
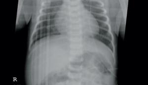
A 24-year-old G2P1001 African American female at 38.2 weeks of gestation was induced for labor for a fetus with prenatally diagnosed intrauterine growth restriction (IUGR). She subsequently delivered via normal spontaneous delivery. The infant initially latched well at the breast, was normoglycemic and normothermic, but shortly after birth had had a significant episode of blood-tinged emesis (not deemed to be swallowed maternal blood) and was transferred to the transitional nursery for further evaluation.


