
The public is encouraged to report adverse effects experienced after use of vaping products to the US Food and Drug Administration (FDA).

The public is encouraged to report adverse effects experienced after use of vaping products to the US Food and Drug Administration (FDA).

Contemporary Pediatrics sits down exclusively with Todd A. Mahr, MD, FAAP, FAAAI, FACAAI, to discuss the one key condition for which he believes community pediatricians should be especially aware-anaphylaxis.

It’s one of the biggest problems facing the medical field and has an economic impact of roughly $4.6 billion each year. However, tackling physician burnout can feel like a gargantuan task. A recent study examines whether coaching can help tackle the task.

'Building a medical home for children with autism' describes the importance of establishing a medical home in a pediatric office for children with a diagnosis of autistic spectrum disorder (ASD) and discusses five major management strategies for the successful management of children in the medical home.

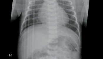
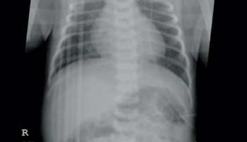
A 24-year-old G2P1001 African American female at 38.2 weeks of gestation was induced for labor for a fetus with prenatally diagnosed intrauterine growth restriction (IUGR). She subsequently delivered via normal spontaneous delivery. The infant initially latched well at the breast, was normoglycemic and normothermic, but shortly after birth had had a significant episode of blood-tinged emesis (not deemed to be swallowed maternal blood) and was transferred to the transitional nursery for further evaluation.

Here are 12 important steps that pediatricians can take to support families after the sudden death of a child.

One of the most well-known antidepressants, fluoxetine, may not be as effective in adolescents and young adults as previously thought.

Contrary to concerns that legalization would increase adolescent use, a recent study suggests usage declines after recreational legalization.

Preterm infants may face an increased risk for infections that are vaccine-preventable along with associated complications. A recent study indicates that preterm infants may also be at risk of not being vaccinated in a timely manner.

A healthy 5-year-old boy with a 6-month history of asymptomatic 2-mm to 3-mm papules on his legs presents for evaluation of a red, slightly itchy rash that just developed on the back of his right knee. What's the diagnosis?

Children who have experience with child protective services may be more likely to experience mental health events, according to a recent Australian study.

According to the US Department of Health and Human Services, 4.1 million reports of children maltreatment were reported in 2016. A new study suggests that expanding Medicaid could help reduce the number.

Home furnishings, toys, home electronics, and other consumer products may be responsible for the nonfatal pediatric traumatic brain injuries (TBIs) that send children aged 0 to 19 years to the emergency department, according to a recent study.

Thyroid disorders present with overt symptoms or insidiously with few signs of disease. Here’s how pediatricians can identify and effectively treat children with thyroid disease or refer patients for further evaluation.

Environmental issues have long had myriad impacts on fetal and child development. A recent study suggests that expectant mothers living near oil and gas wells may be more likely to give birth to an infant with congenital heart defects (CHD).

For a child with a developmental disorder, the pathway from screening for autism spectrum disorder (ASD) to diagnosis of ASD to lifelong care takes place in the child’s medical home.

Could encouraging parents and teenagers to discuss sex lead to the teenager practicing safe sex in the future? A recent meta-analysis examines the effectiveness of “the talk” on delaying sexual initiation and future safe sexual practices

Elopement and wandering are serious problems for families of children with autism spectrum disorder (ASD). Here are practical ways primary care providers (PCPs) and families can work together to keep their children safe.

A noticeable gender gap exists between boys and girls when it comes to vaccination rates for human papillomavirus (HPV). Here’s why healthcare providers need to up their game when it comes to HPV vaccine for boys.

Children who are prescribed montelukast for managing their asthma are nearly twice as likely to experience a neuropsychiatric event as asthmatic children who are taking other asthma maintenance medications.

When a student athlete wants to return to playing following a concussion, there are 6 phases that that athlete will need to follow to get pack to the field.

How effective is hydroxyurea in preventing acute care for children with sickle cell disease (SCD)? A new study examined the use of hydroxyurea in children with SCD who were covered by Medicaid.

Epinephrine is essential for treating anaphylaxis in children, and autoinjectors are the preferred method for administering epinephrine in an anaphylactic emergency. There is no one-size-fits-all approach to the optimal dose for all children, so here is expert advice about how to choose what’s best for your patient.

Encouraging exclusive breastfeeding is one key elements to giving infants a good start. Unfortunately, some mothers aren’t able to maintain exclusive breastfeeding once they go back to work. A new study looks at whether extending maternity leave could improve exclusive breastfeeding rates.

Children with asthma who use a web- and mobile–web-based self-management tool show high and sustained self-monitoring and improved asthma outcomes, a study in asthmatic children showed.

August is National Immunization Awareness Month, and the annual observance promotes the benefits of on-time vaccination for patients of all ages. Here are free materials to help you spread the word.

Attention-deficit/hyperactivity disorder (ADHD) may affect a significant number of children in a pediatric practice. This article reviews diagnostic criteria, comorbidities, and complications of ADHD as well as pitfalls that confront the treating pediatrician.

A House subcommittee is investigating Juul Lab’s marketing of its vaping devices directly to adolescents as a safe alternative to smoking cigarettes.

Applying sunscreen as often as manufacturers recommend results in plasma concentrations of sunscreen’s 4 active ingredients that exceed the threshold for safety concerns established by the US Food and Drug Administration (FDA), according to a recent study.

Teenagers who use prescription opioids in a nonprescription manner may be more likely to move onto using heroin, according to a recent study.