A female infant born at 29 weeks' gestation after premature membrane rupture was admitted to the neonatal ICU in respiratory distress.
A female infant born at 29 weeks' gestation after premature membrane rupture was admitted to the neonatal ICU in respiratory distress. Delivery was complicated by maternal fever and meconium-stained amniotic fluid. The mother had not been screened for group B streptococci (GBS) infection and had received 1 dose of penicillin less than 4 hours before delivery. Results of a complete blood cell (CBC) count, cerebrospinal fluid (CSF) analysis, and urinalysis were unremarkable; cultures showed no bacterial growth. The infant received a 10-day course of antibiotics. Findings on cranial ultrasonograms at 2 and 10 days of life were normal. She was discharged on day 37 of life in stable condition.

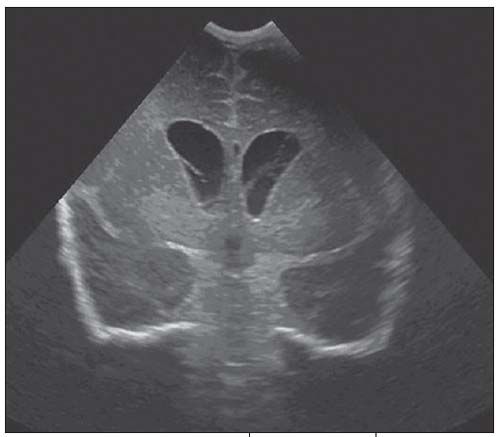
Figure 1 – Coronal cranial ultrasonogram shows hydrocephalus. Echogenic ependymal lining of the lateral ventricles represents ventriculitis. Linear echogenic strands within the ventricles are consistent with synechiae.
Sixteen days later, the infant was brought to the hospital because of poor feeding, diarrhea, and lethargy of 24 hours' duration. On admission, she appeared lethargic and was afebrile, tachypneic, and tachycardiac. Her anterior fontanelle was flat, with widened sagittal sutures. Occipital frontal circumference (OFC) was 35 cm (90th percentile for adjusted gestational age); the OFC at birth was 27 cm (50th percentile). Weight was 2.7 kg (25th to 50th percentile); birth weight was 1.43 kg (50th to 90th percentile). Remaining examination findings were normal. Serum white blood cell count was 2700/μL. Results of other parameters in the CBC count, urinalysis, and basic metabolic panel were normal. CSF protein and glucose levels were low, 2 mg/dL and 15 mg/dL, respectively. CSF, blood, and urine cultures were positive for GBS.

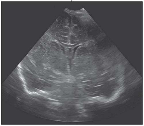
Figure 2 – An ultrasonogram obtained 7 days later demonstrates resolution of the hydrocephalus and reabsorption of the linear intraventricular strands.
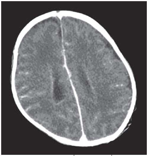
On day 2 of hospitalization, a cranial ultrasonogram revealed hydrocephalus, with echogenic ependyma of the lateral ventricles, related to ventriculitis (Figure 1). Linear synechiae noted within the ventricles were characteristic of inflammation. The 3rd and 4th ventricles were normal. The findings represented a noncommunicating hydrocephalus at the level of the Monro foramen. A week later, a follow-up ultrasonogram showed resolution of the hydrocephalus and reabsorption of the intraventricular echogenic strands (Figure 2); there was no evidence of a focal brain lesion. A contrast-enhanced CT scan on day 17 revealed enhancement of the ependymal lining of the lateral ventricles with no hydrocephalus (Figure 3). Slight cisternal enlargement at the left lateral cerebral convexity and right frontal region, consistent with sympathetic effusion (exudative effusion caused by disease in nearby structure), was also present. The parenchyma was normal.

