
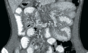
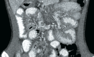
A 16-year-old male with a history of nephrotic syndrome and gastritis presents to the emergency department (ED) with worsening emesis, diarrhea, and abdominal pain of 3-weeks’ duration.

A 16-year-old male with a history of nephrotic syndrome and gastritis presents to the emergency department (ED) with worsening emesis, diarrhea, and abdominal pain of 3-weeks’ duration.

Published: October 1st 2018 | Updated: