
Infant is closely monitored at subsequent well visits and rechecked after 3 months, showed full resolution of the skin lesion over the heel area.
Giridhar Guntreddi, MD, FAAP, FAPHM, Pediatric ER Physician at CHOP ( Children hospital of Philadelphia, KOP, PA); Pediatric Hospitalist, SANFORD Medical center, Bemidji, MN; Assistant Professor of Pediatrics, Des Moines University, Des Moines, Iowa; Assistant Professor of Pediatrics, University of Minnesota, Duluth, MN.

Infant is closely monitored at subsequent well visits and rechecked after 3 months, showed full resolution of the skin lesion over the heel area.

Can you diagnose this patient? Take our poll and find out! Then check back for the full case, differential diagnosis, and correct diagnosis.

A 4-day-old boy with a midline neck lesion was born at term by normal vaginal delivery. After birth, mid line lesion had the configuration of a linear cleft with a cephalocaudal orientation, extending from the level below the hyoid bone to the suprasternal notch with a length of 2.5 cm and a width of 0.5 cm. What's the diagnosis?

A 17-month-old African American girl, with no significant past medical history, is brought to the Pediatric Emergency Department with acute onset of swelling in the floor of her mouth. What's the diagnosis?

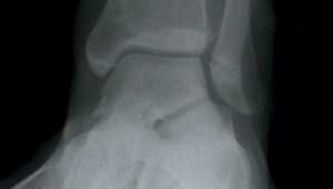
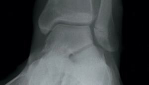
A 15-year-old adolescent Caucasian male with no significant past medical history presented to the clinic with gradually worsening left ankle pain over the past 2 weeks, ever since he started his football practice. He complained of dull aching pain at the lower end of his left leg for the past 4 months, which was slightly relieved by over-the-counter nonsteroidal anti-inflammatory drugs (NSAIDs). He twisted his left ankle and noticed further worsening pain, which prompted this doctor visit.

Published: June 3rd 2025 | Updated:

Published: March 1st 2019 | Updated:

Published: April 16th 2020 | Updated: