While playing on the school playground, a 10-year-old boy decided to try a zip line. He grabbed the pulley and slid down the cable. When the pulley came to a stop, he fell off and sustained a right ankle injury.

 	Figure 1 – Elementary school zip lines, such as the one shown here, are responsible for an increasing number of injuries in children.
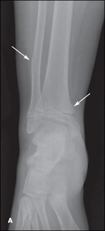
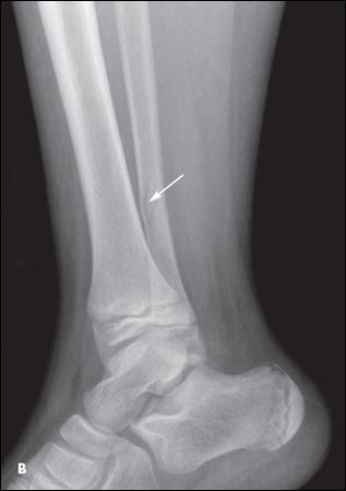
While playing on the school playground, a 10-year-old boy decided to try a zip line (Figure 1). He grabbed the pulley and slid down the cable. When the pulley came to a stop, he fell off and sustained a right ankle injury. In the emergency department (ED), the diagnosis was a right distal fibula shaft fracture and distal/medial Salter-Harris type II tibia fracture (Figure 2). The fractures were nondisplaced, and the child's right lower extremity was placed in a long leg cast, which was replaced 3 weeks later with a short walking cast; he was transitioned to a walker boot 2 weeks after that. The fractures healed without complications. Because of possible injury to the growth plate, follow-up in 6 to 9 months was needed to ensure there was no physeal arrest.
About 200,000 children with injuries related to playground equipment are treated in hospital EDs in the United States each year; 75% of these injuries are a consequence of falls.1 Seventy percent of children between the ages of 5 and 12 years-including roughly equal numbers of boys and girls-sustain playground injuries.1


 	Figure 2 – Anteroposterior (
A
) and lateral (
B
) radiographs taken in the emergency department show a right distal fibula shaft fracture and distal/medial Salter-Harris type II tibia fracture.
The incidence of zip line injuries in children has increased in the past few years in the inpatient and outpatient settings. The trauma registry data from 1 urban pediatric hospital show that between 2006 and 2008, 10 children aged 5 to 12 years were hospitalized for zip line injuries. Most of the patients had upper extremity injuries and many required surgical intervention. In 2009 alone, the number of children with zip line injuries was higher than the total number from the previous 3 years; trauma registry data and clinic records note more than 15 combined inpatient and outpatient visits.
A zip line (flying fox, zip wire, track ride, aerial runway, or rope slide) requires significant upper body strength and the judgment to know when it is safe to let go.2 Both the Public Playground Safety Handbook2 and the Outdoor Home Playground Safety Handbook3 recommend that children be at least 5 to 12 years old before using zip lines.
Another recommendation is that the height of the equipment be about 5 to 6.5 ft, which accommodates the average height range seen in 5- to 12-year-olds.4 However, the equipment height at which a child would be safely protected against a fall depends in part on the depth of the approved cushioning material and in part on the type of cushioning material used. Many playground injuries are caused by an insufficient amount of ground covering, not a complete lack of ground covering. Playground safety experts recommend the use of loose-fill or synthetic material to provide cushioning. When 9 in of cushioning material is used (the minimum recommended amount), the maximum safe "fall height" is 10 ft with shredded/recycled rubber, 4 ft with sand, 5 ft with pea gravel, 7 ft with wood mulch, and 10 ft with wood chips.2
It is important for children to be active and play, and zip lines are fun and their novelty is a welcome change. However, children and their caregivers must be made aware of the risks and recommendations regarding the use of zip lines and be cautious when playing on any new playground apparatus.
REFERENCES:
1.
Vollman D, Witsaman R, Comstock RD, Smith GA. Epidemiology of playground equipment-related injuries to children in the United States, 1996-2005.
Clin Pediatr (Phila)
. 2009;48:66-71.
2.
US Consumer Product Safety Commission. Public Playground Safety Handbook.
http://www.cpsc.gov/cpscpub/pubs/325.pdf
. Accessed July 1, 2010.
3.
US Consumer Product Safety Commission. Outdoor Home Playground Safety Handbook. 2005.
http://www.cpsc.gov/cpscpub/pubs/324.pdf
. Accessed July 1, 2010.
4.
Nixon JW, Acton CH, Wallis BA, et al. Preventing injuries on horizontal ladders and track rides.
Inj Control Saf Promot
. 2004;11:219-224.
(Photos courtesy of Misty Lynsky, CNP.)
Access practical, evidence-based guidance to support better care for our youngest patients. Join our email list for the latest clinical updates.