A previously healthy 5-week-old former term newborn male presented to the emergency department with the chief complaint of fever ranging from 101-104°F for 2 days. He also had been fussy and not been eating well. The infant remained febrile despite his mother’s administration of Infant Tylenol every 4 hours at home. His mother denied any cough, rhinorrhea, bleeding or bruising, diarrhea, vomiting, and reported stool and urine had been normal. What's the diagnosis?
The case
A previously healthy 5-week-old former term newborn male presented to the emergency department with the chief complaint of fever ranging from 101-104°F for 2 days. He also had been fussy and not been eating well. The infant remained febrile despite his mother’s administration of Infant Tylenol every 4 hours at home. His mother denied any cough, rhinorrhea, bleeding or bruising, diarrhea, vomiting, and reported stool and urine had been normal.
Recent past medical history revealed the infant had been discharged 2 days ago after a 24-hour admission for observation following a linear skull fracture of the right parietal bone diagnosed by CT with no associated hemorrhage. These injuries were sustained after his mother fell on the stairs while carrying him. He had an additional prior admission at 9 days of age for fever which resolved after 48 hours of IV antibiotic therapy; no cause was determined as blood, urine and CSF cultures were all negative.
Family history revealed both parents have sensorineural hearing loss from nongenetic causes. The patient had received hepatitis B vaccine at birth. There was no other significant past medical history, family history or surgical history.
Evaluation and testing
On exam, the patient was nursing and appeared fussy but consolable by his mother. Temperature was 102.5°F. Head circumference, weight, and length were all in 80th percentile. Abdominal exam was somewhat difficult to perform but abdominal tenderness was suspected. There was tachycardia and palpable hepatosplenomegaly. The physical exam was otherwise within normal limits.
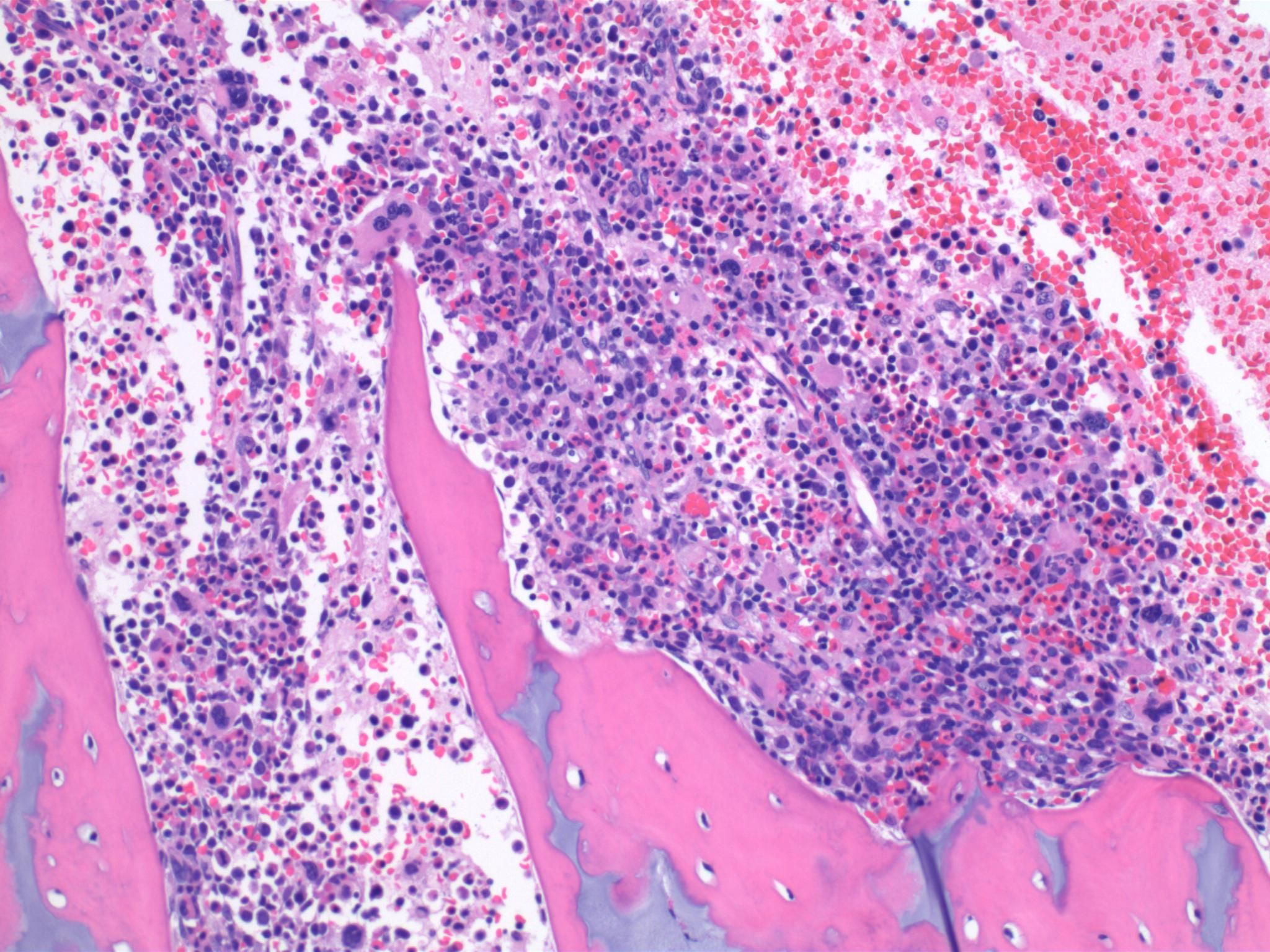
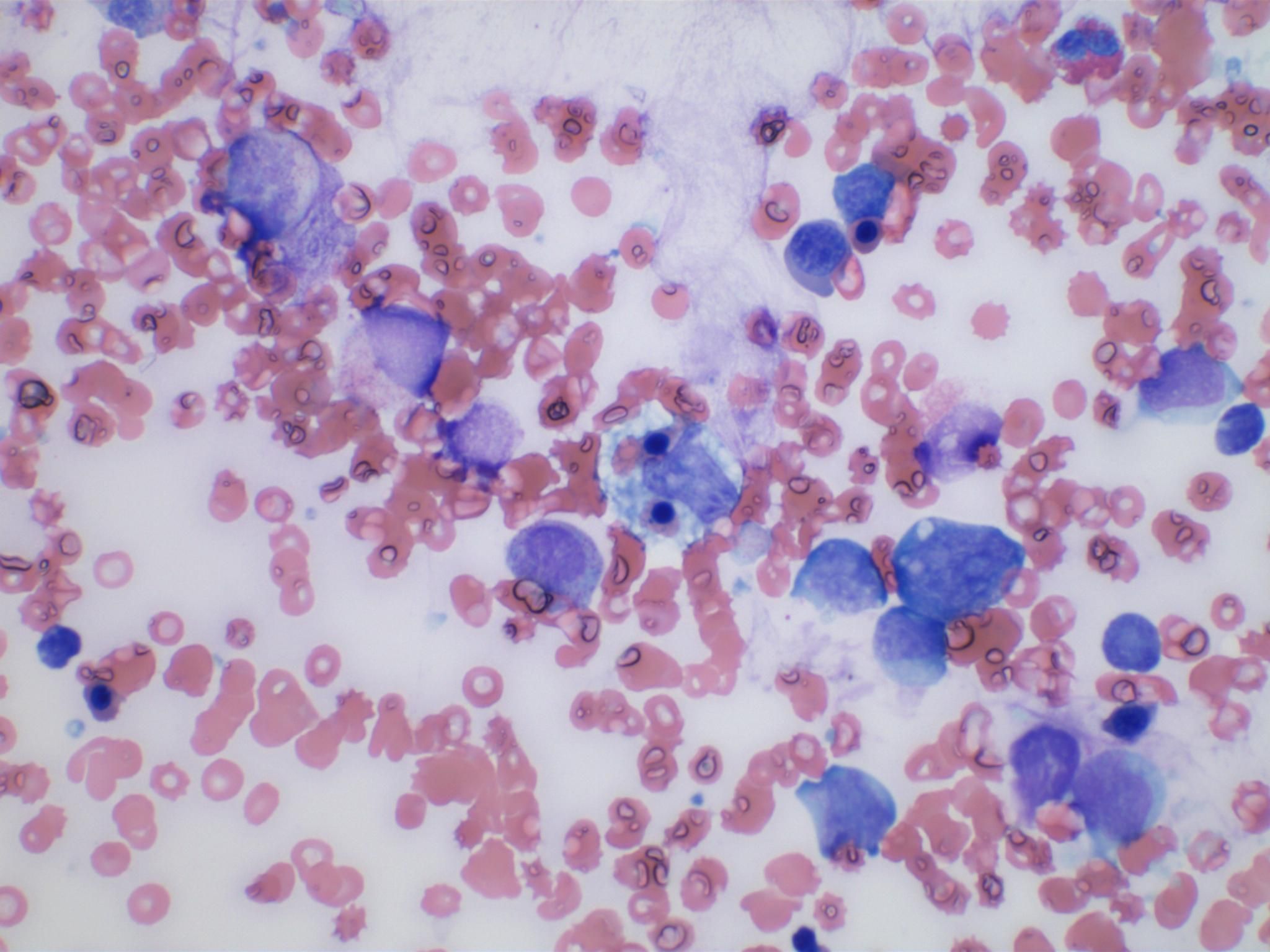
Image A

Image B

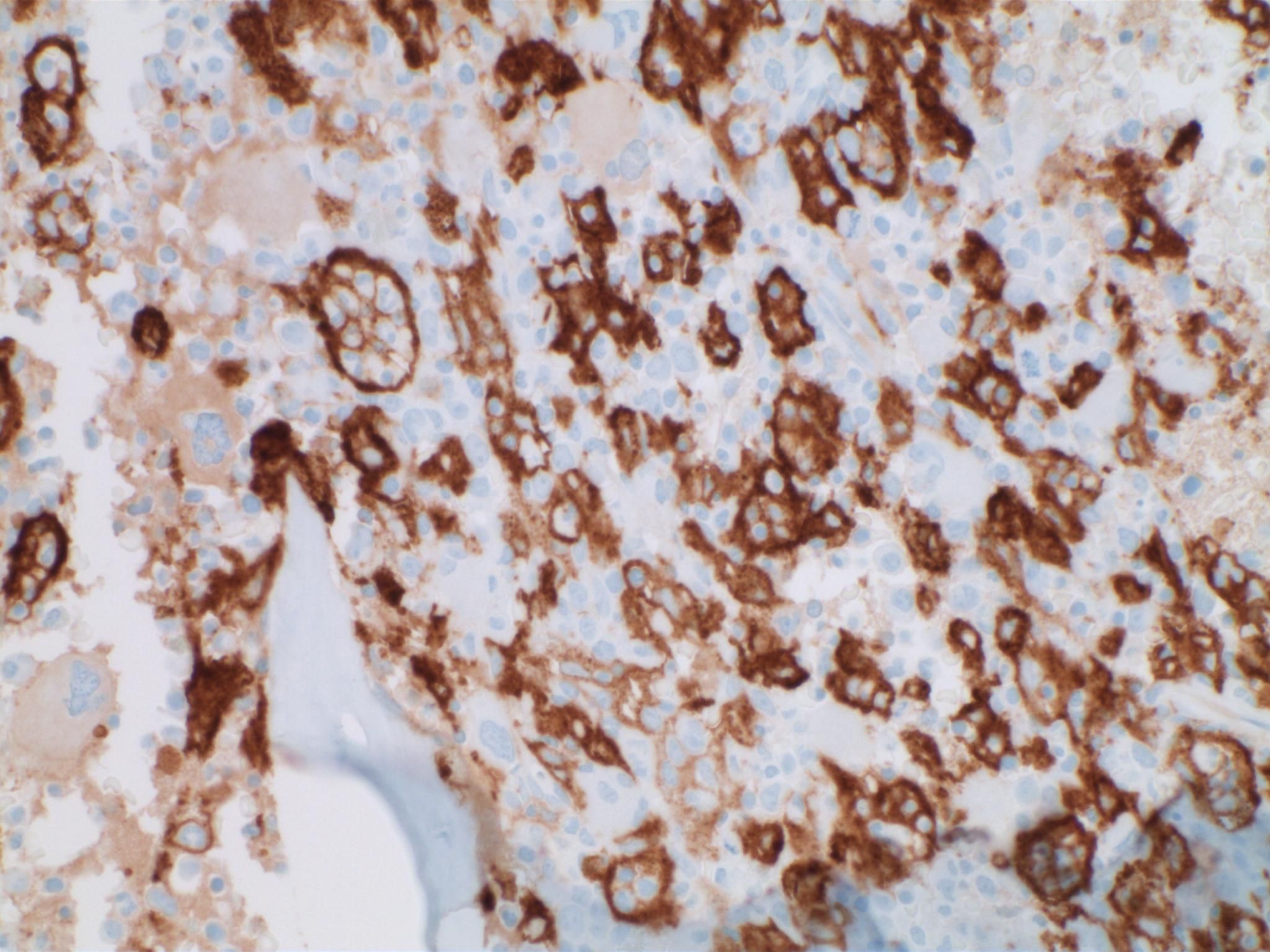
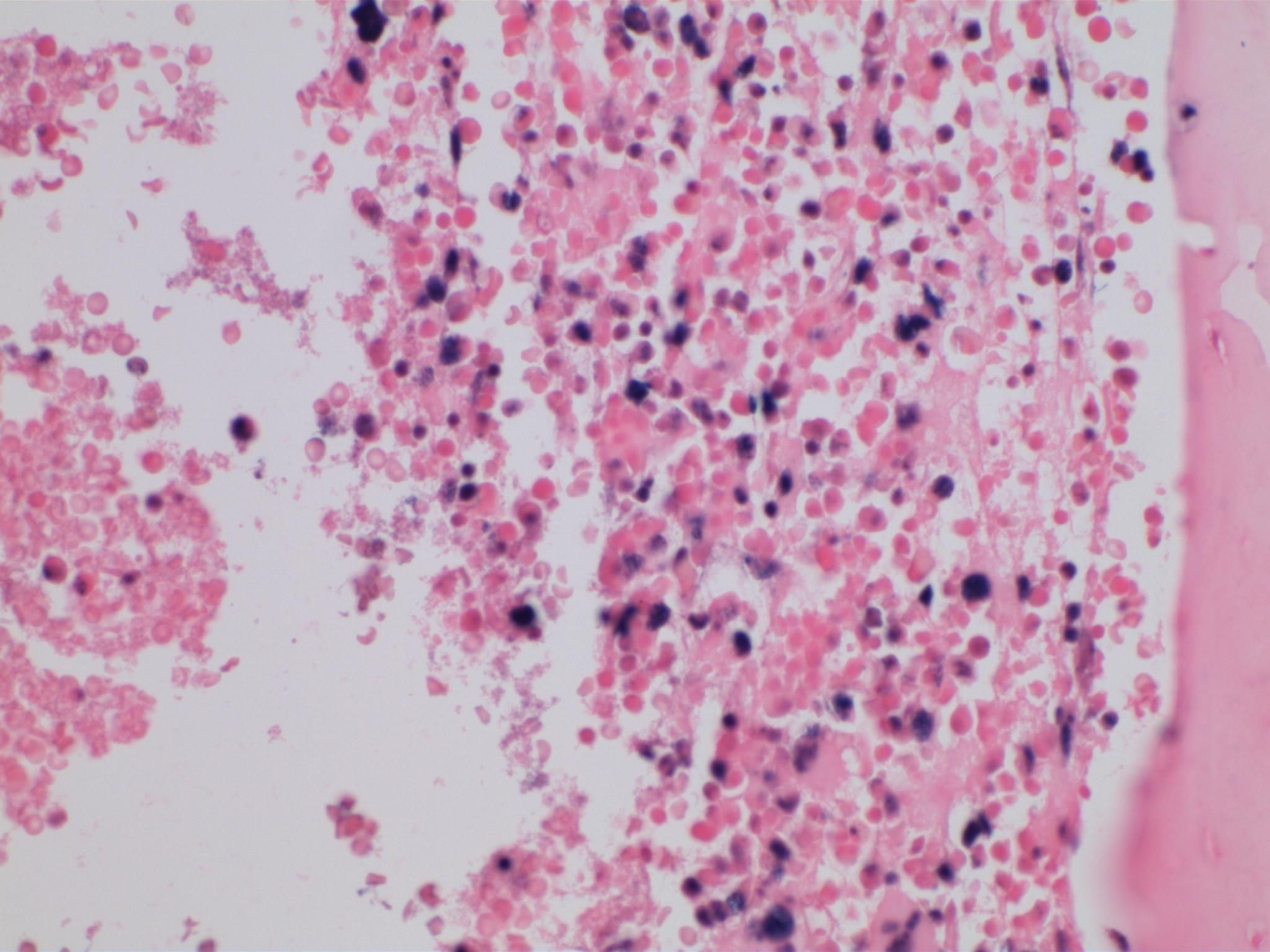
Laboratory evaluation showed transaminitis with ALT of 325 Units/L (normal 5-45 Units/L), AST of 393 Units/L (normal 20-60 Units/L), total bilirubin of 3.4 mg/dL(normal 0.2-1.3 mg/dL) with direct bilirubin of 0.7mg/dL (normal 0.0-0.3 mg/dL), decreased albumin of 3.1 (normal 3.4-4.2g/dL), and lactate dehydrogenase and D-dimer