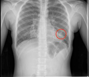
Can you diagnose this patient?
Annuradha Goel, MD
Advertisement
Articles by Annuradha Goel, MD
Advertisement
Latest Updated Articles
- Puzzler: 14-year-old with asthma, vomiting, and vape use presents with chest pain
Published: January 29th 2025 | Updated:
Advertisement
Advertisement
Trending on Contemporary Pediatrics
1
FDA approves linaclotide (Linzess) for pediatric patients aged 7 years and older with IBS-C
2
Health system–based clinical pathway improves pediatric lipid screening rates
3
Silvana Bonilla, MD, discusses geographic patterns of H. Pylori in pediatric digestive disease
4
Environmental distress in children: Recognizing and responding to eco-anxiety
5

