News
All NewsAAP NewsPNP Corner
Media
Cure ConnectionsExpert InterviewsInsightsMedcastPeer ExchangePeers & PerspectivesPodcastsSponsored VideosWebinars
Puzzler
Publications
Contemporary Pediatrics JournalSupplements And Featured Publications
More
CME/CE
Resources
HandoutsJob BoardProduct ProfileSponsored
Conferences
Conference CoverageConference Listing
Partnerships
Editorial
Editorial Advisory BoardWriter’s GuidelinesReference GuidelinesMeet the Editors

Subscribe

  • News
  • Media
  • Puzzler
  • Publications
  • CME/CE
  • Resources
  • Conferences
  • Partnerships
  • Subscribe
  • Editorial
  • Allergy, Immunology, and ENT
    • Food Allergies
    • Animal Allergies
  • Cardiology
    • Cardiovascular Diseases
  • Dermatology
    • Atopic Dermatitis
    • Acne
  • Emergency Medicine
  • Endocrinology
    • Diabetes
  • Gastroenterology
    • Formula
    • Nutrition
    • Obesity
  • Genetic Testing
  • Infectious Diseases
    • COVID-19
    • Influenza
    • Antibiotic Resistance
    • Vaccination and Immunization
    • Bacterial Conjunctivitis
    • Pneumonia
    • Sexually Transmitted Diseases
    • Vaccines
  • Mental, Behavioral and Development Health
    • Anxiety
    • Autism
    • Developmental/Behavioral Disorders
    • Depression
    • Psychiatry
    • ADHD
    • Addiction
    • Antisocial Personality Disorder
  • Neurology
    • Concussion
    • Epilepsy
    • Headache
  • OB/GYN
    • Neonatal/Perinatology
  • Pain
  • Pharmacology
    • Drug Pipeline News
  • Practice Improvement
    • Telemedicine
  • Respiratory
    • Asthma
    • Cystic Fibrosis
  • Rheumatology
Advertisement

Carol E. Cheng, MD

Advertisement

Articles by Carol E. Cheng, MD

Image Credit: Author provided

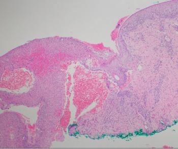
Vulvar ulcerations in a pre-adolescent girl following COVID-19 vaccination

ByEkra Rai, MD,Deeti J. Pithadia, MD,Carol E. Cheng, MD
August 15th 2024

Can you diagnose this patient with a tender bump on the labia majora accompanied by fever and sore throat?

Advertisement

Latest Updated Articles



    Advertisement
    Advertisement

    Trending on Contemporary Pediatrics

    1

    FDA approves Nuzolvence (zoliflodacin) for treatment of uncomplicated urogenital gonorrhea in 12 years and up

    2

    Full case: A slender teen with a growing abdomen and shrinking height velocity

    3

    Edward Hook, MD, reacts to the FDA approval of zoliflodacin for uncomplicated urogenital gonorrhea

    4

    Meta-analysis finds vegetarian and vegan diets can support healthy growth in children

    5

    Reports: FDA launching safety review of nirsevimab and clesrovimab for RSV

    • About Us
    • Advertise
    • Contact Us
    • Editorial
    • Job Board
    • Terms and Conditions
    • Privacy
    • Do Not Sell My Personal Information
    Contact Info

    259 Prospect Plains Rd, Bldg H
    Cranbury, NJ 08512

    609-716-7777

    Brand Logo

    © 2025 MJH Life Sciences®

    All rights reserved.

    Home
    About Us
    News
    Contact Us