were significantly elevated at 2007 Units/L (normal 500-920 Units/L) and 15,099 ng/ml (normal 215-500ng/ml) respectively. White blood cell count revealed pancytopenia with WBC count of 3.34x10^9/L (normal 7.7-13.7x10^9/L), RBC count of 2.65x10^6/L (normal 3.0-4.3x10^6 L), Hgb of 8.1g/dL (normal 9.5-13.3g/dL), platelet count of 56x10^9/L (normal 150-500x10^9L). Differential count showed 22.1% neutrophils, 54.5% lymphocytes, 19.8% monocytes, 0.3% basophils, 0.3% eosinophils and 3% immature granulocytes. Reticulocyte count was mildly elevated at 5.43% (normal 0.90-3.80%). PT was elevated at 13.3 seconds (normal 9.6-12.5 seconds). Blood, urine and cerebrospinal fluid cultures were all negative. Triglycerides were normal at 118mg/dL (normal 40-160mg/dL), and all other labs were without significant abnormality. CXR was normal. Repeat head CT confirmed previously described skull fracture without intracranial hemorrhage. Abdominal ultrasound showed splenomegaly without hepatomegaly. Continued investigation over the next week included consultations from oncology and infectious disease services. Additional testing revealed elevated serum ferritin of 11,100ng/mL (normal 14-647ng/ml) and soluble CD-25 of 79,500pg/ml (normal 0-1033pg/mL). Histopathology of a bone marrow biopsy revealed mild histiocytic hyperplasia with increase in histiocytes with occasional hemophagocytosis. Epstein Barr Virus was positive by in situ hybridization (Figure 1: Images A-D).
