A 3-month-old African American boy was referred for evaluation of poor weight gain and vomiting. The infant had been evaluated by his primary care physician 15 times within the past 6 weeks; he had no change in symptoms despite various treatments.
A 3-month-old African American boy was referred for evaluation of poor weight gain and vomiting. The infant had been evaluated by his primary care physician 15 times within the past 6 weeks; he had no change in symptoms despite various treatments.
The family expressed concerns about severe gastroesophageal reflux disease, developmental regression, conjunctivitis with corneal clouding, and coughing with feeds. The patient had had no fever, diarrhea, or recurrent infections (including pulmonary illness and otitis media).

Figure 1 – On admission, the infant had cloudy corneas and fine, brittle hair.
He also had facial seborrheic dermatitis.
History. The infant was adopted; he was born in a southern state and brought to New England within the first week of life. The birth parents’ histories were unremarkable. Results of newborn screening tests in the birth state were normal. Current medications included ranitidine and metoclopramide. The infant’s cow’s milk–based formula had been switched to soy formula because of persistent vomiting; he was receiving the appropriate volume and frequency of soy formula for his age. Immunizations were up-to-date.
Physical examination. Weight was less than the third percentile; length and head circumference were at the third percentile. Vital signs were nonworrisome. The infant had decreased activity. He had cloudy corneas without conjunctival injection (Figure 1); minimal rhinorrhea; minimal respiratory distress with diffuse, coarse breath sounds; mild abdominal distention; a moderate-sized, easily reducible umbilical hernia; fine, brittle hair; and moderate seborrheic dermatitis.


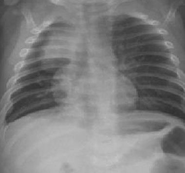
Figure 2 – Initial chest radiographs showed right upper lobe consolidation.
Laboratory tests and radiographic evaluation. Initial laboratory results indicated a slightly low ionized calcium level and an elevated alkaline phosphatase level. Chest radiographs showed right upper lobe consolidation (Figure 2). Pulmonology, ophthalmology, genetics, endocrinology, and gastroenterology specialists were consulted.
The list of possible causes of the patient’s condition was quite long at this point; more laboratory and radiographic studies were completed.
Further testing revealed significant fat-soluble vitamin deficiencies, elevated prothrombin time, subtle radiographic evidence of rickets, normal Δ1-antitrypsin level, low fecal elastase level, and elevated 72-hour fecal fat level. Pancreatic insufficiency was diagnosed.
Pilocarpine iontophoresis could not be reliably performed in this patient because of inadequate amounts of sweat. Cystic fibrosis mutation analysis revealed 2 gene mutations (ΔF508 and 3120+1 GA). The final diagnosis was cystic fibrosis with minimal respiratory involvement and significant pancreatic insufficiency, which resulted in clinical signs of fat-soluble vitamin deficiencies-xerophthalmia (vitamin A), rickets (vitamin D), xerosis (vitamin E), and coagulopathy (vitamin K).
(Discussion continues on next page.)
CYSTIC FIBROSIS: AN OVERVIEW
Cystic fibrosis (CF) is a genetic disease inherited in an autosomal recessive pattern. The implicated mutations are located on the long arm of chromosome 7, in the gene that encodes the CF transmembrane conductance regulator (CFTR); this protein contains 1480 amino acids and functions as a chloride and bicarbonate ion transporter across cell membranes. 1-3 More than 1600 CF mutations have been identified. The risk of inheriting one of these mutations is related to a patient’s race and ethnicity. US persons of Caucasian or Ashkenazi Jewish descent have a 1 in 29 chance of carrying a CF mutation; therefore, the risk of unaffected Caucasian and Ashkenazi Jewish parents having a child with CF is 0.030%.4 The risk is diminished in other ethnic groups (Table).

Without a normally functioning CFTR, electrolyte and fluid imbalances occur in the lungs, liver, pancreas, intestines, vas deferens, and skin. These imbalances result in thickened mucus, which leads to obstruction in the affected tissues and, potentially, dysfunction of multiple organs. In addition, the thickened mucus provides a rich medium for bacterial growth in the lungs, causing further pulmonary tract destruction and dysfunction.
