For 3 months, a 9-year-old boy had swelling of the left upper arm. An MRI scan obtained at another facility 1 week after onset showed extensive edema of the soft tissue at the midhumeral level. Laboratory results, including complete blood cell (CBC) count and Lyme titer, were normal.
For 3 months, a 9-year-old boy had swelling of the left upper arm. An MRI scan obtained at another facility 1 week after onset showed extensive edema of the soft tissue at the midhumeral level. Laboratory results, including complete blood cell (CBC) count and Lyme titer, were normal.

   Two weeks before presentation, the   swelling had worsened and associated   pallor, fatigue, and lower extremity   pains had developed. A repeated   CBC count was consistent with   leukemia: white blood cell (WBC)   count, 336,000/μL (with 96% blasts);   hemoglobin level, 5.2 g/dL; platelet   count, 36,000/μL. The patient was   referred for further evaluation.
   On examination, the child was   pale, with splenomegaly but no   hepatomegaly or lymphadenopathy.   The left arm mass was firm and nontender,   without inflammation. Bone   marrow aspiration revealed hypercellular   marrow, with more than 95%   blasts. Flow cytometry of the bone   marrow aspirate was consistent with   precursor B-cell acute lymphoblastic   leukemia (ALL). Fluorescence in   situ hybridization analysis revealed   clonal rearrangement of the MLL   gene at 11q23 (present in 87% of   cells). Spinal fluid revealed no cells.
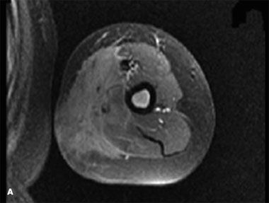
   Before treatment, a repeated   MRI scan showed a large (15 X 4.5-   cm) mass medial to the humerus infiltrating   the biceps brachii, brachioradialis,   and triceps muscles with   extension into the subcutaneous fat.   The ulna neurovascular bundle, brachial   artery, and vein were all encircled   by the mass. On T-1 pulse sequence,   the mass was isointense to   the muscle with a normal bone cortex.   The bone marrow showed low   signal intensity, which signified an   infiltrative process. A T-1 fat-saturated   sequence revealed high signal intensity   of the bone marrow, related   to an absence of normal fatty bone   marrow. T-1 fat-saturated pulse sequence   postgadolinium injection   showed marked enhancement of the   soft tissue mass and bone marrow.

   Virtually the entire humerus was involved,   with no cortical erosion (A).   ALL is one of the most common   malignancies in children, accounting   for 30% of all childhood   cancers.1,2 This primary malignancy   arises from bone marrow. It can occur in any age-group and is slightly   more common in girls in the first   decade of life, with a peak incidence   between 2 and 5 years. Leukemic   skin infiltrations can involve the epidermis,   dermis, and subcutaneous   fat. These lesions are seen in 1% of   patients.3
   Children with ALL usually present   with cytopenia, fever, and bone   pains.4 Although asymptomatic skeletal   involvement may be seen in 40%   to 60% of patients at presentation, extramedullary   leukemic masses outside   the CNS and testes are exceedingly   rare.5,6 The few that are seen   typically involve the eyes, ovaries,   kidneys, tonsils, mediastinum, masseter   muscle, scrotum, bone, or paraspinal   areas.6 Such extramedullary   leukemic masses are almost always   a manifestation of relapsed ALL and   not the primary presenting feature.   However, it is important to consider   ALL in the differential diagnosis   when evaluating patients with a soft   tissue mass.
   This patient received standard   chemotherapy consisting of prednisolone,   vincristine, daunorubicin,   PEG asparaginase, and intrathecal   methotrexate. Within a week, his   WBC count decreased to less than   1000/μL, with no blasts on the blood   smear, and flow cytometry showed   no abnormal immature B-cell populations.   These findings were consistent   with remission.
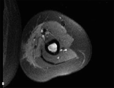
   An MRI scan obtained 6 days   after therapy showed marked decreased   enhancement of the soft tissue   (B). On all sequences (T-1, T-1   fat-saturated, and fat-saturated with   contrast), the size of the mass had   decreased and normal muscle tissue   was visible. However, the bone marrow   signal was still abnormal, signifying   persistence of the infiltrative   process replacing the normal bone   marrow. This patient will continue to   receive close monitoring by the   hematology/oncology department.
REFERENCES:1. Ahn JY, Choi EW, Kang SH, Kim YR. Isolatedmeningeal chloroma (granulocytic sarcoma) in achild with acute lymphoblastic leukemia mimickinga falx meningioma. Childs Nerv Syst. 2002;18:153-156.    
    2. Franck P, Duffner U, Schulze-Seemann W, et al.Testicular relapse after 13 years of complete remissionof acute lymphoblastic leukemia. Urol Int. 1998;60:239-241.  
  3. Taljanovic MS, Hulett RL, Graham AR, et al.Acute lymphoblastic leukemia of the skin and subcutaneoustissues; the first manifestation of diseasein a 6-month-old infant: a case report with literaturereview. Emerg Radiol. 2004;11:60-64.  
  4. Jonsson OG, Sartain P, Ducore JM, BuchananGR. Bone pain as an initial symptom of childhoodacute lymphoblastic leukemia: association with nearlynormal hematologic indexes. J Pediatr. 1990;117(2, pt 1):233-237.  
  5. Sadawaite S, Jijina F, Nair CK, et al. An unusualpresentation of pediatric acute lymphoblastic leukemia.Indian J Hematol Blood Transfus. 2008;24:59-62.  
  6. Wimperis JZ, Brandt LJ, O’Connor S, et al. Unusualpresentation of common acute lymphoblasticleukemia antigen-positive extramedullary disease inchildhood. Two patients with isolated masseter muscleinvolvement. Cancer. 1992;70:897-901.
Access practical, evidence-based guidance to support better care for our youngest patients. Join our email list for the latest clinical updates.