A 27-month-old boy is brought by his mother to the emergency department (ED) with a 1-day history of sluggish behavior and unsteady gait. The child had been sleepy but was arousable.

A 27-month-old boy is brought by his mother to the emergency department (ED) with a 1-day history of sluggish behavior and unsteady gait. The child had been sleepy but was arousable.
In the ED, the patient's vital signs were normal. There were no other remarkable physical findings besides the ataxic gait. The patient was hospitalized for observation.
Laboratory tests showed that the complete blood cell count was normal, as were electrolyte concentrations and results of a urinalysis. Serum transaminase levels were markedly elevated. However, serum ammonia, alkaline phosphatase, and coagulation studies and hepatitis viral titers were all normal. Creatine phosphokinase levels were also elevated.
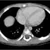
In view of these findings, a CT scan of the abdomen with contrast was done for suspected liver injury.
What diagnostic clues can you glean from the clinical history and CT scan?What diagnostic clues can you glean from the clinical history and CT scan?
(Answer and discussion begin on page 477.)
CT scans revealed a healing left posterior seventh rib fracture, which points to inflicted injury. A skeletal survey confirmed the finding of a single healing fracture of the posterior seventh rib. An ophthalmologic examination ruled out retinal hemorrhages.
The child and his sibling were removed from the custody of their parents and were placed in the care of a court-appointed guardian while the family underwent investigation for child abuse.
In the United States, approximately 1 of every 100 children is subjected to some form of neglect or abuse. Inflicted injury is responsible for approximately 1200 deaths per year.1
Virtually every type and location of fracture has been documented in abused children.1 Nearly any injury may be inflicted. Therefore, careful consideration of the nature of the injury, the child's developmental capabilities, and the history are crucial in determining the likelihood that an injury was inflicted.
Most injuries are readily detectable through imaging studies. Radiologic examination is the mainstay of evaluation of physical abuse.
RIB FACTURES
The most common abuse-related injuries are those that involve the soft tissue and those that involve the skeleton.
Rib fractures occur in older children and adults as a result of trauma (eg, falls, motor vehicle accidents). In infants without metabolic bone disease, however, fractures are distinctly unusual outside the setting of child abuse. The normal pediatric skeleton is pliable and resistant to fracture; the plasticity of a young child's skeleton and rib cage allows structures to deform rather than break--until a threshold is met.1
Rib fractures are strongly correlated with child abuse because the mechanism that generates the fractures is relatively specific (Figure). A very tight hold around an infant's chest by an adult's hands generates substantial squeezing force on the immature skeleton that may cause fractures of the anterior, lateral, and posterior aspects of the rib. Fractures of the first rib are virtually diagnostic of child abuse, because they require considerable force.
In rare cases, rib fracture (including posterior rib fracture) may be a consequence of birth trauma. All birth-related injuries reported to date have occurred in large babies (those who weigh more than 3300 g) and/or during difficult deliveries.1
A MARKER OF NONACCIDENTAL TRAUMA
A retrospective study from the Children's Hospital at the University of Colorado Health Sciences Center in Denver concluded that rib fracture--regardless of the location or number--suggests nonaccidental trauma in a child younger than 3 years.1 During that 6-year study, the authors reviewed the medical records and imaging studies of all children with rib fractures. Children without a clearly defined history of trauma or underlying disease underwent a full skeletal survey. The radiographs were reviewed by 2 independent pediatric radiologists.
A total of 336 rib fractures were identified in 78 children. Sixteen children who were older than 3 years sustained 20 rib fractures; all 16 of these children had an identified mechanism of injury that excluded nonaccidental trauma.
Sixty-two children under 3 years of age sustained 316 total rib fractures. Fifty-one of these children were identified as victims of abuse by the Child Advocacy Protection Team. The remaining 11 children had clinical or historic information that explained the fractures (eg, heart surgery; skeletal dysplasia [ie, osteogenesis imperfecta]; car accident). After those 11 children with a defined history of accident and/or disease were excluded, the positive predictive value of a rib fracture as an indicator of nonaccidental trauma was 100%.
RIB FRACTURES REVEALED
Acute rib fractures appear as linear, lucent areas across the rib. Acute rib fractures may be difficult to discern, however--especially if the fracture is incomplete, nondisplaced, or viewed in an area with many superimposed structures--or if the fracture line is oblique to the x-ray beam. With healing, however, most fractures become more visible. Subperiosteal new bone and callus become evident. Oblique chest radiography and bone scintigraphy improve the ability to detect abuse-related rib fracture.
CT scanning is a valuable adjunct. However, no studies that compare CT with established imaging modalities for the detecting of nonaccidental skeletal injury have been reported to date.1
WRAP UP
An ataxic gait in our 2-year-old patient led to a laboratory workup that revealed markedly elevated liver enzyme levels. An investigation into the cause of ultimately led to the finding of a posterior rib fracture.
As we have seen here, a rib fracture in a child younger than 3 years is highly specific for nonaccidental trauma. For this reason, pediatricians need to have a low threshold of suspicion for such trauma.
REFERENCE:
1.
Barsness KA, Cha ES, Bensard DD, et al. The positive predictive value of rib fractures as an indicator of nonaccidental trauma in children.
J Trauma.
2003; 54:1107-1110.
For More Information:
Reece RM, Ludwig S, eds. Child Abuse: Medical Diagnosis and Management. 2nd ed. Philadelphia: Lippincott Williams & Wilkins; 2001.
Access practical, evidence-based guidance to support better care for our youngest patients. Join our email list for the latest clinical updates.