A 2-year-old girl was transferred to the pediatric ICU from a nearby community hospital because of nonremitting, generalized abdominal pain associated with fever and vomiting. Her symptoms had begun 3 days earlier and had progressively worsened despite treatment with antibiotics, pain medication, and fluids.

A 2-year-old girl was transferred to the pediatric ICU from a nearby community hospital because of nonremitting, generalized abdominal pain associated with fever and vomiting. Her symptoms had begun 3 days earlier and had progressively worsened despite treatment with antibiotics, pain medication, and fluids.
The patient had marked generalized guarding, positive rebound, diminished bowel sounds, and board-like rigidity of the anterior abdominal wall. No mass was palpable.

Temperature was 39.9°C (103.8°F); heart rate, 128 beats per minute; respiration rate, 28 breaths per minute; and blood pressure, 104/71 mm Hg. Stool samples were guaiac-positive. The white blood cell (WBC) count was 20,600/μL. Other abnormal laboratory values included hemoglobin, 11.2 g/dL; hematocrit, 34%; and bicarbonate, 17 mmol/L. Urinalysis was negative for blood, bilirubin, infection, and protein but showed moderate ketones.
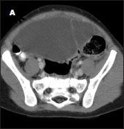
A CT scan with contrast showed a large (12 × 10 × 10-cm), septated, fluid-filled mass in the pelvis that compressed and displaced adjacent structures (A). A mesenteric or urachal cyst was suspected.
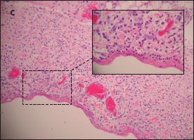
The patient underwent exploratory laparotomy, during which a 10 × 6-cm omental cyst was removed (B). A purulent discharge drained from the site; cultures of the fluid showed many WBCs but grew no organisms. Histopathological results showed mesothelial cyst structure with acute on chronic inflammation (C).

The reported incidence of omental cysts in children is about 1 in 140,000 hospital admissions.1 Omental cysts are thought to represent benign proliferations of ectopic lymphatics that lack communication with the normal lymphatic tissue in the omentum.2 The cysts can range from 1 cm to more than 30 cm and can present as an abdominal mass with vague pain.3,4 Acute presentations are often the result of small-bowel obstruction complicated by volvulus, infarction, hemorrhage, infection, or torsion. Ultrasonography is the study of choice because the internal septation of omental cysts is poorly visualized on CT scans.5 In this case, CT was chosen over ultrasonography to rule out appendicitis.
Laparoscopic techniques have replaced more invasive methods for managing omental cysts.6,7 This child was discharged 4 days after surgery. She had an uneventful postoperative course and has remained asymptomatic. Prognosis is generally good; studies show no tendency for malignant degeneration or recurrence of the cyst.
REFERENCES:
1.
Egozi EI, Ricketts RR. Mesenteric and omental cysts in children.
Am Surg
. 1997;63:287-290.
2.
Kumar S, Agrawal N, Khanna R, Khanna A. Giant lymphatic cyst of omentum: a case report.
Cases J
. 2009;2:23.
3.
Prasdad KK, Jain M, Gupta RK. Omental cyst in children presenting as pseudoascites: report of two cases and review of the literature.
Indian J Pathol Microbiol
. 2001;44:153-155.
4.
Hsu CT, Diaz MC, Rappaport D. An unusual case of pediatric abdominal distension.
Am J Emerg Med
. 2007;25:99-101.
5.
Tiwari SM, Sharma RK, Singh G, Dvivedi S. Omental cyst-a rare entity.
J Indian Med Assoc
. 2006;104:97-98.
6.
Horiuchi T, Shimomatsuya T. Laparoscopic excision of an omental cyst.
J Laparoendosc Adv Surg Tech A
. 1999;9:411-413.
7.
Kuriansky J, Bar-Dayan A, Shabtai M, et al. Laparoscopic resection of huge omental cyst.
J Laparoendosc Adv Surg Tech A
. 2000;10:283-285.
Access practical, evidence-based guidance to support better care for our youngest patients. Join our email list for the latest clinical updates.