A previously healthy 16-year-old female patient presents with intermittent pleuritic chest pain and shortness of breath. The night before her symptoms started, she hit her chest on a door after a "fainting" episode.
The case
A previously healthy 16-year-old female patient presented to our institution with intermittent pleuritic chest pain and shortness of breath. Her symptoms began with chest pain 2 days earlier. The pain was worsened by movement and breathing. She did not have any cough but did have shortness of breath that began with the chest pain. Review of systems was negative for fever, chills, night sweats, and weight loss. There was no recent trauma, with the exception of hitting her chest on a door after “fainting” the night before her pain developed. She had no known history of smoking but said she vaped “a lot” in the past but “quit” 3 weeks prior to the start of the pain. The patient had no history of drug use. Medical history included posttraumatic stress disorder, asthma, bipolar disorder, and multiple personality disorder. Her medications included lithium, 300 mg twice daily; prazosin, 1 mg daily; and albuterol metered-dose inhaler, 2 puffs, as needed. The patient had no personal or family history of cancer.
In the emergency department, her temperature was 36.7 °C; heart rate was 90 beats per minute (min); respiratory rate, 18 breaths/min; and blood pressure, 112/81, mm Hg. Her height was 59 inches and weight, 48 kg (body mass index, 21). Her physical exam revealed heart rate and rhythm within normal limits and normal effort in breathing, but the patient had decreased breath sounds on the left and mild tenderness to palpation on the left sternal border. The remainder of the exam was unremarkable. There was no pallor, hepatomegaly, splenomegaly, or adenopathy.
Laboratory evaluation included complete blood cell count with di fferential, D-dimer, and basic metabolic panel, all of which were within normal limits. Serum lithium level was subtherapeutic at 0.3 mg/dL. A urine drug screen was not obtained. A chest x-ray revealed a moderate to large left apical pneumothorax, unremarkable cardiomediastinal silhouette, and no consolidation or effusion.
She was placed on 2 L nasal cannula, with an oxygen saturation of 99%. No change to oxygen saturation was noted on cannula removal. The thoracic surgery department was consulted; nonoperative management of her left-sided pneumothorax was initiated with oxygen via nasal cannula.
Figure

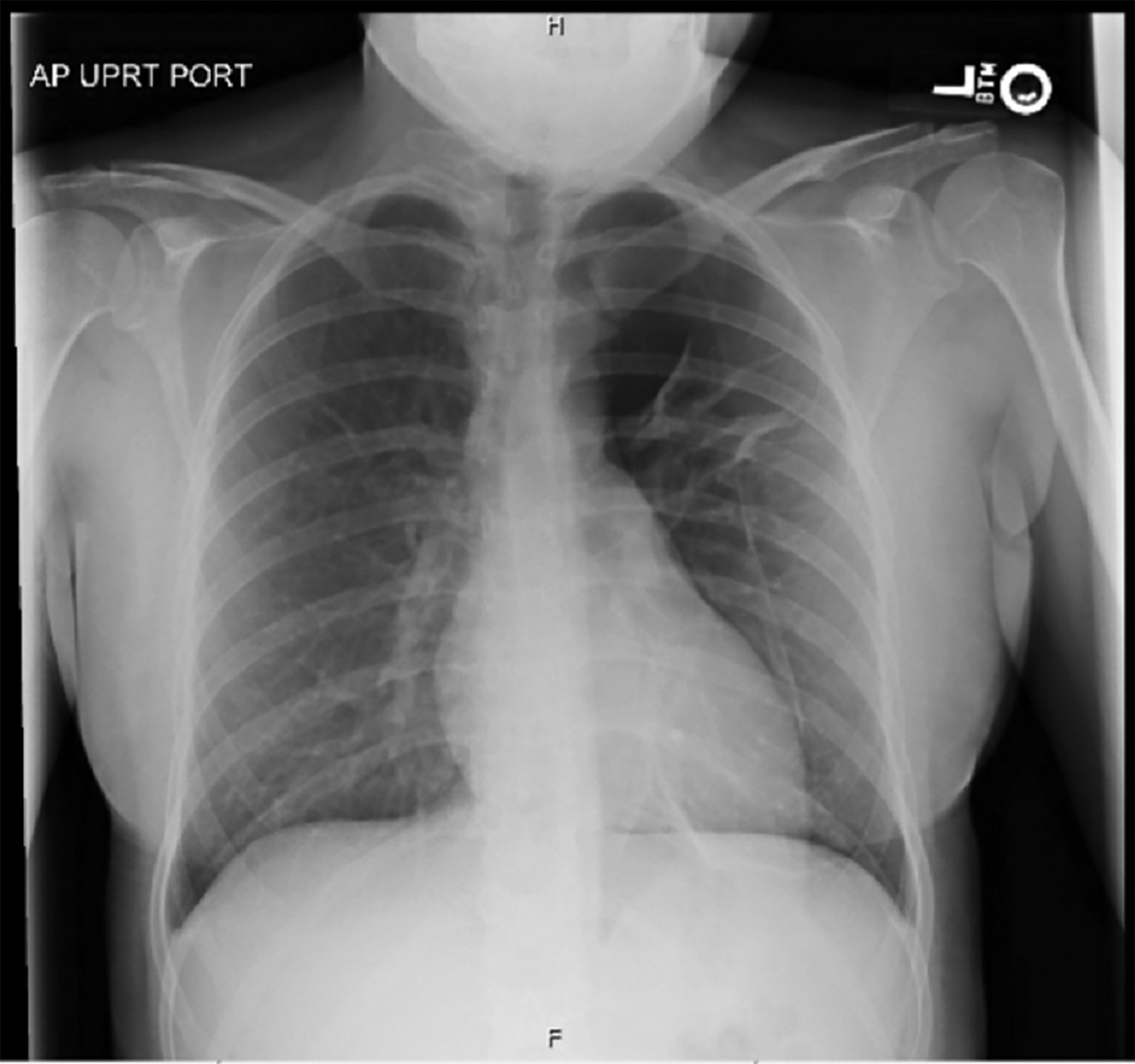
Two days after admission, the patient developed worsening pain and shortness of breath. A repeat x-ray showed the size of pneumothorax had increased (Figure). Despite a pigtail catheter chest tube placement, the pneumothorax persisted, and she required video-assisted thoracoscopic surgery (VATS) with left apical blebectomy, mechanical pleurodesis, and dual left side chest tube placement. The postoperative course was uncomplicated. Patient was discharged home on postoperative day 2 following chest tube removal. Gabapentin was added for pain control on discharge. The resected lung tissue specimen was sent for pathological examination.
