A 2-month-old girl who lost 30 g over 7 days is noted to have multiple hepatic masses during abdominal ultrasonography to rule out pyloric stenosis; she is referred for further evaluation. She has a history of physiological jaundice and gastroesophageal reflux (GER). She continues to vomit despite treatment with ranitidine.

A 2-month-old girl who lost 30 g over 7 days is noted to have multiple hepatic masses during abdominal ultrasonography to rule out pyloric stenosis; she is referred for further evaluation. She has a history of physiological jaundice and gastroesophageal reflux (GER). She continues to vomit despite treatment with ranitidine.
The infant was born at 36 weeks’ gestation via spontaneous vaginal delivery to an 18-year-old gravida 1, para 1 mother. Weight was 2.64 kg. The pregnancy was complicated by preeclampsia at 34 weeks’ gestation, a urinary tract infection treated with nitrofurantoin, and a yeast infection treated with miconazole. The mother denied use of alcohol, tobacco, and drugs during pregnancy, and she had no history of sexually transmitted diseases. Prenatal care was adequate. The neonatal course was uneventful. The infant has been to all of her wellchild visits. She has no drug allergies. She does not attend day care. There are no pets or smokers in the home. Two-month vaccinations are due.
The mother has a history of asthma and GER. The maternal family history is significant for infant and childhood seizures without development of epilepsy. The paternal family history is noncontributory.
The infant is proportionately small; her weight, height, and head circumference are 3.20 kg (less than the third percentile), 52 cm (third percentile), and 35 cm (less than the third percentile), respectively. Vital signs are normal. Bowel sounds are active; there is no abdominal distention and no masses, hepatosplenomegaly, or hepatic bruits. Review of systems is negative.

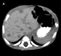
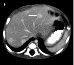
A complete blood cell count with differential, and electrolyte and liver enzyme levels are normal. CT scans of the abdomen without (A) and with (B) contrast show multiple solid hypoattenuated lesions in both lobes; the largest lesion (arrow), of 11 mm, in hepatic segment VI significantly enhances with intravenous contrast.
What is the most likely explanation for these findings?
(Answer and discussion begin on next page.)
In a patient younger than 6 months who has multiple liver lesions and a normal serum α1-fetoprotein level, the most likely diagnosis is hemangioendothelioma. This hepatic tumor is composed of narrowed vascular channels lined by a single or multiple layers of endothelial cells. One-third of cases are diagnosed within the first month of life; there is a slight female predominance. Hemangioendotheliomas are large, frequently multiple, and often hemodynamically significant. Because of this, complications associated with heart failure (HF) commonly cause significant morbidity and mortality. The lesion is usually benign in children; however, malignant transformation to angiosarcoma may rarely occur.1,2
CLINICAL MANIFESTATIONS
Hemangioendotheliomas most frequently present as an asymptomatic abdominal mass or hepatomegaly. Often they are found incidentally during a routine physical examination. Common symptoms include abdominal pain, anorexia, weight loss, emesis, diarrhea, and nonpruritic or pruritic jaundice-if tumor growth causes impedance of bile flow. Large hemangioendotheliomas or vascular or mesenchymal hamartomas may present as hepatomegaly and HF secondary to significant arteriovenous shunting.
Other findings may include cutaneous lesions or lesions at other sites, including the trachea, lung, GI tract, spleen, thymus, pancreas, and meninges; a hepatic bruit; anemia (usually normochromic and normocytic); obstructive jaundice; and, rarely, hemoperitoneum from rupture of the hepatic tumor. A bleeding diathesis from platelet sequestration by the tumor or from disseminated intravascular coagulopathy (Kasabach-Merritt syndrome) can occur, although this is more commonly associated with vascular tumors of the trunk or extremities.2DIFFERENTIAL DIAGNOSIS
Liver cancers are uncommon in children and account for only 1.1% of malignancies in children and adolescents younger than 20 years, with an annual incidence rate of 1.5 per million.3 However, primary liver tumors represent the third largest group of abdominal neoplasms in children. One-third of these tumors are benign, the most common being mesenchymal hamartomas, hemangioendotheliomas, and hemangiomas. Malignant tumors include hepatoblastoma, hepatocellular carcinoma, and hepatic metastases (such as Wilms tumor, stage IV neuroblastoma, leukemia, and histiocytosis). Hepatoblastoma almost always occurs in children younger than 3 years, whereas hepatocellular carcinoma is more common in older children.4EVALUATION AND WORKUP History. A history of pathological hyperbilirubinemia after 2 weeks of age requires rapid assessment to rule out extrahepatic biliary atresia. A family history of early infant death or hepatic, neurodegenerative, or psychiatric disease suggests a metabolic etiology.