Most of the clinical manifestations of CF are a direct result of mucus obstruction:
• Pulmonary hypersecretion of mucus, obstruction, dilation of the airways, inflammation, and infection.
• Intrahepatic biliary obstruction and cirrhosis.
• Pancreatic insufficiency and fibrosis.
• Meconium ileus in neonates and
• Destruction of the vas deferens and subsequent infertility in men.
subsequent infertility in men. Development of pancreatic insufficiency. CF is the most common cause of pancreatic insufficiency in children, which is the direct result of pancreatic exocrine gland obstruction and exocrine enzyme deficiency. With little or no exocrine enzyme function, steatorrhea typically occurs, nutrient and fat-soluble vitamin absorption declines, and weight loss and malnutrition ensue. Researchers have demonstrated a correlation between specific mutations and the likelihood of pancreatic insufficiency developing.5 Patients with CF who are heterozygous for the ΔF508 mutation have a 72% chance of pancreatic insufficiency developing, whereas those patients who are homozygous for the ΔF508 mutation have a 99% chance of pancreatic insufficiency developing.6
Fat-soluble vitamin deficiencies. Fat-soluble vitamin deficiencies are common in patients with CF, especially those with pancreatic insufficiency. A study in 1999 reported that most patients with CF, even patients without steatorrhea, are vitamin K–deficient.7 The authors recommended vitamin K replacement for all patients with CF; yet despite their significantly low vitamin K levels, coagulopathy was rare in the study population.7 Deficiencies of other fat-soluble vitamins (vitamins A, D, and E) are also common; however, obvious clinical manifestations of fat-soluble vitamin deficiencies (xerophthalmia, rickets, and xerosis) are rare.
DIAGNOSIS AND PROGNOSISPilocarpine iontophoresis.
Although the preferred study for diagnosing CF continues to be pilocarpine iontophoresis (chloride sweat test), subsets of patients are unable to produce adequate amounts of sweat for accurate testing. These include African American infants and those infants younger than a postconceptual age of 38 weeks.8 Older African American children and African American adults also may have difficulty in producing enough sweat for pilocarpine iontophoresis.9
Genetic testing.
When pilocarpine iontophoresis is not possible, genetic testing can be used. A variety of mutations may be seen, depending on the patient’s race and ethnicity. The most common CF mutation among Caucasian patients is ΔF508; up to 85% of Caucasian patients have this mutation. In African American patients with CF, about half carry the ΔF508 mutation and one-quarter carry 1 of 8 other common mutations among African American patients; of these, 3120+1 G→A is the most common and accounts for between 9% and 14% of all mutations in this ethnic group.10,11 Life expectancy and quality of life. The long-term prognosis for patients has improved dramatically over the past few decades. According to the Cystic Fibrosis Foundation (www.cff.org), the predicted median survival for children born in 2006 with CF is 37 years. Life expectancy and quality of life are the direct result of the early institution of innovative airway clearance techniques, new antibiotic regimens, and attention to nutrition; they also depend on whether the patient received care at a certified CF center.12,13
NEONATAL SCREENING
Diagnosis via neonatal screening has been shown to improve patient prognosis by allowing early treatment and by preventing or postponing irreversible airway damage; these effects benefit patients during infancy, childhood, adolescence, and adulthood and have been shown to prolong survival.14 Detection of CF on neonatal screening can also lead to improved patient nutrition and fatsoluble vitamin levels during important developmental stages and to a decreased incidence of malnutrition.15 Forty-nine states conduct universal neonatal screening for CF.
Texas is currently awaiting legislative funding to begin a universal screening program. Neonatal screening for CF involves a blood sample that is tested for immunoreactive trypsinogen. Neonates with CF have higher than expected levels of this pancreatic enzyme. In most states, a positive result triggers genetic testing for the most common CF mutations. In other states, the primary care physician is advised to consider other diagnostic options, such as pilocarpine iontophoresis.
OUTCOME IN THIS CASE
Supplementation with fat-soluble vitamins and pancreatic enzyme replacement therapy were started. The soy formula was switched to an elemental formula to aid in absorption of medium-chain fatty acids. The infant’s corneal clouding and other clinical signs of fat-soluble vitamin deficiency resolved within weeks of initiating treatment (Figure 3), and his laboratory values normalized. The patient’s ongoing care will be provided by his primary care provider and the local CF center. At follow-up, he was gaining weight appropriately and had experienced few pulmonary symptoms.

