Complete duplication of the left thumb in a baby boy was noted at birth; a radiograph of the thumb showed 2 proximal and distal phalanges with 1 first metacarpal bone. He also had fusion and incomplete bony duplication of the right thumb; a radiograph of this digit showed normal proximal and distal phalanges plus a small tiny bony remnant of the proximal and distal phalanges of an accessory thumb.



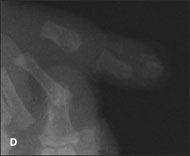
Complete duplication of the left thumb in a baby boy was noted at birth; a radiograph of the thumb showed 2 proximal and distal phalanges with 1 first metacarpal bone (A and B). He also had fusion and incomplete bony duplication of the right thumb; a radiograph of this digit showed normal proximal and distal phalanges plus a small tiny bony remnant of the proximal and distal phalanges of an accessory thumb (C and D).



The infant had no other apparent abnormalities. He had been born at term after a normal pregnancy and uncomplicated delivery. The mother had 2 sisters; each had 1 child with ulnar polydactyly-nubbin accessory digits on the little fingers.
Digital duplication is a common congenital abnormality of the hand. It may be bilateral. A family history of polydactyly does not dictate the location of subsequent occurrences. Radial polydactyly is very rare and usually sporadic.1 Whites are affected more than African Americans. The male to female ratio is 2.5:1. The spectrum of duplication patterns varies from severe hypoplasia to an extrafunctional thumb.
Radial polydactyly requires careful surgical excision, usually toward the end of the child's first year, when tissues are better delineated. Surgery should address both function and cosmesis in an effort to preserve the best-developed thumb.
REFERENCE:
1.
Pizzutillo PD.
Pediatric Orthopaedics in Primary Practice.
New York: McGraw-Hill; 1997:337-341.
RELATED CONTENT:
• Blereau RP.
Polydactyly of the hand
.
Consultant For Pediatricians.
2007;6:41-42.
• Blereau RP.
Polydactyly of the hands and feet
.
Consultant For Pediatricians.
2009;8:30-31.
Access practical, evidence-based guidance to support better care for our youngest patients. Join our email list for the latest clinical updates.