Differential diagnosis
The most common cause of spontaneous pneumothorax in adolescents is secondary to a pulmonary bleb, but the differential diagnosis for pneumothorax is broad. The Table includes primary and secondary causes of pneumothorax.1-3 Our patient had 3 risk factors for development of pneumothorax: blunt trauma from her syncopal episode, vaping history, and asthma. When her pneumothorax did not resolve with placement of pigtail catheter chest tubes, the VATS procedure allowed for visualization and removal of a left apical bleb. Pathology results from the resected bleb revealed pleuropulmonary blastoma (PPB), type 1.
Table

Discussion
Pulmonary neoplasms are uncommon primary tumors and rare causes of pneumothorax in children and adolescents. PPB, a rare malignant intrathoracic tumor in children, is typically diagnosed in children younger than 6 years of age. It originates from the lungs or pleura and is classified into 3 subtypes: Type I (our patient), a purely lung cystic neoplasm with some malignant changes, usually occurs in infants and has a good prognosis; type II has both solid and cystic components, with a median age of diagnosis of 34 months; and type III, a solid neoplasm, has a median age of diagnosis of 44 months.4 Generally, PPB has a poor prognosis because of its aggressive natural history, rare nature, and high rate of misdiagnosis.5
The presentation of PPB often consists of vague symptoms, including respiratory distress, pneumothorax, dyspnea, fever, and chest pain. Early manifestations include respiratory distress because of pneumothorax in type I or dyspnea, fever, and chest pain in types II and III.6 PPB has been identified in adults with smoking history presenting with a large chest mass, fever, chest pain, and hemoptysis.7 Our patient was beyond the typical age of diagnosis for PPB, especially for type I neoplasm.
Type I tumors require surgical resection to diagnose and treat PPB. Types II and III lesions are treated with surgical resection if possible, chemotherapy and/or radiation therapy.5 The 5-year disease-free survival rate is 80% to 91% in patients with type I and less than 50% in those with types II and III.6
Patient outcome
This patient received a diagnosis of PPB after presenting with spontaneous pneumothorax. She has no prior diagnosis of cancer or other tumor. Diagnosis was only made after pathological examination of the resected lung tissue specimen. She underwent surgical resection/lobectomy of the affected area in January 2020 and was referred to pediatric oncology, but there is no record of a visit. Because of multiple moves between states, the patient’s follow-up has been inconsistent. At last report, she had undergone a follow-up computed tomography scan that revealed a residual nodule.
References
1. Zoorob RJ, Campbell JS. Acute dyspnea in the office. Am Fam Physician. Nov 2003;68(9):1803-10. Accessed: 26 Sept 2019.
2. Sahn SA, Heffner JE. Spontaneous pneumothorax. N Engl J Med. Mar 2000;342(12):868-74. doi:10.1056/NEJM200003233421207
3. Sajadi-Ernazarova KR, Martin J, Gupta N. Acute pneumothorax evaluation and treatment. StatPearls Publishing; 2020.
4. Yadav MK, Singhal M, Bhatia A, Kapoor R, Gupta N, Khandelwal N. Pleuropulmonary blastoma in adolescence: A rare tumor beyond first decade of life. Lung India. 2015;32(3):281-284. doi:10.4103/0970-2113.156255
5. Zhang N, Zeng Q, Ma X, et al. Diagnosis and treatment of pleuropulmonary blastoma in children: a single-center report of 41 cases. J Pediatr Surg. 2019:doi:10.1016/j.jpedsurg.2019.06.009
6. Mlika M, El Mezni F. Cancer, Pleuropulmonary blastoma. StatPearls Publishing; 2019.
7. Magistrelli P, D'Ambra L, Berti S, et al. Adult pulmonary blastoma: Report of an unusual malignant lung tumor. World J Clin Oncol. Dec 2014;5(5):1113-6. doi:10.5306/wjco.v5.i5.1113
Access practical, evidence-based guidance to support better care for our youngest patients. Join our email list for the latest clinical updates.