
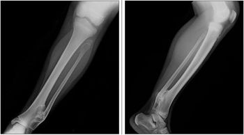
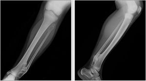
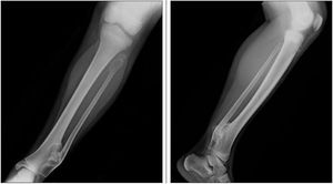
An apparently healthy 9-year-old girl noted to have left ankle mass during well-child checkup. Her last well-child visit was 3 years earlier. Medical history unremarkable. She denied fevers, weight loss, night sweats, and chills. No family history of bone deformities or growth disturbances.


