
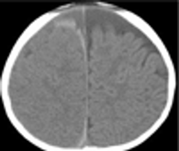
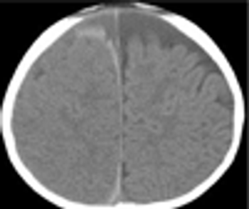
This 3 ½-month-old boy was brought to an outlying hospital after 12-hours of fussiness and poor feeding.

This 3 ½-month-old boy was brought to an outlying hospital after 12-hours of fussiness and poor feeding.

Developmental disabilities are on the rise, with significant increases in autism and attention-deficit/hyperactivity disorder (ADHD), according to results from a new study reported in Pediatrics.

Children who are overweight or obese have an increased risk of psoriasis, and regardless of body weight, teens with psoriasis have higher blood lipids and liver enzymes, Kaiser Permanente researchers report.

Belgian researchers report that children who are taking asthma drugs are almost twice as likely to be prescribed antibiotics for episodes of wheezing, cough, and shortness of breath as children who are not. Additionally, more than one-third of these children are coprescribed an antibiotic on the same day.

One click can help millions around the world. Every new healthcare professional who creates a free account on www.pediatricsconsultantlive.com will trigger our donation of $10 to the international organization Doctors Without Borders/ Mdecins Sans Frontires (MSF) - a non-profit delivering emergency medical assistance in nearly 60 countries to people affected by armed conflict, epidemics, malnutrition, natural disasters, or exclusion from health care. It's our way of promoting global social good for doctors caring for those in desperate need. Our goal is to donate $25,000 - enough for vaccinations for 25,000 people against meningitis, measles, polio or other deadly epidemics.

