
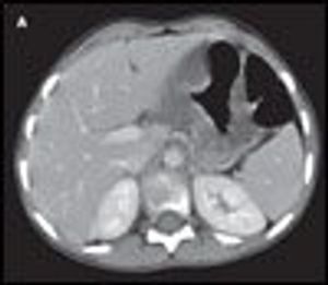
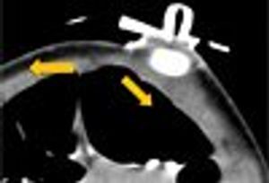
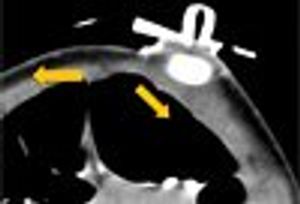
A 22-month-old boy with failure to thrive presented with a 3-day history of rhinorrhea, fever, and abdominal pain associated with tube feeding. A PEG tube had been placed 2 months before this visit.

A 22-month-old boy with failure to thrive presented with a 3-day history of rhinorrhea, fever, and abdominal pain associated with tube feeding. A PEG tube had been placed 2 months before this visit.

A 22-month-old boy with failure to thrive presented with a 3-day history of rhinorrhea, fever, and abdominal pain associated with tube feeding. A PEG tube had been placed 2 months before this visit.

For 3 days, a 7-year-old girl had severe, generalized abdominal pain. The patient described the pain as sharp and achy without radiation; she denied any relieving or aggravating factors. She also reported decreased appetite and energy for the past week.

Published: August 9th 2010 | Updated:

Published: November 30th 2011 | Updated:

Published: December 7th 2011 | Updated: