In the ED, the patient was afebrile. The pain remained localized to the left lower quadrant; it increased with palpation and decreased when the child lay still. A transabdominal pelvic ultrasonogram was normal: specifically it showed no ovarian torsion.

Figure

FigureAn 11-year-old girl was brought to the emergency department (ED) after 3 days of intermittent, dull, nonradiating left lower abdominal pain. She also had 3 episodes of nonbloody, nonbilious emesis in the 2 days before presentation. Three days earlier, the patient had been vaccinated against influenza and varicella by her pediatrician.
In the ED, the patient was afebrile. The pain remained localized to the left lower quadrant; it increased with palpation and decreased when the child lay still. A transabdominal pelvic ultrasonogram was normal: specifically it showed no ovarian torsion.
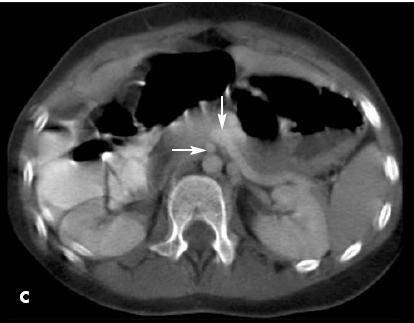
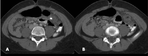
Axial CT images showed an appendicolith (A) and, 9 mm inferiorly, a tubular structure with intraluminal air and surrounding inflammatory changes in the left lower quadrant (B). These findings were consistent with appendicitis. Another view (C) showed that the superior mesenteric vein (SMV) (vertical arrow) joined with the splenic vein to form a portal confluence that rotated to the left of the superior mesenteric artery (SMA) (horizontal arrow). This finding was consistent with GI malrotation. The duodenal- jejunal junction was identified to the right of the vertebral column (not shown).
Historically, appendicitis has been considered a clinical diagnosis. High-speed helical CT scanners are now used to confirm clinically equivocal cases of appendicitis or to offer an alternative diagnosis. In the rare case of left-sided appendicitis in a patient not known to have congenital GI malrotation, CT imaging is critical for an accurate diagnosis. Cases of left-sided appendicitis that were initially diagnosed and treated as gastroenteritis have been reported.1
CT findings of acute appendicitis can include an enlarged caliber (greater than 6 mm in maximal transverse dimension), pericecal and periappendiceal inflammatory changes, phlegmon, extraluminal gas, and an appendicolith. 2 Congenital intestinal malrotation on CT can be determined by transposition of the SMA and SMV, with the SMA on the right side of the SMV, near its origin from the aorta.3
This patient received intravenous antibiotics for treatment of a perforated appendicitis and will undergo appendectomy and the Ladd procedure to correct the GI malrotation.
Complications of ruptured appendicitis include abscess formation that can lead to adhesions, which can cause small-bowel obstructions later in life. Early detection of acute appendicitis may drastically affect the longterm outcome. A clinical history and physical examination suggestive of appendicitis in the left lower quadrant in a patient with unknown GI rotation should prompt investigation beyond a diagnosis of gastroenteritis.
Access practical, evidence-based guidance to support better care for our youngest patients. Join our email list for the latest clinical updates.