
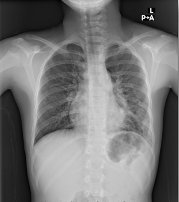
Pneumonia
Latest News

Latest Videos
CME Content
More News

Investigators asked the children’s parents about the history of musculoskeletal-related disease, observed the children’s gait, and performed physical examinations.

Merck has released promising topline results from their study of VAXNEUVANCE™, a 15-valent pneumococcal conjugate vaccine, in infants.

The location where care is received can impact how medication is prescribed. A report examines how location impacts care for pneumonia and sinusitis.

Pneumonia is one of the most common conditions encountered by primary care providers. Certain organisms cause pneumonia in particular age groups. For example, group B streptococci, Gram-negative bacilli Escherichia coli in particular) and, rarely, Listeria monocytogenes cause pneumonia in neonates. In infants younger than 3 months, group B streptococci and organisms encountered by older children occasionally cause pneumonia, as does Chlamydia trachomatis. Older infants and preschoolers are at risk for infection with Streptococcus pneumoniae and Haemophilus influenzae. In children older than 5 years, S pneumoniae and Mycoplasma pneumoniae are the key pathogens. Let the patient's age, history, clinical presentation, and radiographic findings guide your choice of therapy. Even though most patients with uncomplicated pneumonia can be treated as outpatients, close follow-up is important. Hospitalize patients younger than 6 months and those with complications.