Figure 3 – The happy infant 6 weeks after hospitalization with no signs or
symptoms of fat-soluable vitamin deficiency.
KEY POINTS FOR YOUR PRACTICE
• Fat-soluble vitamin deficiency and pancreatic insufficiency early in life, with few GI symptoms of malabsorption, may be the presenting signs of cystic fibrosis.
• Cystic fibrosis occurs in non-Caucasian patients and in patients with no significant pulmonary symptoms or recurrent infections.
• Genetic testing can play a role in the diagnosis of cystic fibrosis, especially in African American patients or in young infants who do not produce adequate quantities of sweat for reliable iontophoresis.
• Because of the beneficial effects of early diagnosis, universal newborn screening for cystic fibrosis is conducted in almost all states.
• Certain elemental formulas contain medium-chain fatty acids that are more easily absorbed than the fatty acids in standard cow's milk formula and soy formula.
REFERENCES:
1.
Kerem B, Rommens JM, Buchanan JA, et al.Identification of the cystic fibrosis gene: geneticanalysis.
Science
. 1989;245:1073-1080.
2.
Riordan JR, Rommens JM, Kerem B, et al. Identificationof the cystic fibrosis gene: cloning andcharacterization of complementary DNA [publishedcorrection appears in Science. 1989;245:1437].
Science
. 1989;245:1066-1073.
3.
Rommens JM, Iannuzzi MC, Kerem B, et al. Identificationof the cystic fibrosis gene: chromosomewalking and jumping.
Science
. 1989;245:1059-1065.
4.
Driscoll DA, Sehdev HM, Marchiano DA. Prenatalcarrier screening for genetic conditions. NeoReviews.2004;5:e290-e295.
http://neoreviews.aappublications.org/cgi/content/extract/5/7/e290
. Accessed November30, 2009.
5.
Walkowiak J, Herzig KH, Witt M, et al. Analysisof exocrine pancreatic function in cystic fibrosis: onemild CFTR mutation does not exclude pancreatic insufficiency.
Eur J Clin Invest
. 2001;31:796-801.
6.
Kerem E, Corey M, Kerem BS, et al. The relationbetween genotype and phenotype in cystic fibrosis-analysis of the most common mutation (delta F508).
N Engl J Med
. 1990;323:1517-1522.
7.
Rashid M, Durie P, Andrew M, et al. Prevalenceof vitamin K deficiency in cystic fibrosis.
Am J ClinNutr
. 1999;70:378-382.
8.
Eng W, LeGrys VA, Schechter MS, et al. Sweattestingin preterm and full-term infants less than6 weeks of age.
Pediatr Pulmonol
. 2005;40:64-67.
9.
LeGrys VA. Sweat testing for cystic fibrosis:profiles of patients with insufficient samples.
ClinLab Sci
. 1993;6:73-74.
10.
Macek M Jr, Mackova A, Hamosh A, et al.Identification of common cystic fibrosis mutations inAfrican-Americans with cystic fibrosis increasesthe detection rate to 75%.
Am J Hum Genet
. 1997;60:1122-1127.
11.
Padoa C, Goldman A, Jenkins T, Ramsay M.Cystic fibrosis carrier frequencies in populations ofAfrican origin.
J Med Genet
. 1999;36:41-44.
12.
Rowe SM, Clancy JP. Advances in cystic fibrosistherapies.
Curr Opin Pediatr
. 2006;18:604-613.
13.
Rubin BK. Emerging therapies for cystic fibrosislung disease.
Chest
. 1999;115:1120-1126.
14.
Mérelle ME, Schouten JP, Gerritsen J, Dankert-Roelse JE. Influence of neonatal screening andcentralized treatment on long-term clinical outcomeand survival of CF patients.
Eur Respir J
. 2001;18:306-315.
15.
Farrell PM, Kosorok MR, Laxova A, et al.Nutritional benefits of neonatal screening for cysticfibrosis. Wisconsin Cystic Fibrosis Neonatal ScreeningStudy Group.
N Engl J Med
. 1997;337:963-969.
Access practical, evidence-based guidance to support better care for our youngest patients. Join our email list for the latest clinical updates.