
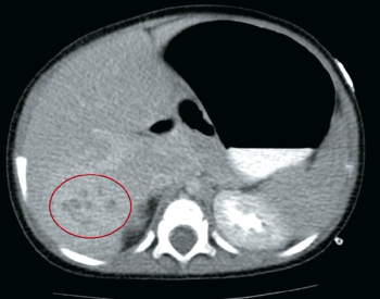
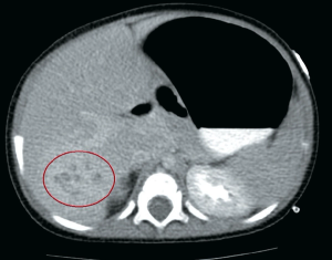
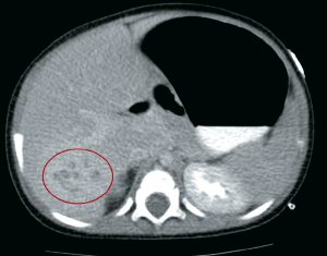
A 7-month-old girl presents to her pediatrician’s office with a 1-week history of fevers and upper respiratory symptoms. What's the diagnosis?

A 7-month-old girl presents to her pediatrician’s office with a 1-week history of fevers and upper respiratory symptoms. What's the diagnosis?

Published: July 1st 2018 | Updated: