As our children are becoming fatter, diabetes is becoming more common. Diabetic ketoacidosis (DKA) can lead to cerebral edema, a complication unique to the pediatric population and a common cause of death in this young group.


A 14-year-old boy with no known medical problems was found lying unresponsive in his bedroom, vomitus on his shirt. His mother recalled that he had been drinking and urinating frequently over the past several weeks and that his clothes had been "hanging off him." The patient had missed the past few days of school because of fatigue, malaise, abdominal pain, and a general feeling of being unwell. The patient's doctor told the family that the boy had the flu, and would feel better in a few days.
When the patient was found unconscious, his mother called the emergency response team. Initial vital signs were: heart rate, 130 beats per minute; respiratory rate, 32 breaths per minute; blood pressure, 90/65 mm Hg; temperature, 37ºC (98.6ºF); weight, 55 kg.
The patient was somnolent but could be aroused and open his eyes on command. His breath had a fruity odor. His airway was patent, with no stridor. His breathing was tachypneic, with Kussmaul respirations. His skin was clammy and cool; there was no evidence of rash or injury. Capillary refill time was 4 seconds. His lips were parched and his eyes sunken. His abdomen was not distended but was diffusely tender. Bowel sounds were present in all 4 quadrants. His pupils were 3 to 4 mm bilaterally. The Glasgow Coma Score (GCS) was 12 to 13.
Results of a dipstrip registered "high" (ie, too high to register a number). There was no evidence that the patient had ingested any toxic or unusual/illicit substances.
The emergency team started the patient on oxygen, delivered via face mask. They also started 2 intravenous lines that were run wide open with normal saline as the patient was transported to the emergency department (ED). Despite these measures, the patient became responsive to pain only. His GCS had dropped to 5, and his pupils were unequal. His heart rate was 75 beats per minute, blood pressure was 135/95 mm Hg, and he had agonal respirations. On arrival at the ED, his pH was 7.02, PCO2 was 22 mm Hg, and base excess was 18 mEq/L.
As this case illustrates, diabetic ketoacidosis (DKA)--ketoacidosis associated with varying degrees of dehydration1--can be the first sign of disease in children with diabetes. DKA is also the most common complication of diabetes.1-5 Its consequences are serious and can be catastrophic.1,6 For instance, DKA is the most common cause of hospitalization in diabetic patients younger than 20 years,3,5 and it is the leading cause of death in diabetic patients younger than 21 years.1-3,6 Most of these patients die of cerebral edema.3,6-8
DKA, formerly considered a complication of type 1 diabetes, is now recognized in both type 1 and type 2 diabetes.3,5 DKA occurs in 25% to 40% of children with new-onset disease, for an overall incidence of 8 per 100 person-years.2,8
Prevention of DKA--as well as early recognition and treatment of its complications when they do occur--is the primary goal of diabetes management in children.1,3,5,6,8
Causes of DKA
Nonadherence with treatment, most problematic during adolescence, is the most common reason for DKA in children with known type 1 diabetes.2,5 Other contributors include stress, intercurrent illness, and limited knowledge and understanding of diabetes.2,5
In DKA, lack of insulin prohibits cellular use of glucose. Levels of counterregulatory hormones, including glucagon, epinephrine, cortisol, and growth hormone, increase. Hepatic gluconeogenesis and glycogenolysis occur, and lipolysis in fatty acids creates ketoacids. Insulin deficiency prevents tissues from using glucose and ketones, ultimately leading to hyperglycemia and ketonemia. Glucose in the kidney tubules draws water and electrolytes into the urine, creating an osmotic diuresis that depletes both volume and electrolytes.1,5,9
Recognizing DKA
The hallmarks of DKA are:
Hyperglycemia, with a blood sugar level that exceeds 200 mg/dL
Metabolic acidosis, with a pH of less than 7.30, and/or
Bicarbonate level of less than 15 mEq/L (Table 1).
These findings are accompanied by glucosuria, ketonuria, ketonemia, and electrolyte abnormalities,1-3,5,6 which lead to hyperosmolality and volume depletion. DKA is generally classified by the severity of acidosis. In mild DKA, the pH is less than 7.3 and the bicarbonate level is below 15 mEq/L. DKA is considered severe when the pH is below 7.1 and bicarbonate levels are less than 5 mEq/L.6
Clinical manifestations of DKA are related to the degree of dehydration and acidosis,2 and can vary.1,2,5 Patients with previously undiagnosed DKA may have a history of fatigue, weight loss, and polyuria and/or polydipsia for weeks before seeking medical attention.1,2 Often, symptoms mimic other common ailments, including gastroenteritis, appendicitis, hyperventilation, and a toxic ingestion or poisoning.5
Suspect DKA in patients who have vomiting, dehydration, dyspnea, abdominal pain, effortless tachypnea, or altered mentation.8 In fact, any patient with diabetes and vomiting should be presumed to have DKA until proved otherwise.8 In young children or infants, weight loss; decreased activity or irritability with signs of dehydration; and severe, persistent candidal diaper rash suggest diabetes.2
Acute cerebral edema
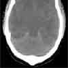
The approach to managing DKA is unique in children because of the potential for the most dreaded complication--acute cerebral edema, which affects only youngsters10 and complicates 1 in 100 episodes of pediatric DKA (Figure).10,11 Acute cerebral edema is lethal in 20% to 50% of children (this rate has remained constant for years).4 A third of affected children suffer serious neurologic sequelae and disability.10
Although many factors historically have been considered to contribute to cerebral edema (ie, rapid intravenous hydration, a quick change in sodium or glucose levels during treatment, and young patient age1,5,12), there is no documented association between any of these and cerebral edema.4,10,11,13,14 Variations in treatment may worsen an ongoing process, but there is no evidence to suggest that cerebral edema is caused by treatment.11 The only intervention to be linked with cerebral edema is bicarbonate therapy and an increase in the severity of dehydration, as reflected by an elevation in blood urea nitrogen levels and a decrease in serum carbon dioxide pressure when the patient presents.4,11,14
It has been hypothesized that cerebral edema is related to brain ischemia. Children are more affected than adults because they have higher baseline oxygen requirements. Many other theories exist, but as yet not one is fully supported by current data.7,8,15
Managing acute cerebral edema
Some patients have subclinical brain edema even before treatment is initiated. Therefore, treatment may exacerbate but does not cause cerebral edema. Watch for signs and symptoms of increased intracranial pressure (eg, headache, hard to arouse, vomiting, change in mentation). Affected children need emergent CT scans of the head as well as neurosurgical consultation. Care must be taken not to hyperventilate an intubated patient. Hyperventilation decreases cerebral blood flow, which exacerbates ischemia.
Management efforts are directed at correcting dehydration, acidosis, and any metabolic derangements while minimizing adverse outcomes.1,5 Much controversy exists regarding optimal fluid therapy.1,12 Protocols vary greatly between institutions and physicians.1 The greatest controversy remains how best to administer fluids and prevent increased intracranial pressure.5,12 The approach I recommend is outlined in Table 2.1,2,5,6,9,15
REFERENCES:
1.
Scarfone RJ, Kelly A. The recognition and management of diabetic ketoacidosis in children.
Pediatr Emerg Med Rep.
2004;9:129-140.
2.
Jeha G, Haymond MW. Treatment and complications of diabetic ketoacidosis in children. Available at: http://www.uptodate.com. Accessed December 12, 2005.
3.
Rosenbloom AL, Hanas R. Diabetic ketoacidosis: treatment guidelines.
Clin Pediatr.
1996;35:261-266.
4.
Brown TB. Cerebral oedema in childhood diabetic ketoacidosis: is treatment a factor?
Emerg Med J.
2004;21:141-144.
5.
Hafeez W, Vuguin P. Managing diabetic ketoacidosis: a delicate balance.
Contemp Pediatr.
2000;17: 72-83.
6.
Dunger DB, Sperling MA, Acerini CL, et al. ESPE/LWPES consensus statement on diabetic ketoacidosis in children and adolescents.
Arch Dis Child.
2004;89:188-194.
7.
Quintana EC. Factors associated with adverse outcomes in children with diabetic ketoacidosis- related cerebral edema.
Ann Emerg Med.
2004;43: 793-794.
8.
Kaufman FR. Type 1 diabetes mellitus.
Pediatr Rev.
2003;24:291-299.
9.
Baumann EE, Thorp F. Endocrine and metabolic emergencies. In: Strange GR, ed.
Pediatric Emergency Medicine: Just the Facts.
New York: McGraw-Hill; 2004:249-250.
10.
Levitsky LL. Symptomatic cerebral edema in diabetic ketoacidosis: the mechanism is clarified but still far from clear.
J Pediatr.
2004;145:149-150.
11.
Glaser N, Barnett P, McCaslin I, et al. Risk factors for cerebral edema in children with diabetic ketoacidosis.
N Engl J Med.
2001;344:264-269.
12.
Felner EI, White PC. Improving management of diabetic ketoacidosis in children.
Pediatrics.
2001; 108:735-740.
13.
Glaser NS, Wootton-Gorges SL, Marcin JP, et al. Mechanism of cerebral edema in children with diabetic ketoacidosis.
J Pediatr.
2004;145:164-171.
14.
Lawrence SE, Cummings EA, Gaboury L, Daneman D. Population-based study of incidence and risk factors for cerebral edema in pediatric diabetic ketoacidosis.
J Pediatr.
2005;146:688-692.
15.
Kamat P, Vats A, Gross M, Checchia PA. Use of hypertonic saline for the treatment of altered mental status associated with diabetic ketoacidosis.
Pediatr Crit Care Med.
2003;4:239-242.
16.
Charfen MA, Fernandez-Frackelton M. Diabetic ketoacidosis.
Emerg Med Clin North Am.
2005;23: 609-628.
17.
Koves IH. The accuracy of clinical assessment of dehydration during diabetic ketoacidosis in childhood.
Diabetes Care.
2004;27:2485-2487.
18.
Grimberg A, Cerri RW, Satin-Smith M, Cohen P. The "two bag system" for variable intravenous dextrose and fluid administration: benefits in diabetic ketoacidosis management.
J Pediatr.
1999;134: 376-378.
19.
Schwenk WF II, Haymond MW. Treatment of diabetic ketoacidosis in children and young adults.
Prim Care.
1983;10:663-676.
Access practical, evidence-based guidance to support better care for our youngest patients. Join our email list for the latest clinical updates.