
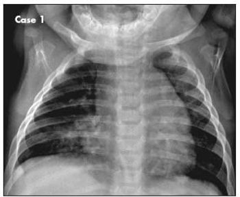
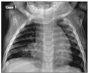
A 6-month-old boy with 1-week history of dry cough that worsened at night. He had been wheezing off and on for the past month and had visited the emergency department on one occasion.

A 6-month-old boy with 1-week history of dry cough that worsened at night. He had been wheezing off and on for the past month and had visited the emergency department on one occasion.

In this podcast, Dr John Kelso dispels myths and makes a case for office-based spirometry for pediatricians.


How will you address this question when your patients ask? Find out in this podcast.

A15-year old girl presented with a rash on both feet that had appeared a month earlier. Initially the rash looked like bruising at the base of both large toenails.

A 6-year-old boy presented with a swollen penis and lip within an hour after ingesting some peanuts.

A 4-year-old boy was referred for evaluation of refractory eczema that first appeared at 1 month of age.

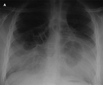
A 5-year-old boy with a history of allergies and asthma presents with fever (temperature of 40°C [104°F]), headache, cough, vomiting, and diffuse pain in and around the chest area on the right side. The patient has never traveled and has no sick contacts. A chest radiograph is obtained (A).

This 16-year-old boy had slowly progressive hypopigmented lesions onthe lower extremities for the past 4 years. He also had atopic dermatitis,asthma, and allergic rhinitis.

My 18-month-old son has had a diaper rash, with no other symptoms, within a few days of eating a poached egg on 3 separate occasions.

The American Academy ofChild and Adolescent Psychiatry recommendsroutine screening for anxiety inchildhood, querying various sources (child,parent, teacher) about anxiety symptoms,assessing for comorbid disorders,and evaluating severity and functionalimpairment. Transient and developmentallyappropriate worries and fears need tobe distinguished from anxiety disorders.Somatic symptoms, such as headache orstomachache, often accompany anxiety.A child’s anxiety may manifest as crying,irritability, or other behaviors that maybe misunderstood by adults as disobedience.Self-report measures can helpscreen for anxiety symptoms and monitortreatment response. Psychotherapy isthe initial treatment of children withanxiety. Pharmacotherapy with selectiveserotonin reuptake inhibitors may benecessary for those with moderate tosevere anxiety. In these children, theaddition of cognitive-behavioral therapymay improve functioning better thaneither intervention alone.

School has been back in session for less than a month, and our office has already had parents come in or call for the “golden ticket” that allows a child to return to school after an illness-the doctor’s note. Often parents want us to write something to the effect that “Johnny is no longer contagious….” Can we ever truly say that about anyone?!

A 7-month-old boy with a history of severe atopic dermatitis and asthma was brought for evaluation of a generalized rash, fever, and irritability of 2 days’ duration. He had no respiratory symptoms. His medical history was significant for anorexia, without vomiting or diarrhea. He had a strong family history of allergy.

A 9-year-old boy was brought to the emergency department (ED) by his mother after he managed to lodge 2 magnets in his nose. He had been playing with connecting magnets from 2 body lights and wanted to see what would happen if he placed one of the magnets in his nose and the opposing magnet on the outside. By moving the outside magnet, he was able to move the inside magnet up and down in his right nostril.

At his first well-child visit after a family move, an 8-year-old boy was noted to have bilateral erythematous plaques on the surfaces of his hands and feet. Mother reported that the condition had been present since he was 2 or 3 months old. Patient’s father and other male relatives on the paternal side (uncles, grandfather, great-grandfather) were similarly affected. No other associated symptoms, such as hyperhidrosis, reported. The child did not have a history of eczema, asthma, or food allergies; however, he did have a history of allergic rhinitis and occasional pruritus.

Selective IgA deficiency (SIGAD) is the most common immunodeficiency disorder; it affects about 1 in 200 to 900 persons. Most affected children are asymptomatic.

We are pleased to announce a new member of the editorial board of Consultant For Pediatricians, Prashant V. Mahajan, MD, MPH, MBA. We hope you will enjoy reading his articles and features in the coming issues as much as we enjoy working with him.

For the discerning pediatrician, choosing which sessions to attend at the American Academy of Pediatrics National Conference & Exhibition (AAP NCE) can be a daunting task. The editors of Consultant for Pediatricians have prepared a list of “must-see” sessions to help narrow down the selection process.

The expansion of the immunization schedule for 2009 has resulted in several success stories. Two rotavirus vaccines are now available. Following the introduction of immunization against rotavirus, a sharp decline in cases of rotavirus gastroenteritis was seen.

Children with asthma who had received influenza vaccination had fewer asthma exacerbations, according to a recent study conducted in the pediatric clinics of Brooke Army Medical Center, Fort Sam Houston and Wilford Hall Medical Center, Lackland Air Force Base in Texas.

A 5-year-old boy was brought for evaluation of ongoing thrombocytopenia before undergoing adenotonsillectomy for obstructive sleep apnea. The child had been given a diagnosis of "growing pains" after frequent evaluation for leg pain over the past 2 years.

A 16-year-old boy with Down syndrome was referred for evaluation of nonspecific symptoms, including difficulty in breathing on standing up from a sitting position, dizziness, frequent abdominal pain, and diarrhea after ingesting fatty foods and milk. He had intermittent asthma exacerbations for which he occasionally used a β-agonist. He had no history of trauma, surgery, or allergies.

“My 8–year–old son has always had trouble falling asleep. He never falls asleep before 11 PM, even on school nights. Is there anything you can prescribe so he can get to sleep earlier?”

Researchers at the University of California, San Francisco, Institute for Health Policy Studies found that school-based asthma education does improve self-management behaviors; however, it has less consistent effects on health outcomes.

Episodic right-sided facial flushing was noted in a 2-month-old girl born at full term via forceps-assisted vaginal delivery. The erythema appeared within minutes of latching onto her mother’s breast and resolved within 5 to 10 minutes after breastfeeding. The episodes of flushing had begun a week before the clinic visit; there were no collateral symptoms of anaphylaxis. Because food allergy was suspected, the mother had eliminated all dairy products from her diet.