
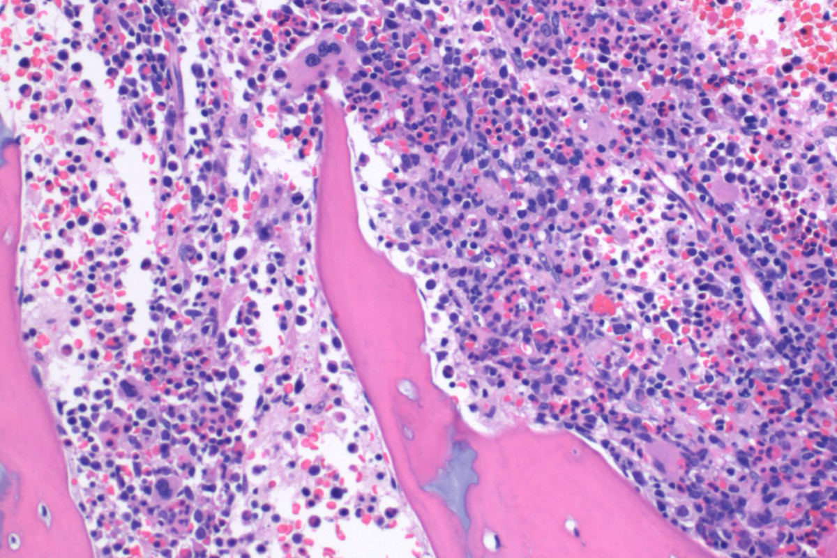
A previously healthy 5-week-old former term newborn male presented to the emergency department with the chief complaint of fever ranging from 101-104°F for 2 days. He also had been fussy and not been eating well. The infant remained febrile despite his mother’s administration of Infant Tylenol every 4 hours at home. His mother denied any cough, rhinorrhea, bleeding or bruising, diarrhea, vomiting, and reported stool and urine had been normal. What's the diagnosis?



































