A 10-year-old boy presents to your office with sharp right-sided flank pain. The pain began the night before, and the child could produce only a few drops of urine the next morning.

THE CASE: A 10-year-old boy presents to your office with sharp right-sided flank pain. The pain began the night before, and the child could produce only a few drops of urine the next morning. Ten days earlier, he had several episodes of vomiting and diarrhea, which resolved within 3 days. Seven days before presentation, he had 1 episode of dark brown urine. He has had no fever, chills, sore throat, dysuria, frequency, abdominal pain, scrotal swelling or pain, or rash. He denies recent trauma and medication use.
Medical history is significant for surgical removal of a right undescended testicle. The child’s growth has been below the 3rd percentile. He has no history of urinary tract infections (UTIs) or kidney disease or any family history of genitourinary problems.
The child appears well and comfortable. He is afebrile. Blood pressure, heart rate, and respiration rate are normal. The abdomen is soft and nontender. No peritoneal signs, hepatosplenomegaly, or mass is noted. Percussion demonstrates moderate right costovertebral angle tenderness. External genital findings are otherwise normal. The boy is Tanner stage II. A clean catch urine reveals 30 to 100 red blood cells and 0 to 2 white blood cells.
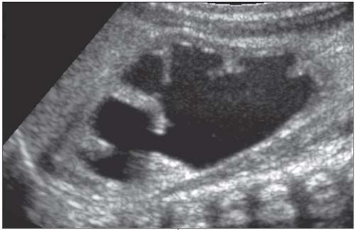
A complete blood cell count with differential shows no leukocytosis or left shift, and no anemia or thrombocytopenia. A basic metabolic panel reveals normal blood urea nitrogen, creatinine, and electrolyte levels. A renal ultrasonogram is shown.
What do you suspect is the cause of this child’s symptoms?
•Urinary tract infection
•IgA nephropathy
•Megaureter
•Nephrolithiasis
•Ureteropelvic junction obstruction
(Answer and discussion begin on the next page.)

Answer: Ureteropelvic junction obstruction
DISCUSSION: Ureteropelvic junction (UPJ) obstruction is most commonly diagnosed during the postnatal evaluation of antenatal hydronephrosis. However, in the absence of maternal ultrasonography screening, newborns may present with a palpable abdominal mass caused by an enlarged obstructed kidney. Other presentations include UTI, renal failure, hematuria, and failure to thrive.
Clinical manifestations in older children include intermittent flank or abdominal pain. The pain may worsen during brisk diuresis. These symptoms may be accompanied by nausea and vomiting, leading to an evaluation of the GI tract. Children may also present with renal injury after an episode of minor trauma, hematuria, renal calculi, or hypertension. About 60% of UPJ obstructions occur on the left side (10% are bilateral); the male to female ratio is 2:1.
In children with abdominal pain and suspected UPJ obstruction, ultrasonography during an acute painful episode demonstrates the abnormality (Figure); the findings are often normal when the pain subsides. In kidneys with UPJ obstruction, renal function may be significantly impaired from pressure atrophy.
Symptomatic patients require surgery to relieve the obstruction. The anomaly is corrected with pyeloplasty, in which a stenotic segment is excised and the normal ureter and renal pelvis are reattached. Success rates are 91% to 98%. Lesser degrees of UPJ obstruction may cause mild hydronephrosis, and kidney function is typically normal. Treating asymptomatic patients is a challenge because the natural course of UPJ obstruction is variable. Many patients have reduced hydronephrosis during long periods of observation; however, others have deterioration of their renal function and benefit from surgical correction. Asymptomatic patients with unilateral UPJ obstruction and a split renal function greater than 40% of the affected kidney can be monitored with serial ultrasonography and diuretic renography. Indications for surgery include increasing hydronephrosis and a decrease in split renal function less than 40%, or a serial loss greater than 10% in subsequent studies; the development of symptoms; massive hydronephrosis with a renal pelvic diameter greater than 50 mm; and/or parental preference. The patient described here was symptomatic and therefore required surgery.
