Articles by Greg Wallace, DO

A 3-year-old child was brought to her primary caregiver by her maternal grandmother who was concerned about the infected lesion shown here. The child was at the center of a heated custody dispute and abuse was strongly suspected. But could the lesion’s origin be something else?

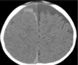
This 3 ½-month-old boy was brought to an outlying hospital after 12-hours of fussiness and poor feeding.

A 3 1/2-year-old girl, who is nonverbal because of an underlying neurological disorder, presented to day care with a pelvic bruise. The day-care attendant feared abuse and reported the findings to Child Protective Services (CPS). The parents told CPS that the child had been alone with her father and fell getting out of the bathtub.

A 3-year-old girl, who is nonverbal because of an underlying neurological disorder, presented to day care with a pelvic bruise. The day-care attendant feared abuse and reported the findings to Child Protective Services (CPS).

A 23-month-old Hispanic boy was brought to an emergency department (ED) with ear pain and fever. The family had no other expressed concerns. Physical examination revealed inflammation of 1 tympanic membrane. The child had a temperature of 38.4°C (101.2°F).

A 5-year-old girl was brought to her pediatrician after a "fall" 30 minutes before her arrival. The injury occurred in her home; she fell while straddling the back of a chair as she reached for something on a table. Her grandmother, who was serving as the child's foster parent, and an unrelated witness provided the initial history. The child independently confirmed the story provided by the adults.