
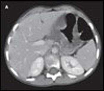
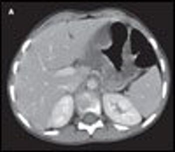
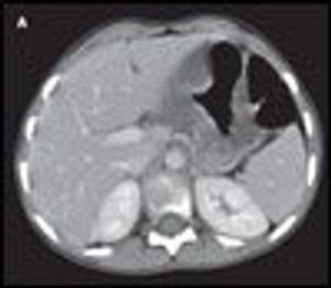
For 3 days, a 7-year-old girl had severe, generalized abdominal pain. The patient described the pain as sharp and achy without radiation; she denied any relieving or aggravating factors. She also reported decreased appetite and energy for the past week.