Risk factors for pathological hyperbilirubinemia include maternal injection drug use, maternal infections (eg, hepatitis B; toxoplasmosis; syphilis; rubella; herpes simplex; and cytomegalovirus, enterovirus, and HIV infections), perinatally acquired infections, and previous blood transfusions. A prenatal history of Rh or ABO incompatibility suggests isoimmunization and hemolysis as the cause of hepatomegaly. A history of an umbilical catheter increases the risk of hepatic abscess. Although the urinary tract infection and yeast infection the mother had during pregnancy may have contributed to this infant’s jaundice, it is unlikely that they increased the risk of hemangioendothelioma.
Physical examination. Focus the physical examination on any abdominal masses, organomegaly, or bruits over the liver. Note any signs of HF and cutaneous lesions. If a developmental delay is detected, consider other conditions, such as metabolic disorders, as the cause of the pathological jaundice.
Laboratory testing. Testing should include a complete blood cell count and measurement of electrolyte and liver enzyme levels. Work up carefully any elevations in liver enzyme levels. Other tests may include levels of serum α1-fetoprotein, serum ferritin, and descarboxyprothrombin to help identify hepatoblastoma and hepatocellular carcinoma.
Imaging. Several radiological imaging techniques can be used to diagnose liver masses. Ultrasonography is especially useful for delineation of cystic lesions and for guidance of fine-needle aspiration. CT with and without contrast is helpful for identification of lesions that are exceptionally small or difficult to assess by ultrasonography, for documentation of metastases, and for preoperative evaluation of vascular involvement. Magnetic resonance angiography is becoming the best noninvasive way of imaging tumor vascularity and potential encroachment on hepatic vessels. Therapeutic angiography can be used to selectively embolize vessels that supply a hemangioendothelioma.2TREATMENT AND PROGNOSIS
The natural history of neonatal hemangioendotheliomas is similar to that of cutaneous hemangiomas- the lesions proliferate for the infant’s first 6 months of life and then spontaneously regress.1 Treatment is unnecessary in an asymptomatic child (as in this case). Although this infant did have weight loss and emesis- common features of hemangioendotheliomas-we believe these were caused by her severe GER because they resolved with aggressive GER treatment. Followup imaging studies are recommended in all diagnosed cases of hemangioendotheliomas to evaluate tumor progression.
Several treatment options are available for symptomatic patients. Prednisone accelerates lesion regression through an unknown process; however, the benefit of corticosteroid treatment must outweigh the risks to infants. Other options may include embolization therapy for multifocal, unresectable lesions; radiation and chemotherapy in certain cases; and liver transplant in those with diffuse tumor involvement or uncontrolled HF.1
Asymptomatic patients typically fare well. Survival rates in complicated cases vary from 32% to 75%.5 The prognosis is worse in children who have HF or thrombocytopenia.5
REFERENCES:
1.
Weinberg AG, Finegold MJ. Primary hepatic tumors of childhood.
Hum Pathol.
1983;14:512-537.
2.
Selby DM, Stocker JT, Ishak KG. Angiosarcoma of the liver in childhood: a clinicopathologic and follow-up study of 10 cases.
Pediatr Pathol.
1992;12:485-498.
3.
Bulterys M, Goodman MT, Smith MA, Buckley JD. Hepatic tumors. In: Ries LA, Smith MA, Gurney JG, et al, eds.
Cancer Incidence and Survival Among Children and Adolescents: United States SEER Program 1975-1995.
National Cancer Institute, SEER Program. Bethesda, MD: National Institutes of Health; 1999. NIH publication 99-4649.
4.
Lavine JE. Pediatric liver disease. In: Friedman SL, McQuaid KR, Grendell JH, eds.
Current Diagnosis & Treatment in Gastroenterology.
2nd ed. New York: Lang Medical Books/McGraw-Hill; 2003:736-757.
5.
Keslar PJ, Buck JL, Selby DM. From the archives of the AFIP. Infantile hemangioendothelioma of the liver revisited.
Radiographics.
1993;13:657-670.
Access practical, evidence-based guidance to support better care for our youngest patients. Join our email list for the latest clinical updates.