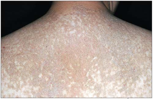
This obese 18-year-old has had a brown, scaly rash for 4 years. Over that time, the rash has spread from his neck, where it initially developed, to his chest and back.

Case:
This obese 18-year-old has had a brown, scaly rash for 4 years. Over that time, the rash has spread from his neck, where it initially developed, to his chest and back. It is asymptomatic but of significant concern. The teen’s obesity has been an issue since early childhood. He has been well otherwise. He has no family history of similar skin changes or diabetes.
His family has consulted a number of physicians. A skin biopsy specimen showed papillomatosis, acanthosis, and increased melanin; there was no evidence of inflammation. Application of a variety of skin creams has resulted in no change in the condition.
What is this rash-and might its appearance and the patient’s clinical history suggest the cause?



Case : The rash's morphological similarity to acanthosis nigricans and the history of obesity suggest confluent and reticulated papillomatosis.
The rash's morphological similarity to acanthosis nigricans and the history of obesity suggest confluent and reticulated papillomatosis.

The characteristic finding of confluent and reticulated papillomatosis is the presence of multiple 5-mm, brown, hyperkeratotic, verrucous papules that coalesce into large plaques. The plaques cover the neck, anterior chest, and upper back and spare the flexures of the neck and axillae. The name reflects the confluence into plaques, which exhibit a reticulated peripheral border. The first papules generally develop at the time of puberty. This is not traditionally a familial condition.

The skin changes in acanthosis nigricans involve the flexures, and the plaques are soft and velvety to the touch. The plaques generally conform to the flexure and lack the patterning seen at the periphery of confluent and reticulated papillomatosis.
A number of researchers have attempted to define the cause of confluent and reticulated papillomatosis, and treatment options based on the different theories proposed are available. Unfortunately, no single definitive therapy supports one theory over the others. The 3 basic themes to these theories are as follows:
•Endocrine-the association with obesity and puberty and the morphological similarity of the rash to acanthosis nigricans suggests that diabetes is the cause; however, findings from an evaluation for an endocrine disorder are almost always normal.
•Musculoskeletal-the nature of the primary papules suggest a disturbance of keratinization, and the occasional response to retinoids seems to support this.
•Infectious-the location and morphology of the rash suggest an exaggerated response to Pityrosporum ovale, the infectious organism responsible for tinea versicolor. The occasional response to antifungal therapy supports this theory.
My clinical approach to the management of confluent and reticulated papillomatosis is to investigate for diabetes and thyroid disease and initiate appropriate therapy. If results of screening are abnormal, I will refer the patient. In this patient, the only clinical finding of significance was the obesity. I begin treatment with topical ketoconazole. If this is not dramatically successful within 2 weeks, I initiate systemic antibiotic therapy with minocycline. Surprisingly, 50% of adolescents treated with minocycline have clearing of the rash and a significant chance for long-term remission. The usual course of therapy is between 3 and 6 months. For the 50% of patients who do not respond to antibiotic therapy, I consider the use of systemic retinoids (acitretin, isotretinoin).
Access practical, evidence-based guidance to support better care for our youngest patients. Join our email list for the latest clinical updates.
259 Prospect Plains Rd, Bldg H,
Cranbury, NJ 08512