Image C

Image D

Pathophysiology of HLH
Hemophagocytic lymphohistiocytosis (HLH) can be a primary disease driven by homozygosity or compound heterozygosity for verified HLH mutations, or a secondary disease occurring in the presence of chronic viral illness, autoimmune disease or lymphoma.1,2 Both forms are thought to require a triggering event involving either immune activation, most commonly Epstein-Barr infection, or an immune deficient state like human immunodeficiency virus infection.3 Regardless of the underlying etiology, HLH involves excessive activation of hyperplastic histiocytes resulting in excessive cytokine release. Additionally, there is often natural killer cell and cytotoxic lymphocyte abnormalities present, which result in decreased elimination of damaged or infected host cells.4 Elevated amounts of cytokines such as Il-6 result in characteristic fever as well as broad tissue damage and multiple organ failure. Though the liver and central nervous system are most often described as being involved, any organ system may be affected.5
Clinical Presentation of HLH
The clinical presentation of hemophagocytic lymphocytosis is consistent with a hyperinflammatory or dysregulated immune state. Most commonly the patient is less than 18 months old and presents with fever > 101.3°F splenomegaly, and peripheral blood cytopenia with at least two of either hemoglobin <10g/dL, platelets <100,000 microliter or absolute neutrophils <1,000 microliter.5 Further study typically reveals high ferritin levels as well as elevated CD255. There may also be hypofibrinogenemia and hypogammaglobinemia.5 Hemophagocytosis may be present in bone marrow, lymph nodes, liver and spleen, and reflects macrophages in a hyperactive state.5 There may also be a late finding of hypertriglyceridemia after the disease has damaged the liver. As many as 30% of patients may present with a variety of neurological abnormalities such as mental status changes and encephalitis, seizures, hemiparesis, nuchal rigidity and ataxia reflective of central nervous system involvement.6 Additionally, nonspecific findings in cerebrospinal fluid of increased protein and decreased glucose may be present in 50% of cases.7 Fever and pancytopenia in the presence of either elevated liver function tests or central nervous system involvement and without other explanation should prompt consideration of HLH workup.
