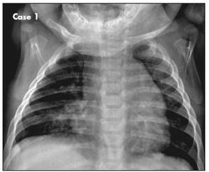
A 6-month-old boy with 1-week history of dry cough that worsened at night. He had been wheezing off and on for the past month and had visited the emergency department on one occasion.

A 2-year-old girl has been followed for developmental delays and slow weight gain by her pediatrician and early childhood intervention therapists. The 17-year-old, first-time mother was also a runaway and had avoided early prenatal care. More details and questions for you, here.

A 14-month-old girl presented with persistent fever, cough, and worsening rash of 5 days’ duration. On the first day of the illness, the infant was brought to an acute care clinic for evaluation.

Two-month-old boy with divot in the lower back, shown here with the gluteal crease relaxed (A) and spread (B). Infant is a product of an uncomplicated pregnancy and delivery. Nursery stay uneventful. Subsequent feeding and growth normal. Parents report no problems with urination or defecation.

Parents are understandably concerned about vaccines and autism, a relationship publicized by lawsuits, alternative therapies, and claims of government cover-up.

A 14-year-old white girl whose menstrual periods have not begun presents with concerns that many of her peers are already menstruating.

On morning rounds in the well-baby nursery, a nurse brings your attention to a 1-day-old girl who is having trouble latching onto the breast. You examine the child and note the subtle anomalies shown in Figure 1 along with a pronounced head lag and a systolic heart murmur.

Genetic Disorders: Child With Facial Anomalies and Developmental Delay

Published: April 1st 2006 | Updated:

Published: September 2nd 2008 | Updated:

Published: February 1st 2008 | Updated:

Published: July 1st 2008 | Updated:

Published: January 5th 2012 | Updated:

Published: April 12th 2012 | Updated: