
Nirupama Kannikeswaran, MD
Articles by Nirupama Kannikeswaran, MD


A 13-year-old boy was brought to the emergency department (ED) with a generalized itchy rash of 2 days' duration. For the past 3 days, he had dry, itchy eyes with a purulent discharge (Figure 1) and nonbilious emesis 2 or 3 times per day, with some blood streaks in the vomitus on the third day of illness.

A 4-day-old girl was brought to the emergency department (ED) for evaluation of a copious discharge from the right eye with associated swelling and redness of the eyelid (Figure 1). The discharge began 2 days earlier and had become profuse and yellow-green. Chemosis and injection of the conjunctiva of the right eye were also noted (Figure 2).
Latest Updated Articles
Gonococcal ConjunctivitisPublished: June 2nd 2008 | Updated:
Stevens-Johnson SyndromePublished: December 1st 2008 | Updated:
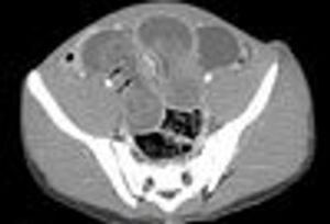
Intussusception: A Challenging Diagnosis in AdolescencePublished: December 21st 2011 | Updated:
