
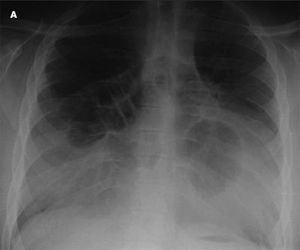
A 16-year-old boy with Down syndrome was referred for evaluation of nonspecific symptoms, including difficulty in breathing on standing up from a sitting position, dizziness, frequent abdominal pain, and diarrhea after ingesting fatty foods and milk. He had intermittent asthma exacerbations for which he occasionally used a β-agonist. He had no history of trauma, surgery, or allergies.


