
Cardiovascular Diseases
Latest News

Latest Videos
CME Content
More News


"The greatest risk reductions were demonstrated in those who experienced obesity remission during childhood," stated study authors.

The use of pulse oximetry screening for asymptomatic newborns at or around 24 hours of life helps identify at-risk infants.

Findings indicate that chronically high stress markers could have a role in the development of EF impairments in early adolescents with cCHD.

A recent study suggests that high ultraprocessed food consumption in preschool children is linked to increased cardiometabolic risk factors.

Children with hypertension were at an increased risk of stroke, congestive heart failure, and other major adverse cardiac events compared to non-hypertensive individuals.

Even 6 years after publication, the investigative team stated it is unknown if the recommendations have led to changes in primary care.

“These findings suggest that primordial and primary interventions to prevent and reduce elevated childhood non–HDL-C levels may help prevent premature CVD," wrote the study authors.

A study revealed that higher maternal folic acid levels and frequent supplementation during pregnancy can significantly lower the risk of Kawasaki disease in infants, highlighting the potential protective role of folic acid.

In a study that measured blood pressure (BP) in multiple stages of life until young adulthood, investigators concluded that lower BP levels early in life, maintained through young adulthood, could reduce the risk of cardiovascular disease (CVD).

A systematic review and meta-analysis of nearly 3 dozen published articles details the apparent increase in risk of cardiovascular disease and diabetes associated with a diagnosis of autism.

A recent study found that the risk of cardiovascular diseases was not significantly greater in patients taking medications for attention-deficit/hyperactivity disorder (ADHD), but investigators were not able to rule out a mild risk increase.

They also found no statistically significant associations found for specific cardiovascular outcomes in relation to cardiac arrest or arrhythmias, cerebrovascular diseases, or myocardial infarction.

Data from the DANish LIFE course cohort indicated that individuals with high adversity in childhood were at a greater risk of developing cardiovascular diseases than those with low adversity.

Less severe cases of homozygous familial hypercholesterolemia often go undiagnosed and untreated, according to data presented at the AAP National Conference & Exhibition in Anaheim, California from October 7-11.

Both higher fetal and infant weight growth patterns are linked to early markers of impaired arterial health, according to a study published in JAMA Network Open.

Based on an investigation of associations between patterns of growth in infant weight and adult-onset coronary heart disease, the answer seems to be no.

Obstructive sleep apnea has previously been associated with pulmonary hypertension in literature, with investigators citing a “complex and bidirectional relationship” between the 2 conditions.

A female aged 13 years with morbid obesity and recent hospitalization for pyelonephritis presents with abdominal pain, tachycardia, and shortness of breath. What's the diagnosis?

A research letter offers some of the first data on the long-term outcomes of the first children diagnosed with multisystem inflammatory syndrome in children (MIS-C).

Children with certain conditions are living years or decades longer than they previously could, thanks to medical advances. A new investigation looks at the long-reaching impact of congenital heart surgery.

Adverse events in childhood have a lifelong impact. A new study provides more evidence of negative cardiovascular outcomes.

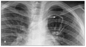
The imaging studies shown are from 2 children with cancer who underwent placement of 9.6 French left subclavian central venous catheters (CVCs) to facilitate treatment. Fracture of the catheters with subsequent embolization of the distal fragment to the pulmonary arteries was noted at about 18 months after placement. Findings suggestive of impending fracture were missed in previous radiographs. In both cases, an interventional radiologist removed the fragment via percutaneous catheterization of the right femoral vein.

An otherwise healthy female infant presented at birth with a lesion on the left side of the face that involved the frontotemporal scalp, periocular area, nose, and upper lip (A). She was born at term via spontaneous vaginal delivery after an uncomplicated gestation. The initial clinical impression was that of a port-wine stain associated with Sturge-Weber syndrome.

A 2-year-old girl was seen by her pediatrician because of a 3-day history of runny nose, cough, congestion, and low-grade fevers. A viral upper respiratory tract infection was diagnosed and supportive care was recommended. The child returned 2 days later with persistent cough, mild tachypnea, and an episode of vomiting. The cough and tachypnea prompted the pediatrician to order a chest film, which revealed an enlarged cardiac silhouette.














