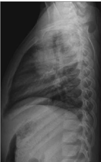
1. A 4-year-old girl was brought to the emergency department by her parents on a Sunday afternoon. Because of a clinical history of right upper quadrant pain and trace hematuria, abdominal radiographs were obtained. What do they show?

Figure

Figure
Figure
Figure
Histopathological slides (low-power, A; high-power, B)from the patient presented in case 1 showed heavy infiltrates inthe lamina propria of the esophagus consisting of lymphocyticplasma infiltrate interspersed with eosinophilic infiltrates. Normal esophageal mucosa (C) is shown for comparison

Figure

Figure

Figure

Figure

Figure
How Do You Read These Images?
1. A 4-year-old girl was brought to the emergency department by her parents on a Sunday afternoon. Because of a clinical history of right upper quadrant pain and trace hematuria, abdominal radiographs were obtained. What do they show?
A. Severe constipation.
B. Early or incomplete small-bowel obstruction.
C. Right upper quadrant calcifications.
D. Nothing . . . the findings are completely normal.
2. Based on the radiographic findings, ultrasonography of the kidneys was performed (with a peek at the gallbladder). Both the kidneys and the gallbladder were normal, without nephrolithiasis or cholelithiasis. Nevertheless, the patient still had significant right upper quadrant pain. What study would you order next?
A. CT of the abdomen.
B. An upper GI series.
C. Contrast enema, which will be diagnostic and therapeutic.
D. Other study.
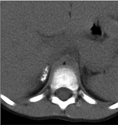
3. A limited CT scan of the upper abdomen was obtained. What are the findings in the upper abdomen?
A. Liver calcifications; consider parasitic disease.
B. Gallstones.
C. Rib fractures in various stages of healing.
D. Benign adrenal gland calcificatio
4. Do the findings on the CT images explain her symptoms, now described as "pain on the entire right side of her body"?
A. Yes.
B. No.
5. One more study was obtained. Do the images explain the patient's right upper quadrant pain?
A. Yes.
B. No.
1. What do the abdominal radiographs show? (C is the correct choice.) Coarse clustered calcifications are seen in the right renal/ suprarenal area.
The bowel gas pattern is otherwise unremarkable. There is a moderate stool volume in the descending colon and rectum- much for a 4-year-old child-although this is not extraordinary. Bowel obstruction is not depicted
.
2. Ultrasonography showed normal kidneys and gallbladder, without nephrolithiasis or cholelithiasis. What test would you order next? (A is the correct choice.)
Here the workup gets a little murky. Because the patient had right upper quadrant pain and trace hematuria, ultrasonography of the kidneys was performed in hopes that it would demonstrate the calcifications in a small adrenal gland or in the kidney-or perhaps in the gallbladder. Nephrolithiasis was thought to be less likely based on the radiographs, which demonstrate a fairly classic appearance for adrenal calcifications-an incidental finding probably resulting from a remote insult (such as a hemorrhage). However, the sonograms eliminated cholelithiasis and nephrolithiasis as possible causes of her symptoms, and we were still unable to locate the calcifications.
At this point, limited unenhanced CT of the upper abdomen was performed to characterize the calcifications once and for all.
What are the findings in the upper abdomen? (D is the correct choice.)
Whether the CT scan was absolutely necessary in this patient's case is open to debate; however, this is in fact how the saga unfolded. Indeed, in the right suprarenal fossa are dystrophic, benign-appearing calcifications scattered throughout the right adrenal gland, which is of normal contour and size. There were no renal or liver calcifications, nor were there any rib fractures. It would be unwise to rely on a CT scan to show gallstones, if they were present. CT is notoriously misleading in this regard. Because gallstones vary in composition and density, they may be present but completely inapparent on CT scans. However, we had already eliminated this possibility on the sonogram.
4. Do the findings on the CT scan explain the patient's symptoms, now described as "pain on the entire right side of her body"? (B is the correct choice.) No.
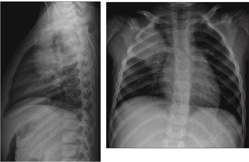
5. One more study was obtained. (Perhaps you already thought to order it, back at Question 2.) Do these images explain the patient's right upper quadrant pain? (A is the correct choice.)
The chest radiographs reveal the culprit. The patient has a dense right upper lobe infiltrate. Her pneumonia presented as acute abdominal pain-a known confounder in evaluation of a child who is ill with pneumonia. Many times this phenomenon is seen with a lower lung infiltrate, which is then detected at the upper portion of the abdominal radiographs. The films should always include the lung bases. In this child's case, the upper lobe pneumonia was just beyond the upper edge of the abdominal images. Even when we reviewed the scout image from the abdominal CT scan, the infiltrate could not be seen. (Elementary, my dear Watson!)
Access practical, evidence-based guidance to support better care for our youngest patients. Join our email list for the latest clinical updates.