Figure 3 – Contrastenhanced CT scan shows enhancement of the ependyma of the lateral ventricles, consistent with ventriculitis. Slight prominence of the cisterns at the left cerebral convexity and right frontal region is also present.
After 2 weeks of treatment with benzylpenicillin and gentamicin, repeated cultures were negative for GBS. However, GBS antigen remained in the CSF. The antibiotic therapy was continued for 1 more week. Four weeks after admission, cranial ultrasonographic findings were unremarkable.
HYDROCEPHALUS:
A SEQUELA OF MENINGITIS
GBS infection is a common cause of neonatal sepsis and meningitis; its reported incidence is 0.5 to 3.7 per 1000 live births.1 Neonatal sepsis may be categorized as early or late onset. The incidence of early-onset disease is 2 to 4 per 1000 live births.1 Early-onset sepsis occurs in neonates aged 5 days or younger and usually presents as pneumonia and septicemia. Acquisition of GBS infection in this age-group is from the maternal genital tract in utero or during passage through the birth canal.2 The incidence of late-onset sepsis is 1 to 2 per 1000 live births.1 It typically presents as meningitis after the first week of life and is not often associated with maternal obstetrical complications.2 GBS infection usually occurs as an isolated illness characterized by the absence of antecedent obstetric or perinatal complications and the presence of more specific signs of meningitis (eg, fever, lethargy, seizures).3 Acute hydrocephalus as a sequela of GBS infection has been described in 6 of 74 patients with meningitis.1
Physiology. Postinfectious hydrocephalus is secondary to purulent exudates from the meninges and ependymal surfaces of the ventricles, perivascular inflammation, and brain edema. Pus may accumulate in significant quantities in the sulci, subarachnoid space, and basal cisterns. These exudates and adhesions can impede the flow of CSF through the narrowest points of the ventricular system-such as the Monro foramen, aqueduct, and foramina of the 4th ventricle-or impair the absorption of the CSF by inflamed arachnoid villi. When the fontanelles are open, exudates can accumulate without increasing intracranial pressure. GBS infection initiates a cascade of molecular and biological events that lead to impaired cerebral perfusion, disruption of the blood-brain barrier, edema, intracranial hypertension, and cell death.
Clinical presentation. In one study, 90% of neonates with GBS meningitis and neurological sequelae presented with lethargy and fever.1 The patient presented here was afebrile with increased OFC and ultrasonographic evidence of hydrocephalus. We assumed that the presence of ventriculitis and synechiae induced by the GBS meningitis resulted in an obstructive hydrocephalus at the level of the Monro foramen. Previous reports of GBS ventriculitis describe initial presentations with obstructive hydrocephalus or septation formation,4 suggesting that ventriculitis may occur as a primary process.
Evaluation. Cranial ultrasonography is an excellent imaging modality in the initial evaluation of infants with suspected meningitis and the associated complications. Serial ultrasonograms are helpful in monitoring the patient’s response to treatment. Obtaining MRI and contrast-enhanced CT studies during management is also helpful, because they provide better soft tissue resolution and visualization of the posterior fossa and can detect small extra-axial fluid collections, which may be missed on cranial ultrasonography.5
Treatment. The recommended treatment of GBS infection is benzylpenicillin, either alone or in combination with an aminoglycoside2-which is how this patient was treated. In most cases reported to date, patients who received intravenous antibiotics at presentation ultimately required placement of a ventriculoperitoneal shunt because of progression of obstructive hydrocephalus; in some patients, antibiotic treatment failed because of the development of intraventricular loculations.4 Spontaneous resolution of acute hydrocephalus secondary to intraventricular hemorrhage without aspiration of CSF has been reported.6
OUTCOME IN THIS CASE
The atypical clinical presentation and spontaneous resolution of hydrocephalus in this premature infant was unique in that she was treated at birth with a 10-day course of antibiotics and presented with GBS meningitis at an adjusted gestational age of 36 weeks. The infant's head circumference remained stable throughout her hospitalization. Thus, ventriculoperitoneal shunt placement was unnecessary. Since discharge, she has been well and developing normally. At 9-month follow-up, she was developmentally appropriate for an infant aged 6.5 months (adjusted gestational age), with a weight of 3.8 kg (50th percentile) and OFC of 36.2 cm (50th to 75th percentile).
REFERENCES:
1. Srinivasan L, Ramanan R. Hydrocephalus secondary to group B streptococcal meningitis. J Matern Fetal Neonatal Med. 2004;16:67-68.
2. Mulder CJ, Zanen HC. Neonatal group B streptococcal meningitis. Arch Dis Child. 1984;59:439-443.
3. Neonatal Meningitis: Infections in Neonates: Merck Manual Professional.http://www.merck.com/mmpe/sec19/ch279/chch279k.html. Accessed December 14, 2010.
4. Miyairi I, Causey KT, DeVincenzo JP, Buckingham SC. Group B streptococcal ventriculitis: a report of three cases and literature review. Pediatr Neurol. 2006;34:395-399.
5. Yikilmaz A, Taylor GA. Sonographic findings in bacterial meningitis in neonates and young infants. Pediatr Radiol. 2008;38:129-137.
6. Abubacker M, Bosma JJ, Mallucci CL, May PL. Spontaneous resolution of acute obstructive hydrocephalus in the neonate. Childs Nerv Syst. 2001;17:182-184.
Access practical, evidence-based guidance to support better care for our youngest patients. Join our email list for the latest clinical updates.