
A 14-year-old boy presented with abdominal pain and vomiting of 3 day’s duration. The abdominal pain was dull, aching, generalized, and made worse by movement. Vomit was described as bilious with a total of 10 episodes over 3 days. The boy had had no bowel movement for 5 days. He denied fever, trauma, previous episodes of abdominal pain, or surgeries.
The patient’s temperature was 36.9°C (98°F); heart rate, 100 beats/min; respiratory rate, 20 breaths/ min; and blood pressure, 111/78 mm Hg. He appeared to be well nourished but was severely dehydrated, with sunken eyes and dry mucous membranes. The abdomen was distended, rigid, and diffusely tender, with normal bowel sounds and no organomegaly.
 

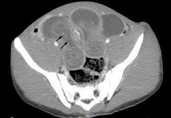
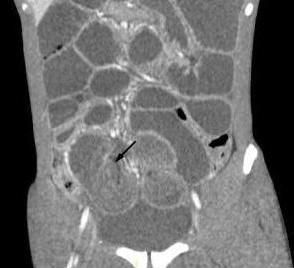
A CT scan of the abdominopelvic region was obtained to rule out bowel obstruction. An axial CT image showed significant distention of the distal ileal loops with concentric alternating rings of high and low attenuation and swirling of the mesenteric fat and mesenteric vessels (Figure 1, above). Figure 2 (left) shows the intussusceptum (arrows), with an accompanying complex of mesenteric fat and blood vessels, surrounded by the thick-walled intussuscipiens. Surgery was performed to prevent vascular compromise and bowel necrosis. Operative findings revealed ileal intussusception and intestinal necrosis secondary to an invaginated Meckel’s diverticulum. Postopertaively, the patient did well without any complications.
Discussion 
Intussusception is common in infants (the incidence is 56 per 100,000).1 Prevalence declines after 1 year of age; the condition is uncommon in children 5 years and older.2 The characteristic triad of presenting symptoms in infants and younger children-cramping abdominal pain, bloody diarrhea, and a palpable tender mass-is less consistent among adolescents, which poses a diagnostic and treatment dilemma.
Intussusception in children older than age 5 years should raise suspicion for pathologic lead points such as adhesions, polyps, lymphoma, or Meckel's diverticulum, which was seen in our patient.
Meckel’s diverticulum is the result of an incomplete closure of the intestinal end of the omphalomesenteric duct. It is the most common congenital GI anomaly, found in 2% of the population.3 It usually is asymptomatic but can rarely cause complications such as GI bleeding, diverticulitis, and intestinal obstruction secondary to intussusception or a volvulus. A Meckel diverticulum can serve as a lead point for an ileoileal or ileocolic intussusception by invaginating or inverting into the lumen of the small intestine.
Ultrasonography is the diagnostic imaging method of choice. Abdominal ultrasound has emerged as a sensitive and diagnostic tool for the evaluation of infants and children with suspected intussusception. In skilled hands, ultrasound has high sensitivity of 98% to100% and specificity of 88% to 100% for the diagnosis of intussusception.4 It can also detect pathologic lead points and avoids radiation exposure.
CT usually reveals a bowel-within-bowel configuration, with mesenteric fat and mesenteric vessels- a clinical picture pathognomonic for intussusception (Figure 2). CT imaging is useful in the diagnosis of intestinal obstruction, but it is not helpful in determining the cause of intussusception, because the lead point is often small and hidden within the intussusceptum.5
Intussusception is usually managed with air contrast/water soluble enema reduction, a procedure with a success rate of 80% to 95%.6,7 Surgery is indicated if reduction is unsuccessful; for patients who have a persistent filling defect; or for patients whose condition suggests bowel necrosis or perforation.
Teaching Points 
• Clinicians must be vigilant in considering intussusception as a potential cause for intestinal obstruction in children of all ages. 
• The diagnosis of intussusception is often a challenge to emergency physicians because most patients present with nonspecific signs and symptoms.
• The index of suspicion should be particularly high in older children who often have pathologic lead points and atypical presentations: delayed diagnosis can lead to ischemic complications.
References
1. Parashar UD, Holman RC, Cummings KC, et al. Trends in intussusception-associated hospitalizations and deaths among US infants. Pediatrics. 2000;106:1413â1421.
2. Fleisher GR, Ludwig S, eds. Textbook of Pediatric Emergency Medicine. 6th ed. Philadelphia:Lippincott Williams & Wilkins; 2010:1517-1519.
3. Turgeon DK, Barnett JL. Meckel's diverticulum. Am J Gastroenterol. 1990;85:777â781.
4. Wassem M, Rosenberg HK. Intussusception. Pediatr Emerg Care. 2008;24:793-800.
5. Gayer G, Apter S, Hofmann C, et al. Intussusception in adults: CT diagnosis. Clin Radiol. 1998;53:53â57.
6. Bai YZ, Qu RB, Wang GD, et al. Ultrasound-guided hydrostatic reduction of intussusceptions by saline enema: a review of 5218 cases in 17 years. Am J Surg. 2006;192:273-275.
7. van den Ende ED, Allema JH, Hazebroek FW, Breslau PJ. Success with hydrostatic reduction of intussusception in relation to duration of symptoms. Arch Dis Child. 2005;90:1071-1072.
Access practical, evidence-based guidance to support better care for our youngest patients. Join our email list for the latest clinical updates.