/* @override http://dev.facilitydude.com/css/facilitydude.css *//* @group Blog */.social_links li#tellfriendhover { position: relative;}#tellfriend { position: absolute; margin-top: 250px; *margin-top: 250px; /* IE7 and below */ *margin-left: 100px; /* IE7 and below */ left: 60px; color: #fff; padding: 15px; margin-bottom: 20px; width: 450px; z-index: 5000; border: 1px solid #ccc; -webkit-border-radius: 5px; -moz-border-radius: 5px; background-color: #f2f2f2;}#tellfriend a.close { position: absolute; right: -10px; top: -10px; _right: 0px; /* IE6 and below */ _top: 0px; /* IE6 and below */ background: url(http://imaging.ubmmedica.com/all/jquery/fancy_closebox.png) no-repeat; height: 30px; width: 30px; overflow: hidden; text-indent: -1000px;}#tellfriend form textarea { height: 80px;}/* @end *//* @group Forms */.contact-form { padding: 15px; margin-bottom: 20px; border: 1px solid #ccc; -webkit-border-radius: 5px; -moz-border-radius: 5px; background-color: #f2f2f2; z-index:5000;}.contact-form form input.std_input { margin-bottom: 10px;}form label.clear { clear: both; float: left; margin-top: 10px;}form label.full { width: 99%;}form label.required { font-weight: bold;}form select { margin-bottom: 10px; background-color: #fff; border: 1px solid #ccc; font: 14px "Helvetica Neue", Arial, Helvetica, Geneva, sans-serif; color: #6e6e6e;}form label { --color: #808080; color: #000000; font-size: 14px;}form input.std_input,form textarea { --border: 1px solid #ccc; width: 90%; font: 15px "Helvetica Neue", Arial, Helvetica, Geneva, sans-serif; padding: 5px; padding-left:20px; color: #6e6e6e; --background-color: transparent; --border-style: none; border: 1px solid #ccc; -webkit-border-radius: 5px; -moz-border-radius: 5px;}form table { width: 100%;}form table input.std_input { width: 93%;}form table.three-col input.std_input { width: 90%;}form input.form_but { margin-top: 10px; float: left; background-color: #93ba31; border: 3px solid #afdd39; color: #fff; font: bold 15px "Helvetica Neue", Arial, Helvetica, Geneva, sans-serif; -webkit-border-radius: 5px; -moz-border-radius: 5px; padding: 5px 10px;}#message_std, #subject { border: none; background-color: #f2f2f2; color: #3B3B3B; font: 14px "Helvetica Neue", Arial, Helvetica, Geneva, sans-serif;}#message_std { padding-left: 25px;}.loading { float:right; background:url(http://imaging.ubmmedica.com/all/jquery/ajax-loader-clock.gif) no-repeat 1px; height:50px; width:50px; display:none; color: black;}.done { background:url(iconIdea.gif) no-repeat 2px; padding-left:20px; font-family:arial; font-size:12px; width:70%; margin:20px auto; display:none}.element * { padding:5px; margin:2px; font-family:arial; font-size:12px;}.element label { float:left; width:450px; font-weight:700; text-align: left;}.element input.text { float:left; width:270px; padding-left:20px;}.element .textarea { height:120px; width:270px; padding-left:20px;}.element .hightlight { border:2px solid #9F1319; background:url(http://imaging.ubmmedica.com/all/jquery/iconCaution.gif) no-repeat 2px; background-color: #FFFFFF;}.element #submit { float:right; margin-right:10px;}div .help { color: black;}#dialog-overlay { /* set it to fill the whil screen */ width:100%; height:100%; /* transparency for different browsers */ filter:alpha(opacity=50); -moz-opacity:0.5; -khtml-opacity: 0.5; opacity: 0.5; background:#000; /* make sure it appear behind the dialog box but above everything else */ position:absolute; top:0; left:0; z-index:3000; /* hide it by default */ display:none;}/* @end */$jq.fn.fadeToggle = function(speed, easing, callback) { return this.animate({opacity: 'toggle'}, speed, easing, callback);};$jq.fn.clearForm = function() { return this.each(function() { var type = this.type, tag = this.tagName.toLowerCase(); if (tag == 'form') return $jq(':input',this).clearForm(); if (type == 'text' || type == 'password' || tag == 'textarea') this.value = ''; else if (type == 'checkbox' || type == 'radio') this.checked = false; else if (tag == 'select') this.selectedIndex = -1; });};function launchbutton(){ $jq(function() { //Overlay // get the screen height and width var maskHeight = $jq(document).height(); var maskWidth = $jq(window).width(); // calculate the values for center alignment var dialogTop = (maskHeight/3) - ($jq('#dialog-box').height()); var dialogLeft = (maskWidth/2) - ($jq('#dialog-box').width()/2); // assign values to the overlay and dialog box $jq('#dialog-overlay').css({height:maskHeight, width:maskWidth}).show(); //clear the form $jq('#from').clearForm(); $jq('#to').clearForm(); $jq('#name').clearForm(); $jq('#message_custom').clearForm(); //re-enable the fields $jq('.std_input').removeAttr('disabled'); //but lock out non-editable ones :-) $jq('#subject').attr('disabled','true'); $jq('#message_std').attr('disabled','true'); //hide the loading message $jq('.loading').hide(); $jq('.done').hide(); $jq("#tellfriend").fadeToggle('slow'); });}var hostname=window.location.hostname;var linkArray = new Array();linkArray['www.cancernetwork.com'] = "cn";//change these when we have final link valueslinkArray['www.consultantlive.com'] = "cl";linkArray['www.diagnosticimaging.com'] = "di";linkArray['www.psychiatrictimes.com'] = "pt";linkArray['www.physicianspractice.com'] = "p2";linkArray['mediakit.ubmmedica.com'] = "ubm";linkArray['hcp.obgyn.net'] = "hcp";linkArray['www.musculoskeletalnetwork.com'] = "msn";linkArray['www.pediatricsconsultantlive.com'] = "ped";//for testinglinkArray['localhost'] = "localhost";var refererrLink = "";try{ referrerLink = linkArray[hostname];}catch (err) //might not be in array{}$jq(document).ready(function() { $jq('#tellfriend').hide(); $jq('a.email').click(function() { //Overlay // get the screen height and width var maskHeight = $jq(document).height(); var maskWidth = $jq(window).width(); // calculate the values for center alignment var dialogTop = (maskHeight/3) - ($jq('#dialog-box').height()); var dialogLeft = (maskWidth/2) - ($jq('#dialog-box').width()/2); // assign values to the overlay and dialog box $jq('#dialog-overlay').css({height:maskHeight, width:maskWidth}).show(); //clear the form $jq('#from').clearForm(); $jq('#to').clearForm(); $jq('#name').clearForm(); $jq('#message_custom').clearForm(); //re-enable the fields $jq('.std_input').removeAttr('disabled'); //but lock out non-editable ones :-) $jq('#subject').attr('disabled','true'); $jq('#message_std').attr('disabled','true'); //hide the loading message $jq('.loading').hide(); $jq('.done').hide(); $jq("#tellfriend").fadeToggle('slow'); }); $jq('#tellfriend a.close').click(function() { //Overlay // get the screen height and width var maskHeight = $jq(document).height(); var maskWidth = $jq(window).width(); // calculate the values for center alignment var dialogTop = (maskHeight/3) - ($jq('#dialog-box').height()); var dialogLeft = (maskWidth/2) - ($jq('#dialog-box').width()/2); // hide the overlay $jq('#dialog-overlay').hide(); //clear the form $jq('#from').clearForm(); $jq('#to').clearForm(); $jq('#name').clearForm(); $jq('#message_custom').clearForm(); //re-enable the fields $jq('.std_input').removeAttr('disabled'); //but lock out non-editable ones :-) $jq('#subject').attr('disabled','true'); $jq('#message_std').attr('disabled','true'); //hide the loading message $jq('.loading').hide(); $jq('.done').hide(); $jq("#tellfriend").fadeToggle('slow'); });});$jq(document).ready(function() { //if submit button is clicked $jq('#submit').click(function () { //Get the data from all the fields var sn = $jq('input[name=sn]'); var se = $jq('input[name=se]'); var re = $jq('input[name=re]'); //remove extra spaces between emails var mc = $jq('textarea[name=mc]'); var ms = $jq('input[name=ms]'); var sub = $jq('input[name=sub]'); //Simple validation to make sure user entered something //If error found, add hightlight class to the text field //Also email address validation on sender and recipient fields var emailReg = /^([\w-\.]+@([\w-]+\.)+[\w-]{2,4})?$/; if (sn.val()=='') { sn.addClass('hightlight'); return false; } else sn.removeClass('hightlight'); if (se.val()=='') { se.addClass('hightlight'); return false; } else if(!emailReg.test(se.val())) { se.addClass('hightlight'); return false; } else se.removeClass('hightlight'); if (re.val()=='') { re.addClass('hightlight'); return false; } else re.removeClass('hightlight'); //strip out whitespace between address var re_clean = re.val().replace(/ /g,''); //need to split values first var recipient_emails = re_clean.split(';') for (i = 0; i< recipient_emails.length; i++) { if(!emailReg.test(recipient_emails[i])) { re.addClass('hightlight'); return false; } } //organize the data properly var data = 'sn=' + sn.val() + '&se=' + se.val() + '&re=' + re.val() + '&mc=' + mc.val() + '&sub=' + sub.val() + '&ms=' + ms.val() + '&referrer=' + referrerLink; //disabled all the text fields $jq('.std_input').attr('disabled','true'); //show the loading sign $jq('.loading').show(); //$jq('.loading').fadeIn('slow'); //start the ajax $jq.ajax({ //this is the php file that processes the data and send mail url: "http://www.pediatricsconsultantlive.com/all/emailfriend.php", //GET method is used type: "GET", //pass the data data: data, //Do not cache the page cache: false, //success success: function (html) { //if process.php returned 1/true (send mail success) //if (html==1) { //hide the form $jq('#tellfriend').fadeOut('slow'); //show the success message $jq('.done').fadeIn('slow'); //if process.php returned 0/false (send mail failed) //} else alert('Sorry, unexpected error. Please try again later.'); } }); //cancel the submit button default behaviours $jq('#dialog-overlay').hide(); return false; });});