Differential Diagnosis
There are a number of conditions that may present in an infant with a clinical picture of persistent fever, pancytopenia, liver abnormalities and splenomegaly including malignancies, rheumatoid disorders, and infections like Epstein-Barr virus (EBV) (Table 1). The additional findings of hyperferritinemia, elevated CD25 and hemophagocytosis are extremely suggestive of HLH.
Table 1

DIAGNOSIS OF HLH
Diagnosis is based on fulfillment of 5 or more of 8 established criteria (Table 2) or on an HLH gene panel comprised of verified HLH mutations in cases where 5 criteria are not met. Additional findings that may support a diagnosis of HLH include spinal fluid pleocytosis with or without elevated spinal fluid protein and liver biopsy findings consistent with chronic persistent hepatitis by histology.2 As swift initiation of treatment in cases of HLH is imperative for a good patient outcome, modified diagnostic criteria may also be used (Table 3) to determine if HLH treatment should be initiated.8
Table 2

MANAGEMENT
Treatment of HLH is guided by the HLH 2004 treatment protocol. Initial therapy consists of 8 weeks of chemoimmunotherapy consisting of etoposide, dexamethasone, and cyclosporine A. In cases with CNS involvement at diagnosis, systemic therapy alone should be employed. After 2 weeks of therapy if CNS symptoms have worsened or not improved (based on repeat MRI showing new, increased or unchanged CNS involvement such as increased parenchymal lesions, leptomeningeal enhancement or global edema, and repeat lumbar puncture with cerebrospinal fluid analysis showing increased pleocytosis or other abnormality associated with HLH) intrathecal methotrexate and prednisolone should be added. Severity of serum ferritin elevation prior to treatment may correlate directly with severity of disease and overall probability of mortality. In patients without familial disease or with negative genetic testing who achieve complete resolution after initial therapy, no further treatment is necessary although close follow-up is imperative; patients with HLH are at risk of recurrence or development of secondary hematologic malignancy such as leukemia or lymphoma. We recommend follow-up every 3 months to assess for new history of fever, lymph node enlargement and hepatosplenomegaly. Patients should be monitored for neurologic changes as well as hematologic abnormalities suggestive of malignancy (especially leukemia). Patients with positive genetic testing or otherwise known familial disease or unresolved disease after initial treatment should undergo a hematopoietic stem cell transplant (HSCT) as soon as possible. In such patients, HSCT may be curative.2
Table 3

Patient Outcome
Our patient was found to meet all 8 of the diagnostic criteria previously discussed and underwent 8-week induction therapy and HLH genetic screening. Gene testing showed him to be a compound heterozygote with two different mutations on opposite copies of the UNC13-D gene. Though he is currently in remission and doing well, because he has been determined to have familial HLH, he is currently on continuation therapy and with plans to undergo a HSCT very soon.
Lessons for the clinician
Hemophagocytic lymphohistiocytosis is a rare syndrome characterized by excessive immune activation. Typically considered a disease of infancy and childhood, the condition may be observed in males and females at any age. Most commonly, presentation includes febrile illness and multiorgan involvement especially of the liver and/or the central nervous system. The combination of persistent fever, pancytopenia, splenomegaly and liver function abnormalities should prompt thoughts of possible HLH diagnosis as early detection and treatment are imperative if there is to be a positive outcome for patients with HLH.
References
Access practical, evidence-based guidance to support better care for our youngest patients. Join our email list for the latest clinical updates.