DIFFERENTIAL DIAGNOSISNephrolithiasis can occur at any age and may cause symptoms of renal colic, manifested as intense, episodic flank pain often radiating to the groin. In young infants, such pain may manifest as generalized irritability or abdominal pain. Hematuria, which has been reported in 28% of patients with nephrolithiasis, may begin abruptly without a previous history of hematuria. The physical examination findings may be unrevealing, and the child’s urine may contain crystals, in addition to red blood cells. A family history of stone disease is present in up to 70% of children with hypercalciuria.
Hypercalciuria is the most common metabolic abnormality associated with pediatric urinary calculi. It is identified as the major contributing factor in at least half of the children with a metabolic cause of nephrolithiasis. Hypercalciuria is defined as a urinary calcium excretion rate of greater than 4 mg/kg/24 h in a child older than 2 years while ingesting a routine diet. Case series of pediatric nephrolithiasis have detected hyperoxaluria (defined as a urinary oxalate excretion rate of greater than 50 mg/1.73 m2/24 h) in 10% to 20% of children. Idiopathic hyperoxaluria is the most commonly diagnosed cause in children with oxalate stones. Children with nephrolithiasis may have UTI or a history of UTI (in 25% of patients). Infection may be the primary cause of the stones, or it can occur concomitantly with the underlying urinary metabolic abnormality. If a stone is suspected, renal and bladder ultrasonograms should be obtained.
Urinary tract infection may present with nonspecific symptoms and signs, particularly in infants and young children. In children younger than 2 years, a history of UTI, temperature greater than 40°C (104°F), suprapubic tenderness, and lack of circumcision are most helpful for identifying UTI.
Symptoms of UTI in older children may include fever, dysuria, urgency, frequency, incontinence, macroscopic hematuria, and abdominal pain. Occasionally, older children may present with short stature, poor weight gain, or hypertension secondary to renal scarring from unrecognized UTI earlier in childhood. Suprapubic tenderness and costovertebral angle tenderness may be appreciated during the examination of older children with UTI. Important aspects of the physical examination include documentation of blood pressure, temperature, growth parameters, and abdominal findings (eg, tenderness or mass).
IgA nephropathy is probably the most common cause of glomerulonephritis, and patients typically present with hematuria. About 40% to 50% of patients present with 1 occurrence or recurrent episodes of gross hematuria usually after an upper respiratory tract infection or bacterial tonsillitis. Patients may complain of flank pain during acute episodes and low-grade fever may be present. These features can mimic UTI or urolithiasis. Another 30% to 40% have microscopic hematuria and usually mild proteinuria, although gross hematuria eventually occurs in 20% to 25% of these patients. Fewer than 10% of patients present with either nephrotic syndrome or acute, rapidly progressive glomerulonephritis characterized by edema, hypertension, renal insufficiency, and hematuria. There is a male predominance, with a peak incidence in late childhood and early adult life. Gross hematuria appears within 3 days after an upper respiratory tract infection. Between episodes, the urine may be free of blood or may show microscopic hematuria. No pathognomonic laboratory test exists for IgA nephropathy; however, the serum IgA concentration may be increased during episodes of gross hematuria. The diagnosis can be made with certainty only with renal biopsy.
Megaureters are usually identified by screening ultrasonography of the kidneys and bladder after prenatal diagnosis of hydronephrosis or postnatal UTI, hematuria, or abdominal pain. The primary obstructed nonrefluxing megaureter results from abnormal development of the distal ureter, in which the muscle layer is replaced with collagenous tissue. Normal ureteral peristalsis is disrupted, and the proximal ureter widens. Usually there is no true stricture. Dilatation of the upper collecting system and calyceal blunting are suggestive of obstruction. Megaureter predisposes to UTI, urinary stones, and flank pain because of urinary stasis. In most cases, diuresis renography and sequential sonographic studies can reliably differentiate obstructed from nonobstructed megaureters.
FOR MORE INFORMATION:
• Behrman RE, Kliegman RM, Jenson HB, eds. Nelson Textbook of Pediatrics.16th ed. Philadelphia: WB Saunders; 2000:1579-1580, 1621-1625, 1630-1633,1634-1635, 1656, 1658.
• Kliegman RM, Neider I, Super DM, eds. Practical Strategies in PediatricDiagnosis and Therapy. Philadelphia: WB Saunders; 1996:259, 320, 399-414,428-429.
Access practical, evidence-based guidance to support better care for our youngest patients. Join our email list for the latest clinical updates.