Your one click will help provide emergency medical care to millions of people caught in crises in nearly 60 countries around the world.

In Part 2 of this podcast series, Dr Smith continues his discussion of the practice of nonsuicidal self-injury in adolescents.

This article reviews the limited but growing literature about prenatal and postpartum depression in fathers.

Children who suffer from obstructive sleep apnea (OSA) and who undergo adenotonsillectomy may improve their 24-hour ambulatory blood pressure parameters and left ventricular hypertrophy within 24 months after surgery.

The American Academy of Pediatrics (AAP) and the Florida Pediatric Society are expressing serious concerns over a new bill that limits the ability of physicians to ask counseling questions about guns in patients? homes without facing sanctions.

Mary, aged 40 years, was referred for psychiatric evaluation out of concern that a mental health diagnosis was interfering with her ability to appropriately and safely care for her child. The patient had stated on numerous occasions that her 9-year-old daughter, had been placed in the custody of Child Protective Services and replaced by an imposter.

PCL Supplements

New research provides evidence for something parents have long suspected?babies grow during sleep. The study, published in Sleep, found that in infants, growth in length follows prolonged sleep and increased naps.

Teenaged girls who go to the emergency department (ED) with symptoms predominately of lower abdominal pain or genitourinary complaints should be tested for sexually transmitted infections (STIs), according to a study presented at the 2011 Pediatric Academic Societies annual meeting in Denver.

Dermclinic title

Title for child abuse portlet CFP

In this podcast, Dr Smith discusses the practice of nonsuicidal self-injury in adolescents-cutting, burning, self-hitting or banging, scratching, interfering with wound healing-may be increasing.

The American Academy of Pediatrics (AAP) is recommending a substantial overhaul of the nation?s chemical-management policy to better protect children and pregnant women.

Children with newly diagnosed epilepsy do not take their drug therapies regularly, and it could be for socioeconomic reasons.

Group B streptococci (GBS) and Escherichia coli continue to put newborns at risk for sepsis despite recommendations for screening and prophylaxis during pregnancy.

Searching for Celiac Disease : Who to test and how to test Concussion in the young athlete : Diagnosis, management and prevention Rejuvenate your practice : Change your attitude and bring joy to your work Dermcase : Fat lip in adolescent boy Puzzler : Ten-year-old-girl with worsening cough Updates : AAP policy statements, Asthma protection, Obesity risks, Juvenile Idiopathic Arthritis, Autism, SSTI's

Children as young as 9 months can now be immunized for the prevention of meningococcal disease.

The US Food and Drug Administration has approved the use of Actemra, a drug that treats juvenile idiopathic arthritis in adults, as treatment for children with active systemic JIA.

Investigators examined the extent to which introduction of solid foods to infants younger than 4 months is associated with increased risk of obesity at 3 years.

A quick test at a child's 1-year well-baby checkup can detect autism spectrum disorder.

After 27 years in a busy pediatric practice, the author discovered that he was not a very good businessman.

Many investigations have shown that children who have a high level of environmental exposure to microorganisms are protected from childhood asthma and atopy.

What if you held the keys to rejuvenating your practice?

The nation has been struggling for many years to correct for the many years that medications were not studied in children.