
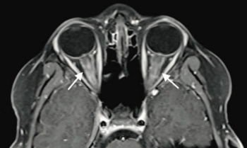
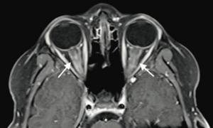
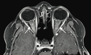
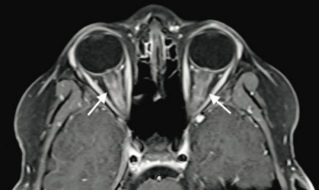
A 9-year-old boy with no significant medical history presented to the emergency department with 2 days of painless blurry vision. What's the diagnosis?
Matthew L. Lorenz is an assistant professor of medicine and pediatrics at The Warren Alpert Medical School of Brown University.

Published: July 29th 2022 | Updated: