
Khalid Kamal, MD
Advertisement
Articles by Khalid Kamal, MD

Advertisement
Latest Updated Articles
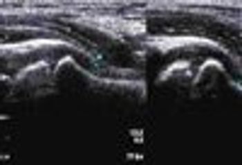
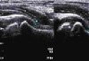
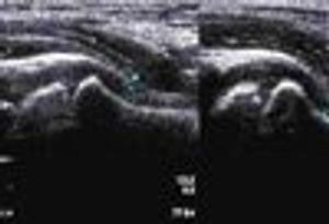
Bilateral Hip Effusions in a Child With Epstein Barr Viral InfectionPublished: November 15th 2011 | Updated:
Advertisement
Advertisement

Published: November 15th 2011 | Updated: